症例詳細
Case detail
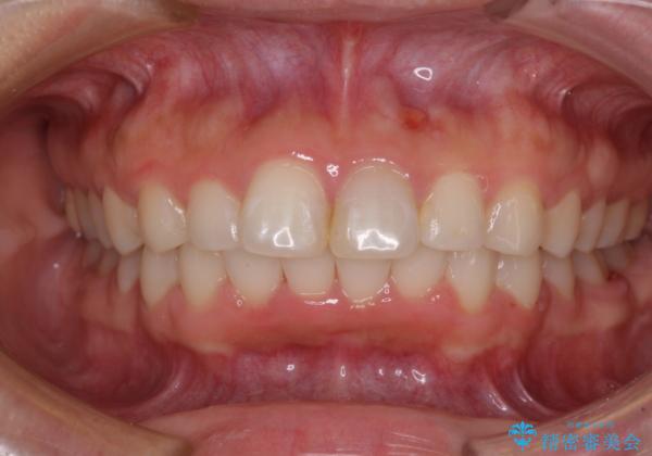
矯正治療の後戻り ガタガタになった前歯の部分矯正
治療症例の内容
- 診療科目
- 担当医
- 藤巻太一朗(ドクタープロフィール)
- 患者様
- 20代女性
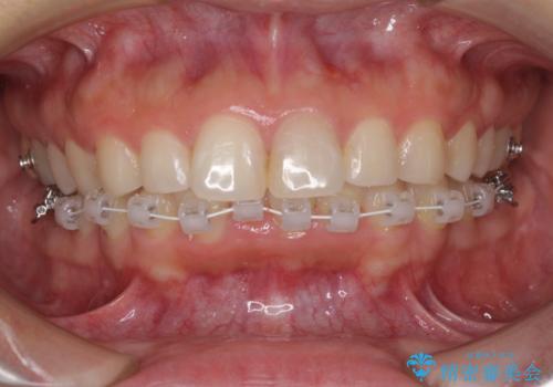
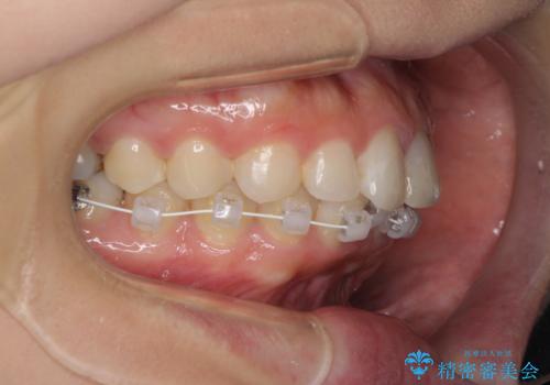
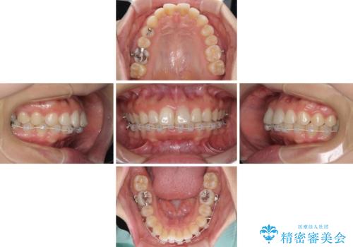
- 矯正装置
- 審美装置
- 治療期間
- 6ヶ月
- 治療回数
- 5-10回
- 治療計画
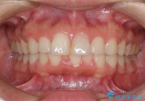
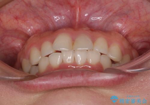
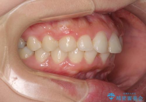
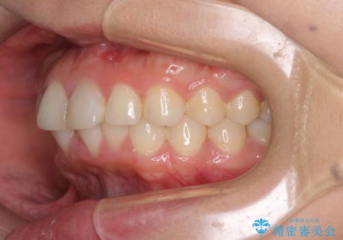
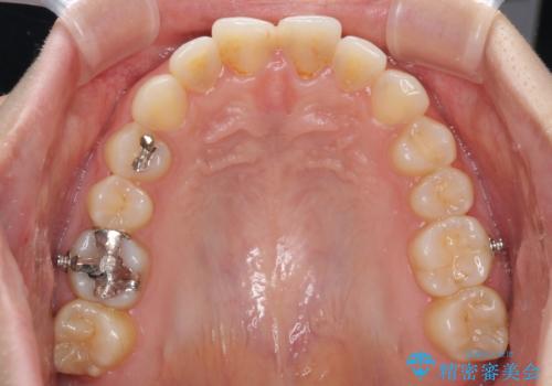
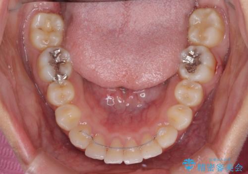
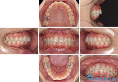
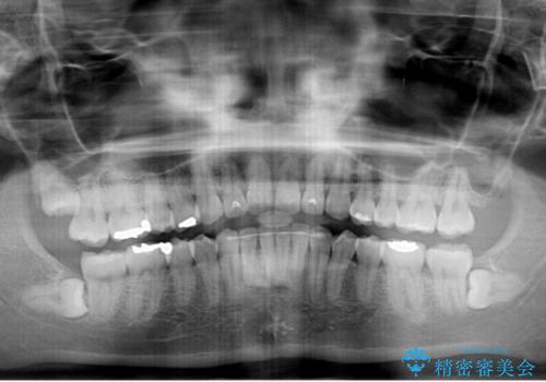
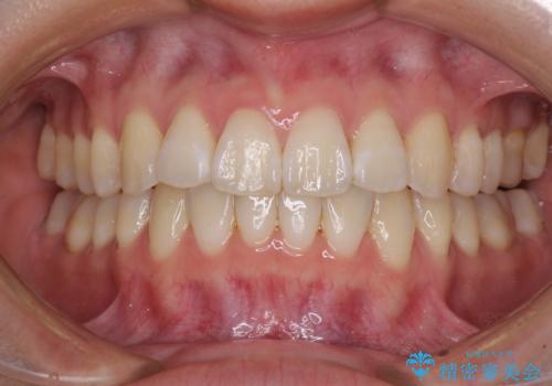
- 以前の矯正治療の後戻りを気にして来院された患者様です。
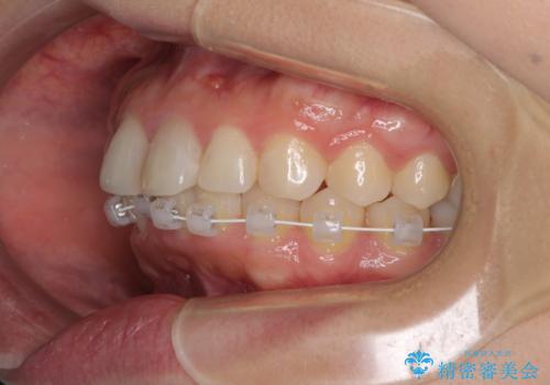
