症例詳細
Case detail
根管治療後の補綴治療 奥歯のセラミッククラウン
治療症例の内容
- 診療科目
- 治療カテゴリ
- 担当医
- 藤巻太一朗(ドクタープロフィール)
- 患者様
- 40代女性
- 治療期間
- 1ヶ月
- 治療回数
- 2-5回
- 治療計画
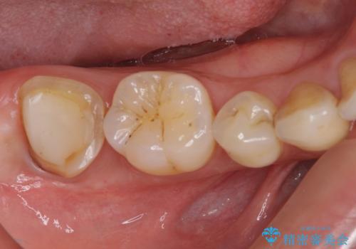
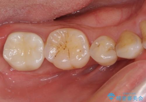
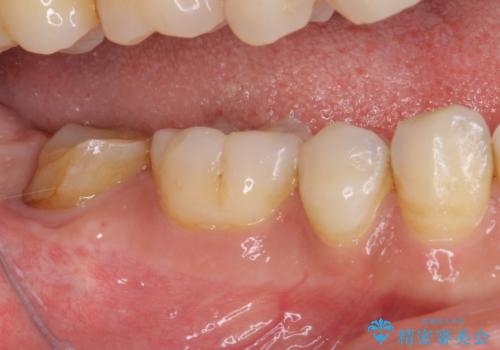
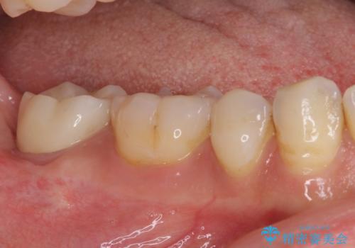
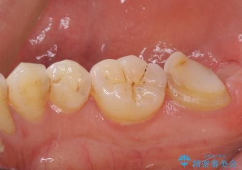
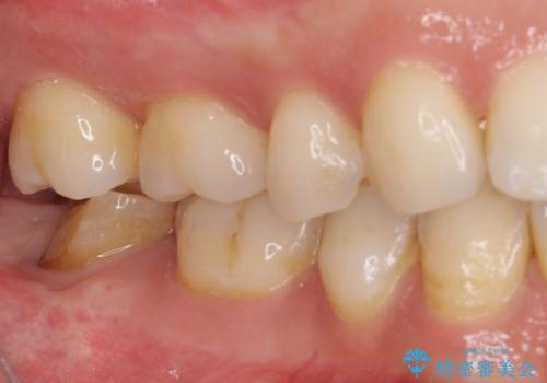
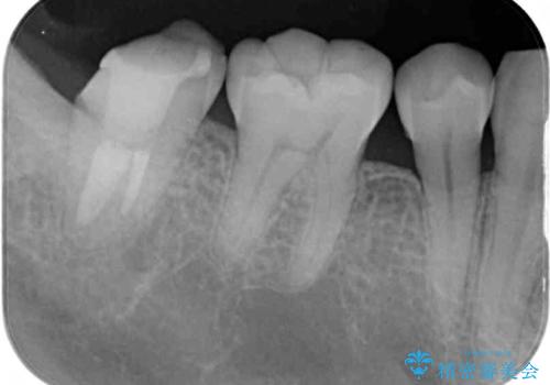
- 根管治療の専門医院で根管治療を行った後、セラミッククラウンによる補綴治療を希望して来院された患者様です。
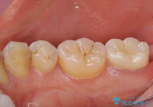
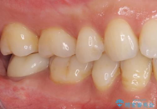
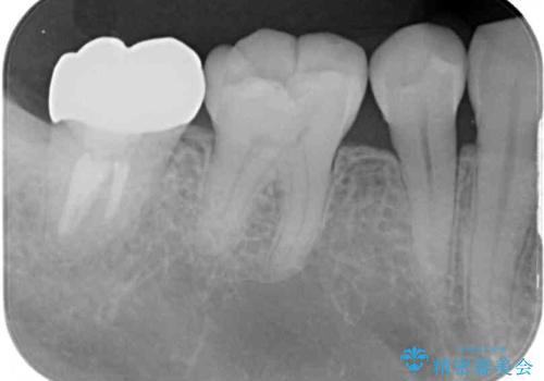
根管治療後の土台も構築されていたので、仮歯に置き換えた後にフルジルコニアクラウンにて補綴することとしました。
- 費用(概算)
- 治療費の目安: 8万円費用は治療当時の料金となります
治療について
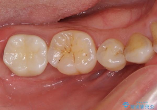
遠心の歯肉が盛り上がっていたため、清掃性が悪くなる懸念がありましたが、クラウン装着による歯肉の腫れは認められませんでした。
セラミック治療の注意事項(リスク・副作用など)
- 天然歯を削ります
- 硬い素材は天然歯を傷つけてしまう場合があります
- かみ合わせや歯ぎしりが強すぎる方はセラミックが割れてしまう可能性があります
- 自費診療(保険適用外治療)となります
当サイトの内容、テキスト、画像等の無断転載、複製、複写、盗用を固く禁じます。










