症例詳細
Case detail
痛い奥歯 セラミッククラウンでのむし歯治療
治療症例の内容
- 診療科目
- 治療カテゴリ
- 担当医
- 藤巻太一朗(ドクタープロフィール)
- 患者様
- 40代男性
- 治療期間
- 2ヶ月
- 治療回数
- 2-5回
- 治療計画
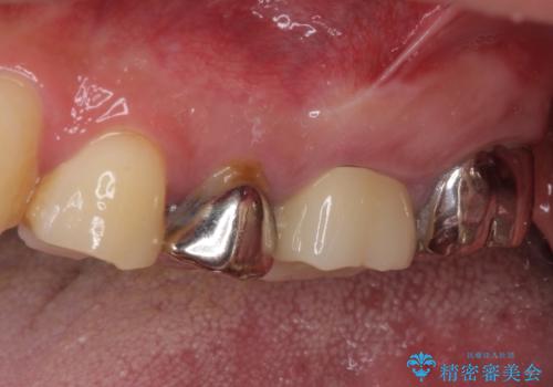
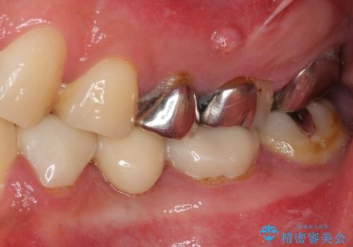
- 奥歯が痛いとのことで来院された患者様です。
歯肉に排膿の痕があり、叩いたり咬んだりすると痛みを感じていました。
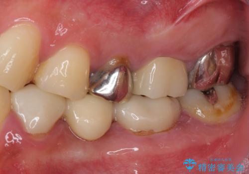
根管治療を行い、その後フルジルコニアクラウンにて補綴することとしました。
- 費用(概算)
- 治療費の目安: 23万円費用は治療当時の料金となります
治療について
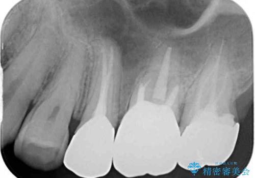
治療後すぐに痛みが引き、治療後半年が経過した際のレントゲン写真では、排膿の元となっていた、歯根先端の病変の消失が認められました。
セラミック治療の注意事項(リスク・副作用など)
- 天然歯を削ります
- 硬い素材は天然歯を傷つけてしまう場合があります
- かみ合わせや歯ぎしりが強すぎる方はセラミックが割れてしまう可能性があります
- 自費診療(保険適用外治療)となります
当サイトの内容、テキスト、画像等の無断転載、複製、複写、盗用を固く禁じます。