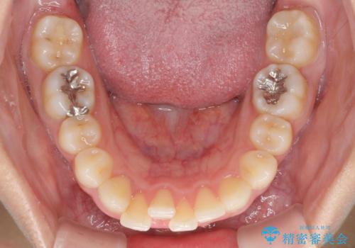
下顎前歯にデコボコがあるため、ワイヤー矯正により改善することとしました。
- 費用(概算)
- 治療費の目安: 40万円費用は治療当時の料金となります
治療について
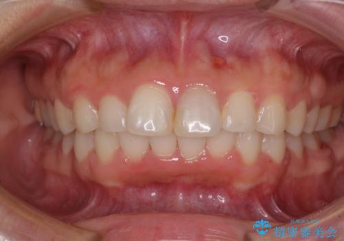
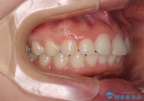
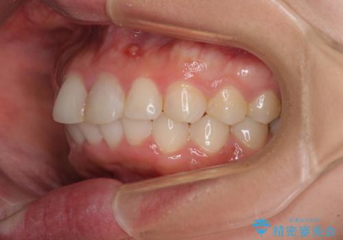
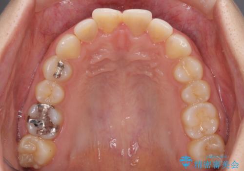
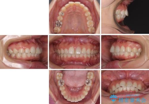
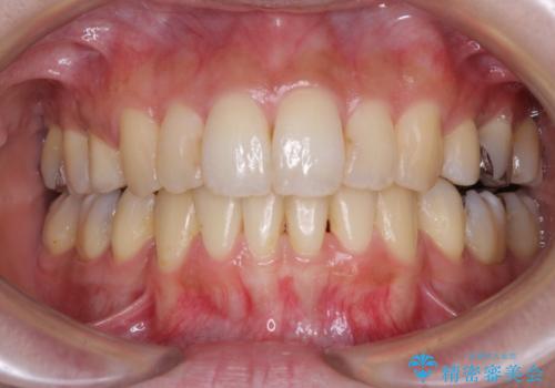
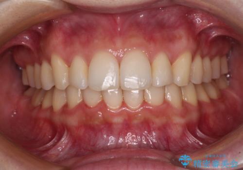
もう少しデコボコを改善したかったのですが、ご本人の希望もあり、装置を除去しました。
後戻りを防止するため、舌側を細いワイヤーによる保定を行いました。
ワイヤー矯正の注意事項(リスク・副作用など)
- 治療中は違和感や痛みが起こることがあります
- 症状により、抜歯が必要な場合があります
- 治療中は歯磨きがしにくくなるため、虫歯や歯周病になりやすくなります
- 矯正治療後の保定が不十分だと後戻り(元の位置に戻ろうとする動き)をします
- 自費診療(保険適用外)となります
当サイトの内容、テキスト、画像等の無断転載、複製、複写、盗用を固く禁じます。


























