症例詳細
Case detail
奥歯が痛い 根管治療とオールセラミッククラウン
治療症例の内容
- 診療科目
- 担当医
- 藤巻太一朗(ドクタープロフィール)
- 患者様
- 30代女性
- 治療期間
- 2ヶ月
- 治療回数
- 2-5回
- 治療計画
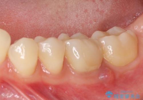
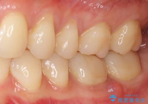
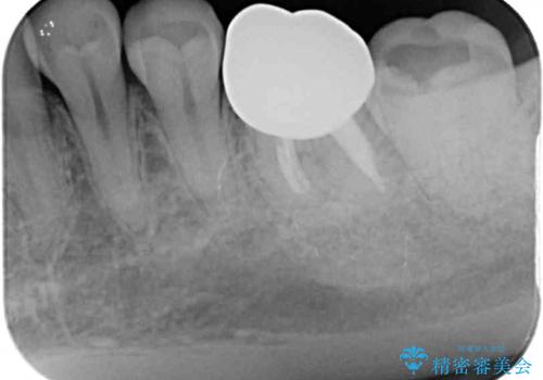
- 近医にてセラミックを装着した左下の奥歯に痛みが続いたとのことで来院された患者様です。
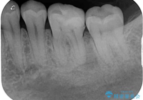
診査の結果、既に歯の神経は失活していたおり、排膿路が認められ、叩いたり触ったりしたときの痛みも確認されました。
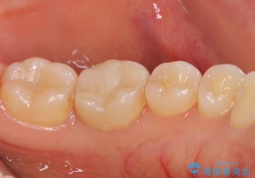
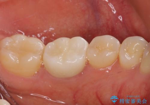
根管治療を行った後にオールセラミッククラウンにて補綴することとしました。
- 費用(概算)
- 治療費の目安: 20万円費用は治療当時の料金となります
治療について
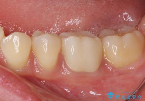
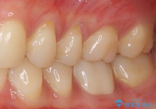
初回の治療後には歯肉に認められた排膿の出口などの症状は消えていました。
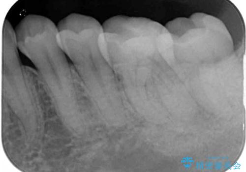
補綴後6ヶ月経過しレントゲンを撮影したところ、遠心の歯根付近の病変が消失していることが確認できました。
セラミック治療の注意事項(リスク・副作用など)
- 天然歯を削ります
- 硬い素材は天然歯を傷つけてしまう場合があります
- かみ合わせや歯ぎしりが強すぎる方はセラミックが割れてしまう可能性があります
- 自費診療(保険適用外治療)となります
根管治療の注意事項(リスク・副作用など)
- 根管治療により類似の全ての症例の問題が解決するわけではなく、症例はあくまでも一例です
- 根管治療により痛みや腫れがひかない事や、術後に痛みや腫れが生じる事、治療によるファイル破折やパーフォレーションなどの偶発症、術後の歯根破折を生じる可能性もあります
- 自費診療(保険適用外)となります
当サイトの内容、テキスト、画像等の無断転載、複製、複写、盗用を固く禁じます。
















