症例詳細
Case detail
統一感のない前歯を綺麗にしたい 前歯のオールセラミック
治療症例の内容
- 診療科目
- 治療カテゴリ
- 担当医
- 藤巻太一朗(ドクタープロフィール)
- 患者様
- 50代男性
- 治療期間
- 3ヶ月
- 治療回数
- 2-5回
- 治療計画
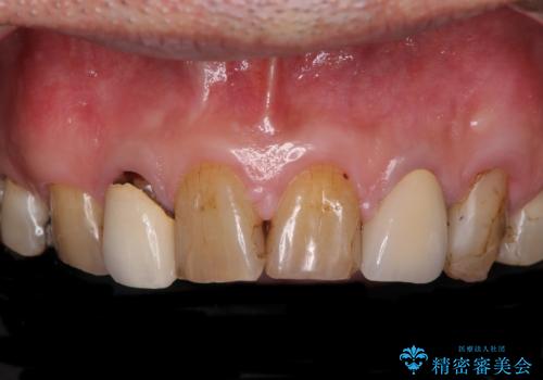
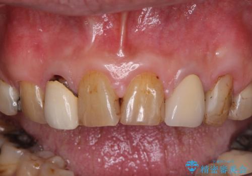
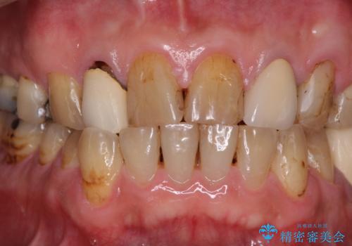
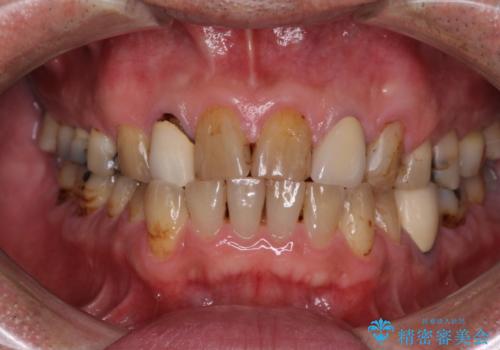
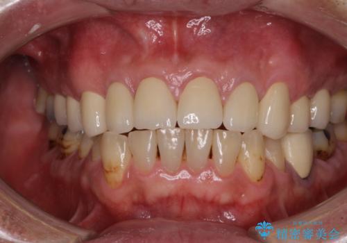
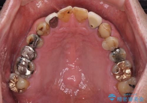
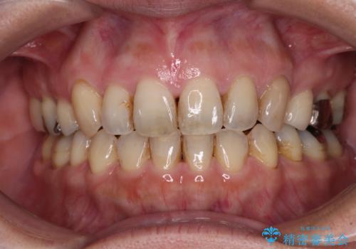
- コンポジットレジンやクラウンなど、様々な医院で治療を受けたために、統一感がなくなってしまった前歯を綺麗にしたいとのことで来院された患者様です。
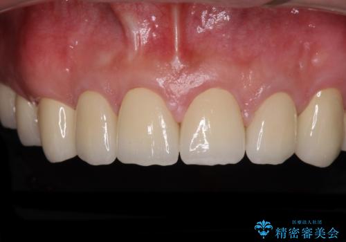
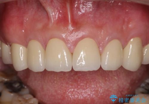
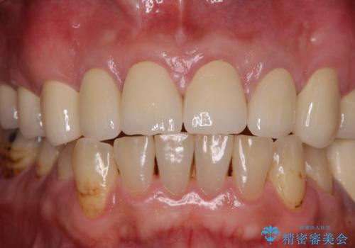
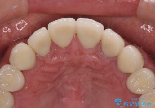
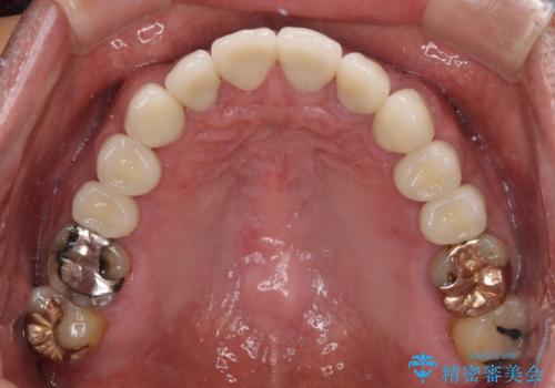
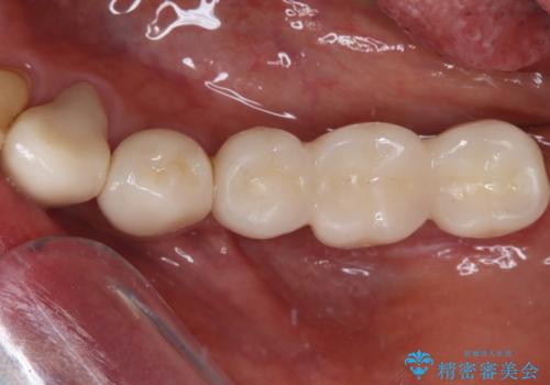
当初は前歯6歯をオールセラミッククラウンで補綴する予定でしたが、前歯が綺麗に仕上がったことで、奥歯まで延長して補綴することとしました。
- 費用(概算)
- 治療費の目安: 116万円費用は治療当時の料金となります
治療について
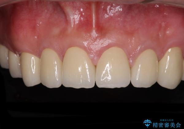
黄ばんだ前歯や白すぎたクラウン、プラスチックの継ぎ接ぎなどを全てオールセラミッククラウンの統一感のある前歯に仕上げました。
セラミック治療の注意事項(リスク・副作用など)
- 天然歯を削ります
- 硬い素材は天然歯を傷つけてしまう場合があります
- かみ合わせや歯ぎしりが強すぎる方はセラミックが割れてしまう可能性があります
- 自費診療(保険適用外治療)となります
当サイトの内容、テキスト、画像等の無断転載、複製、複写、盗用を固く禁じます。














