症例詳細
Case detail
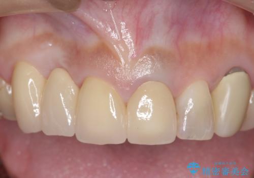
オールセラミッククラウン 下がってしまった前歯の歯茎の改善
治療症例の内容
- 患者様
- 50代女性
- 治療期間
- 6ヶ月
- 治療回数
- 5-10回
- 治療計画
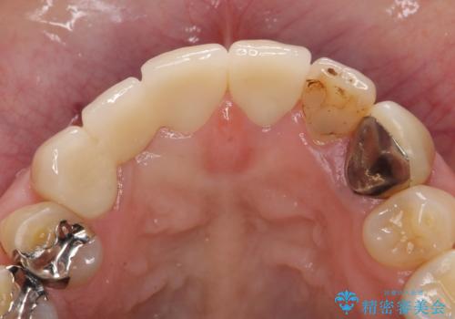
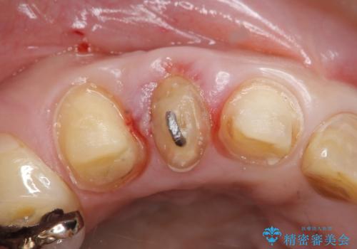
- 他院で治療したところ、右上2番目の歯の歯茎が下がってしまったので診て欲しいといらっしゃった方の症例です。
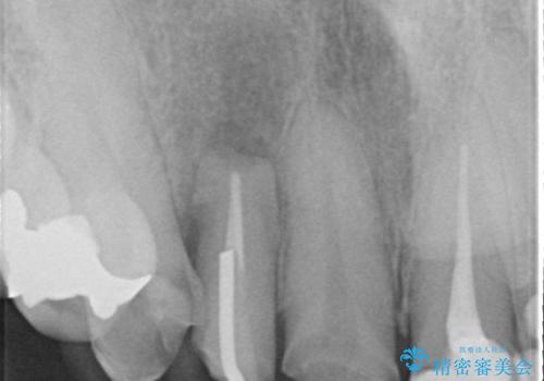
診査の結果右上2は歯根が破折しており、それが原因で骨及び歯肉の吸収が起きていました。
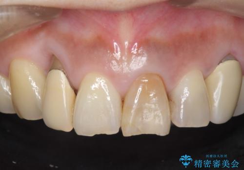
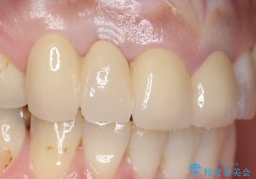
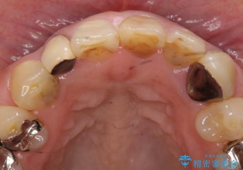
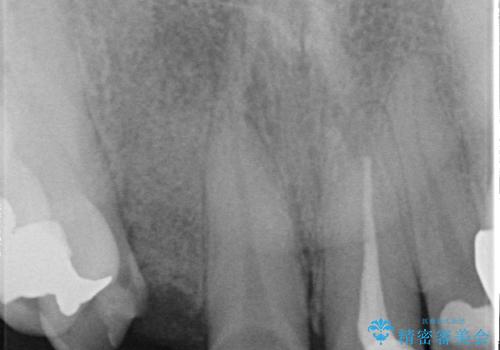
このまま右上2の抜歯を行うとさらに歯茎が下がる恐れがあったため、歯の挺出によって骨レベルを回復した上で抜歯し、歯槽堤保存術(抜歯窩に人工骨を填入する手術)を行いました。
その後ブリッジによる補綴を行うことで、自然な見た目を再現することができました。
- 費用(概算)
- オールセラミッククラウン…¥100,000×4、仮歯…¥10,000×4、ファイバーコア…¥20,000、歯槽堤保存術…¥100,000、根管治療費別途費用は治療当時の料金となります
オールセラミッククラウン(スペシャル)について
前歯の補綴ではオールセラミッククラウンを希望される患者様が多いですが、オールセラミッククラウンの中でも、エコノミー、スタンダード、スペシャル、エクセレントとランクがあります。
その中でも特に審美性が高いのがスペシャル、エクセレントです。スペシャル、エクセレントは口腔内写真をもとに熟練の技工士が、患者様の口腔内に合わせたオーダーメイドのクラウンを製作致します。
歯周病治療の注意事項(リスク・副作用など)
- 外科手術のため、術後に痛みや腫れ、違和感を伴います
- 歯周組織再生治療は患者様の状態によって術後の経過が異なります(見た目が改善しない場合もあります)
- 歯周組織再生治療は自費診療(保険適用外)となります
根管治療の注意事項(リスク・副作用など)
- 根管治療により類似の全ての症例の問題が解決するわけではなく、症例はあくまでも一例です
- 根管治療により痛みや腫れがひかない事や、術後に痛みや腫れが生じる事、治療によるファイル破折やパーフォレーションなどの偶発症、術後の歯根破折を生じる可能性もあります
- 自費診療(保険適用外)となります
セラミック治療の注意事項(リスク・副作用など)
- 天然歯を削ります
- 硬い素材は天然歯を傷つけてしまう場合があります
- かみ合わせや歯ぎしりが強すぎる方はセラミックが割れてしまう可能性があります
- 自費診療(保険適用外治療)となります
当サイトの内容、テキスト、画像等の無断転載、複製、複写、盗用を固く禁じます。























