症例詳細
Case detail
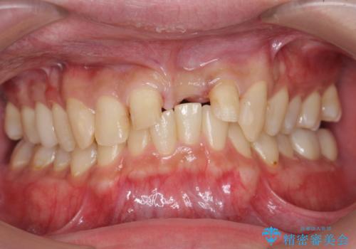
前歯にボールが当たってダメになってしまった とりあえず横の歯に接着剤でつけてしのいでいたのを、しっかりブリッジで治療
治療症例の内容
- 診療科目
- 担当医
- 井上季実子(ドクタープロフィール)
- 患者様
- 30代男性
- 治療期間
- 2ヶ月
- 治療回数
- 2-5回
- 治療計画
- 以前、前歯にボールが当たりダメになってしまって抜歯したが、そこにとりあえず接着剤で歯をつけて生活していたとのこと。
両側の歯の接着剤の周りが虫歯になってしまっていました。
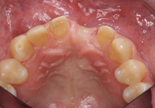
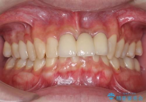
両側の歯の虫歯をしっかりとってブリッジにすることにしました。
欠損部に長年薄いプラスチックの仮の歯を留めていたため、下の歯が食い込みさらにブリッジのポンティックの隙間がない状態でした。そのため、かみ合わせが深く、下の歯との隙間がかなりなかった為、事前の矯正治療をお勧めしましたが、希望されず特に行わずそのまま虫歯治療を行うことになりました。
- 費用(概算)
- 33万円(仮歯1万円x3 メタルボンドクラウン 9万円x3 プレミアムナイトガード 3万円)費用は治療当時の料金となります
治療について
かみ合わせが深く、歯ぎしりでブリッジに負担がかかるため、ナイトガードを作成し、就寝時使用していただいています。
セラミック治療の注意事項(リスク・副作用など)
- 天然歯を削ります
- 硬い素材は天然歯を傷つけてしまう場合があります
- かみ合わせや歯ぎしりが強すぎる方はセラミックが割れてしまう可能性があります
- 自費診療(保険適用外治療)となります
当サイトの内容、テキスト、画像等の無断転載、複製、複写、盗用を固く禁じます。













