症例詳細
Case detail
不自然なセラミッククラウンを自然なセラミックに
治療症例の内容
- 診療科目
- 治療カテゴリ
- 担当医
- 藤巻太一朗(ドクタープロフィール)
- 患者様
- 30代女性
- 治療期間
- 1ヶ月
- 治療回数
- 2-5回
- 治療計画
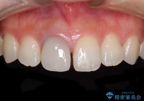
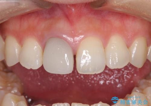
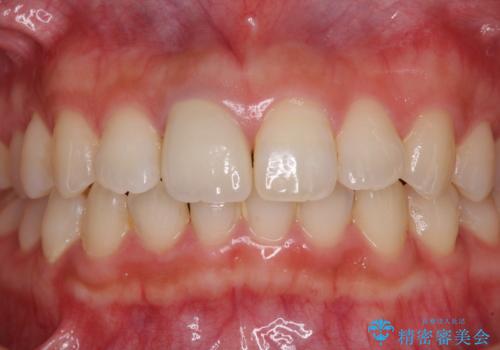
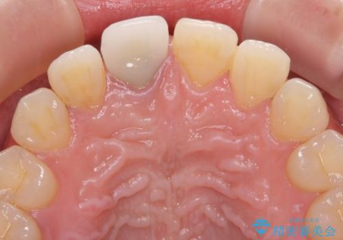
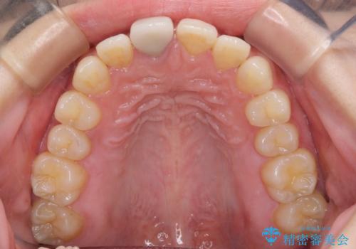
- 近医にて被せた前歯のクラウンの色の違いを気にして来院された患者様です。
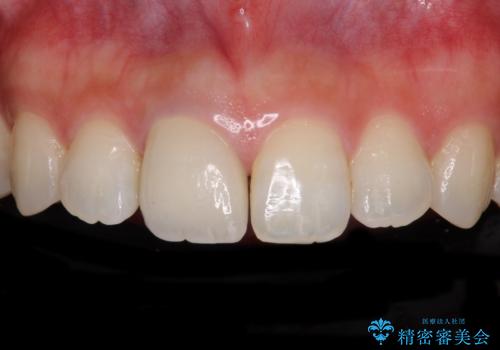
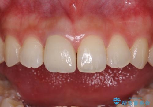
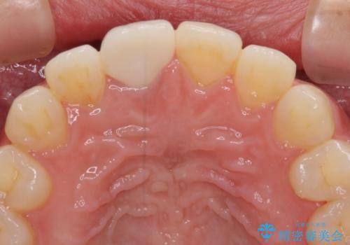
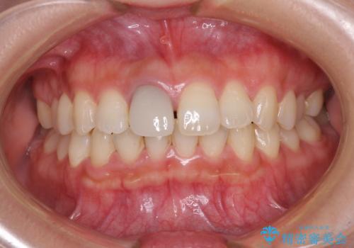
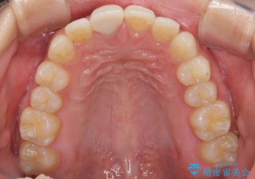
オーダーメイドのオールセラミッククラウンにて補綴することとしました。
- 費用(概算)
- 治療費の目安: 14万円費用は治療当時の料金となります
治療について
元々すきっ歯であったため、隙間を全て埋めると左右で大きさがアンバランスとなることが懸念されました。
違和感のない程度に隙間を小さくして、自然な見た目に仕上げました。
セラミック治療の注意事項(リスク・副作用など)
- 天然歯を削ります
- 硬い素材は天然歯を傷つけてしまう場合があります
- かみ合わせや歯ぎしりが強すぎる方はセラミックが割れてしまう可能性があります
- 自費診療(保険適用外治療)となります
当サイトの内容、テキスト、画像等の無断転載、複製、複写、盗用を固く禁じます。














