症例詳細
Case detail
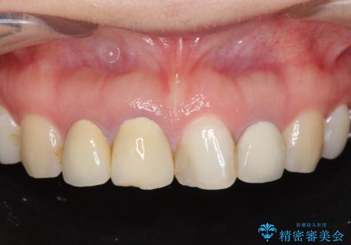
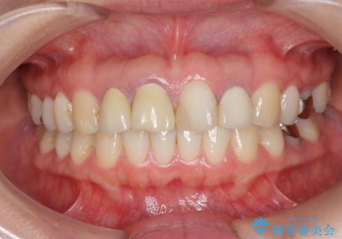
前歯の見た目を改善したい
治療症例の内容
- 担当医
- 大元洋佑(ドクタープロフィール)
- 患者様
- 30代女性
- 治療期間
- 3ヶ月
- 治療回数
- 2-5回
- 治療計画
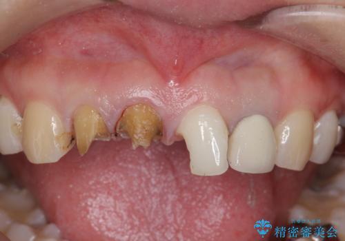
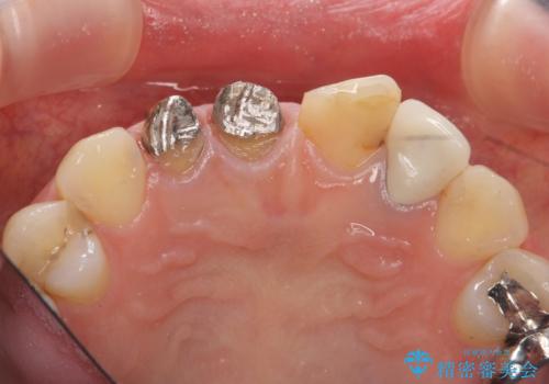
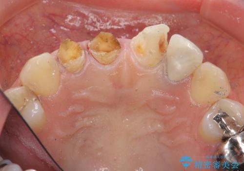
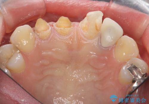
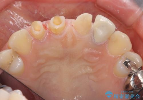
- 前歯を天然の歯のようにきれいにやりかえたいと希望され来院されました。
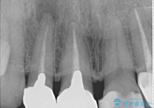
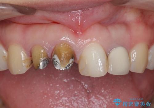
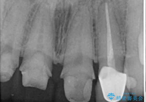
根尖病変の存在が判明したため、感染根管治療後にオールセラミックジルコニアクラウンを製作します。
- 費用(概算)
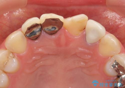
- 37万円(仮歯×3・ファイバーコア×2・ジルコニアクラウン×3)費用は治療当時の料金となります
ジルコニアクラウン治療について
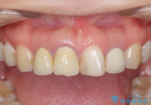
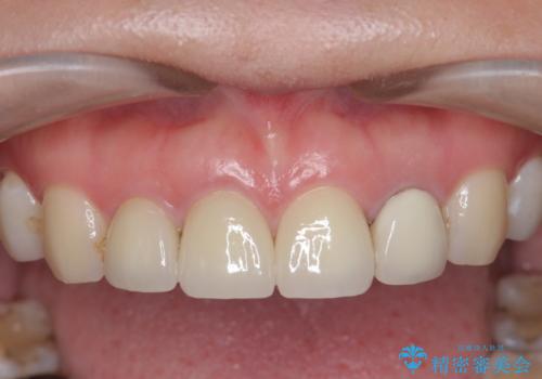
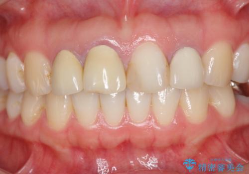
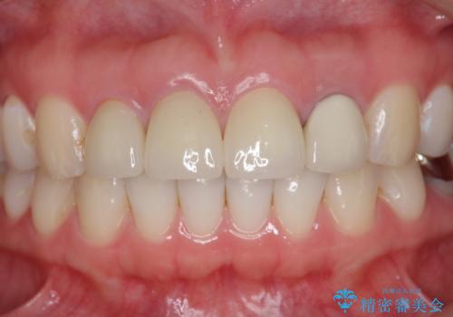
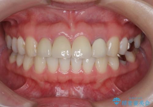
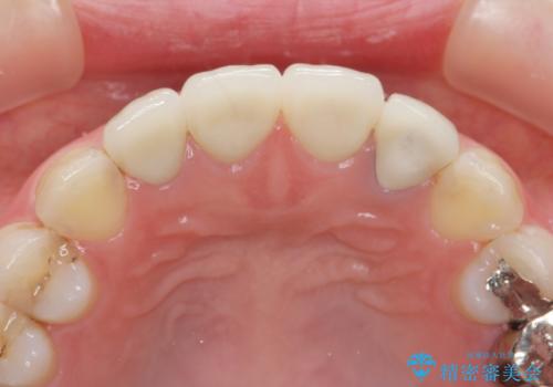
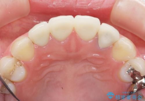
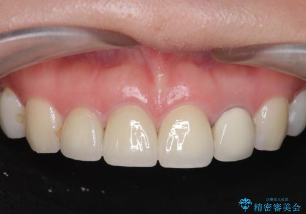
審美的なジルコニアクラウンを装着し、審美性が回復されたと満足いただくことができました。
セラミック治療の注意事項(リスク・副作用など)
- 天然歯を削ります
- 硬い素材は天然歯を傷つけてしまう場合があります
- かみ合わせや歯ぎしりが強すぎる方はセラミックが割れてしまう可能性があります
- 自費診療(保険適用外治療)となります
当サイトの内容、テキスト、画像等の無断転載、複製、複写、盗用を固く禁じます。






















