症例詳細
Case detail
短期間で治療したい 目立たないワイヤー装置での非抜歯矯正
治療症例の内容
- 診療科目
- 担当医
- 藤巻太一朗(ドクタープロフィール)
- 患者様
- 20代女性
- 矯正装置
- 審美装置
- 治療期間
- 1年
- 治療回数
- 10-30回
- 治療計画
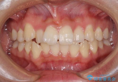
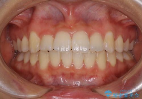
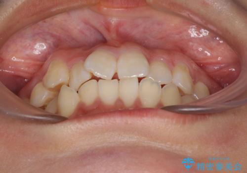
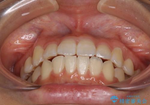
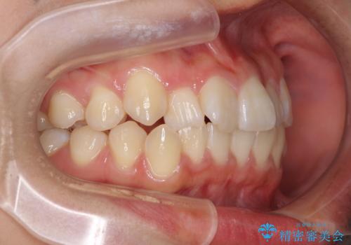
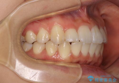
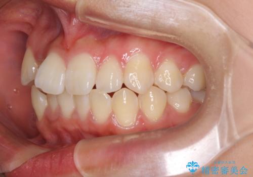
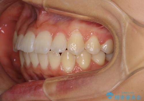
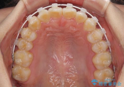
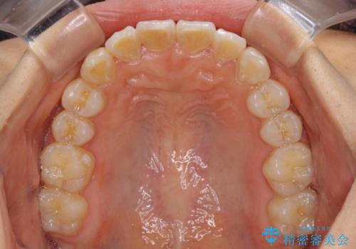
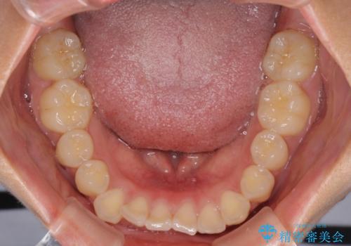
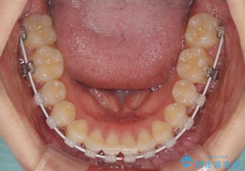
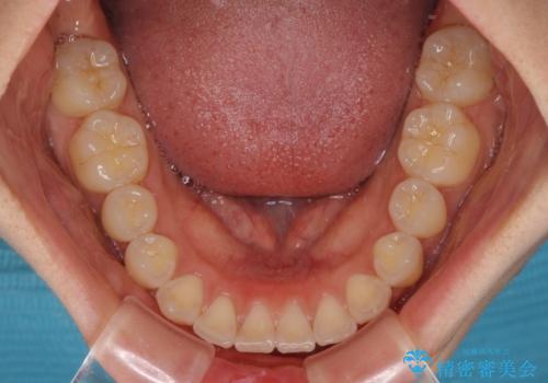
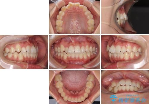
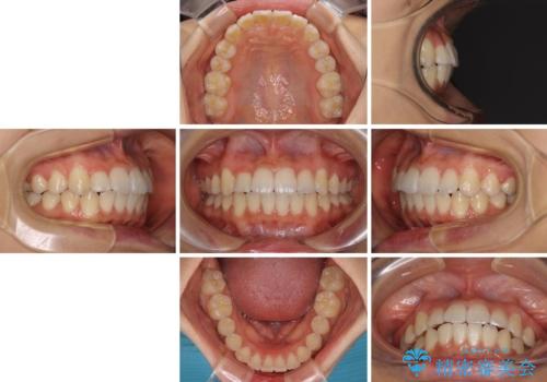
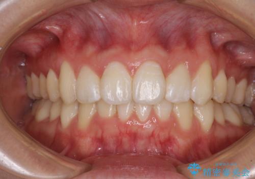
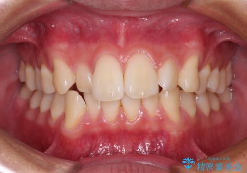
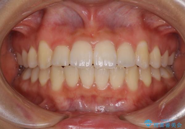
- 上下のデコボコと前歯のクロスバイトを改善したいとのことで来院された患者様です。
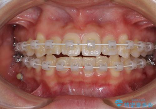
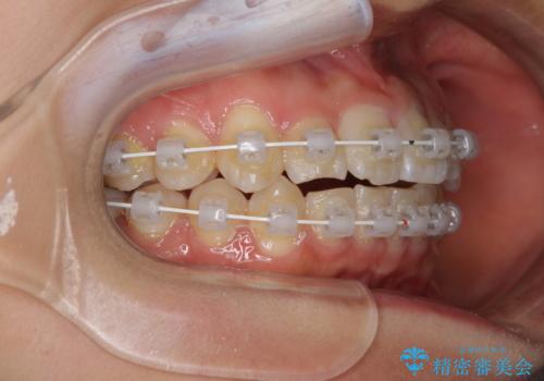
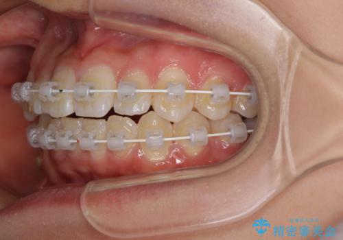
極力短期間で治療したいとのことで、ワイヤー装置による矯正治療を行うこととしました。
- 費用(概算)
- 治療費の目安: 85万円費用は治療当時の料金となります
治療について
お住まいが遠方であったため、マウスピースによる矯正治療も提案しましたが、ご自身でのマウスピースの管理の面倒くささと、なるべく早く治療を終えたいとのことで、ワイヤー矯正を選択されました。
ワイヤー矯正の注意事項(リスク・副作用など)
- 治療中は違和感や痛みが起こることがあります
- 症状により、抜歯が必要な場合があります
- 治療中は歯磨きがしにくくなるため、虫歯や歯周病になりやすくなります
- 矯正治療後の保定が不十分だと後戻り(元の位置に戻ろうとする動き)をします
- 自費診療(保険適用外)となります
当サイトの内容、テキスト、画像等の無断転載、複製、複写、盗用を固く禁じます。


























