症例詳細
Case detail
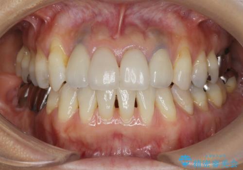
歯ぐきの黒ずみ クラウンやりかえによる改善
治療症例の内容
- 担当医
 - 大元洋佑(ドクタープロフィール)
 
- 患者様
 - 40代女性
 
- 治療期間
 - 1ヶ月
 
- 治療回数
 - 2-5回
 
- 治療計画
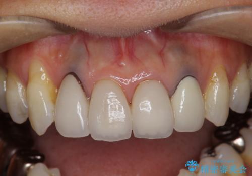
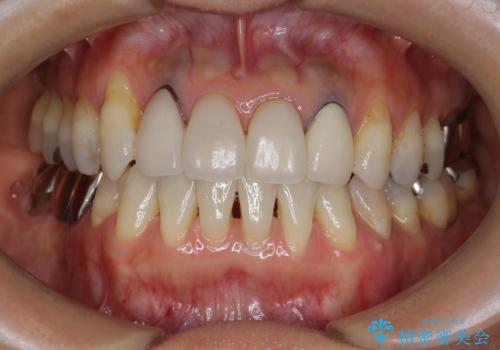
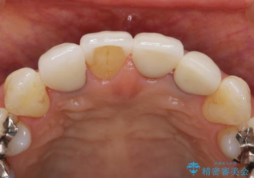
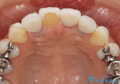
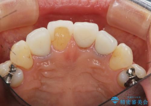
 - 正面の前歯の横(側切歯)歯ぐきの黒ずみ、審美性の改善を希望され来院されました。
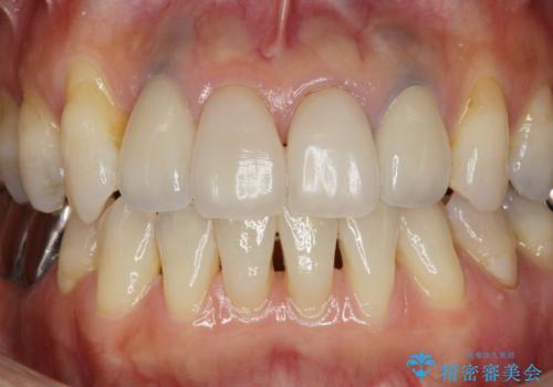
歯ぐきの位置の変化により、黒ずみが出てしまっている状態をクラウンのやりかえにより改善していきます。 
- 費用(概算)
 - 26万円(仮歯・ファイバーコア・ジルコニアクラウン×2)費用は治療当時の料金となります
 
クラウンのやりかえ治療について
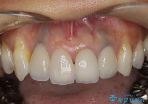
歯ぐきの位置が変わり審美性を損なった状態でも現在の歯ぐきの位置に
ぴったりと合わせることで審美性を改善することができます。
セラミック治療の注意事項(リスク・副作用など)
- 天然歯を削ります
 - 硬い素材は天然歯を傷つけてしまう場合があります
 - かみ合わせや歯ぎしりが強すぎる方はセラミックが割れてしまう可能性があります
 - 自費診療(保険適用外治療)となります
 
当サイトの内容、テキスト、画像等の無断転載、複製、複写、盗用を固く禁じます。

                      
                                                          













