症例詳細
Case detail
前歯のデコボコを治したい インビザラインによる矯正治療
治療症例の内容
- 診療科目
 
- 担当医
 - 藤巻太一朗(ドクタープロフィール)
 
- 患者様
 - 20代女性
 
- 矯正装置
 - インビザライン
 
- 治療期間
 - 1年4ヶ月
 
- 治療回数
 - 10-30回
 
- 治療計画
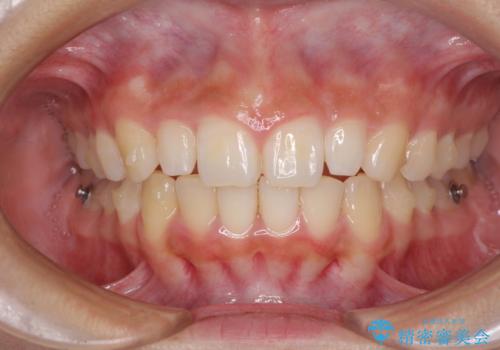
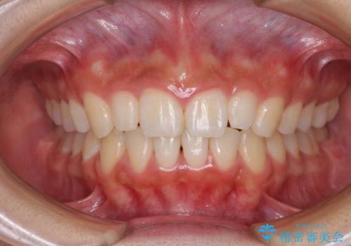
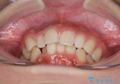
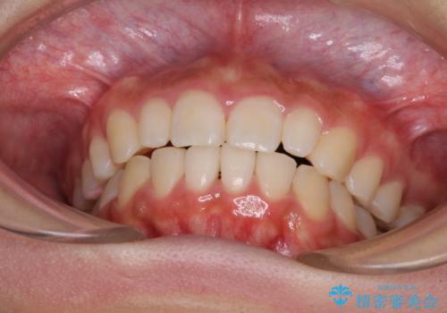
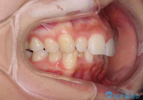
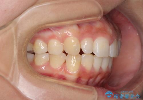
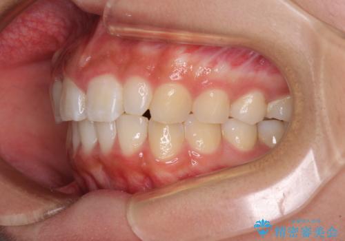
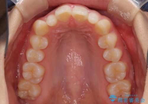
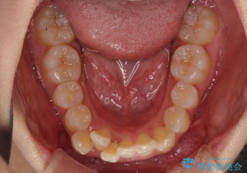
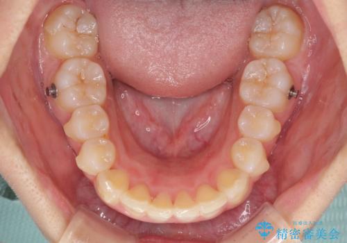
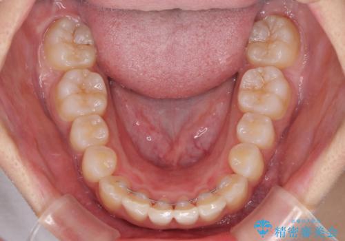
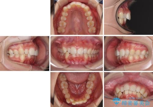
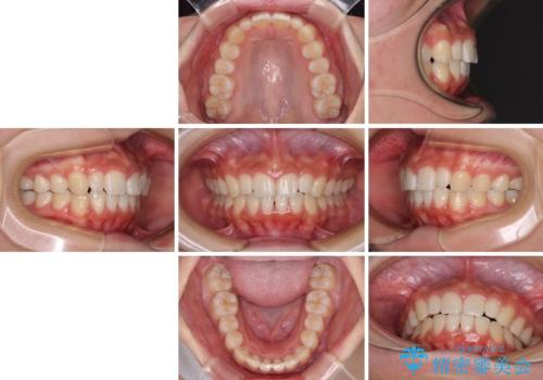
 - 前歯のデコボコ気になるとのことで来院された患者様です。
上下顎ともに歯列全体の後方移動とIPR(歯と歯の間を削る)によってデコボコが解消するように設計し、インビザラインにより治療を行うこととしました。 
- 費用(概算)
 - 治療費の目安: 75万円費用は治療当時の料金となります
 
治療について
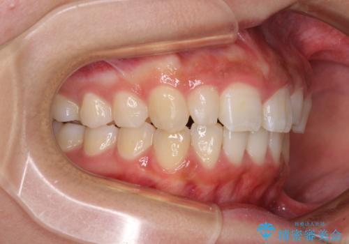
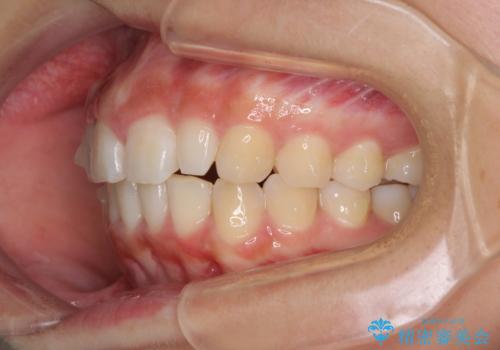
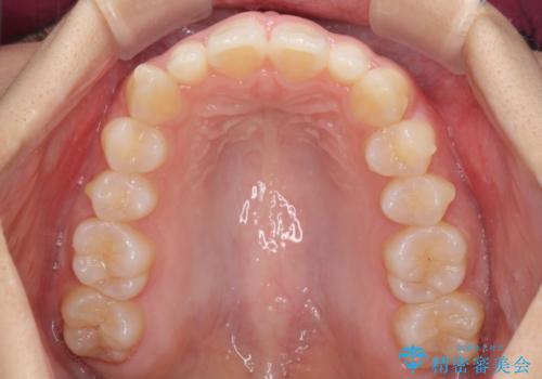
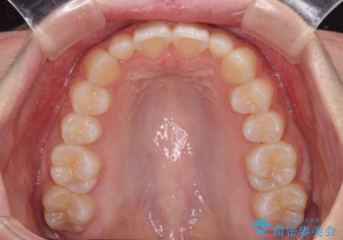
上顎左右前歯に矮小歯があるため、上顎の奥歯は下顎に対して相対的に前方に位置することになりました。
それでも奥歯の咬みにくさはなく、患者様には大変満足していただきました。
マウスピース矯正の注意事項(リスク・副作用など)
- 口腔内・歯並びの状態によっては対応できない場合があります
 - マウスピース型矯正装置の長時間装着(1日20時間以上)が必須です
 - 治療計画通りに進めるためには、患者様の意志が重要になります
 - 矯正治療後の保定が不十分だと後戻り(元の位置に戻ろうとする動き)をします
 - 薬機法対象外の矯正歯科装置のため医薬品副作用被害救済制度の対象外となる場合があります
 - 自費診療(保険適用外)となります
 
当サイトの内容、テキスト、画像等の無断転載、複製、複写、盗用を固く禁じます。

                      
                                                          
























