症例詳細
Case detail
過度な咬合力 歯ぎしりで抜けた歯の欠損補綴
治療症例の内容
- 診療科目
- 治療カテゴリ
- 担当医
- 大元洋佑(ドクタープロフィール)
- 患者様
- 40代女性
- 治療期間
- 8ヶ月
- 治療回数
- 2-5回
- 治療計画
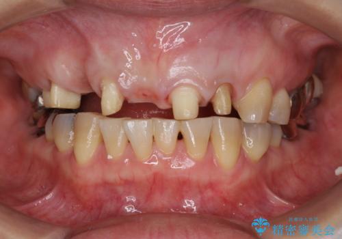
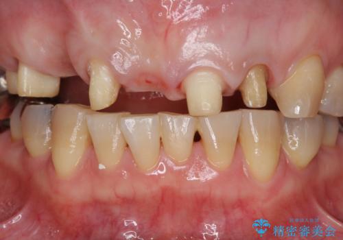
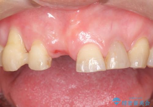
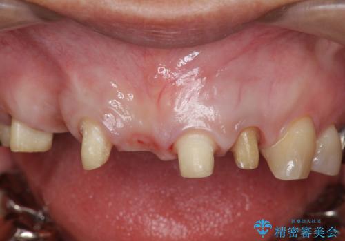
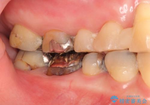
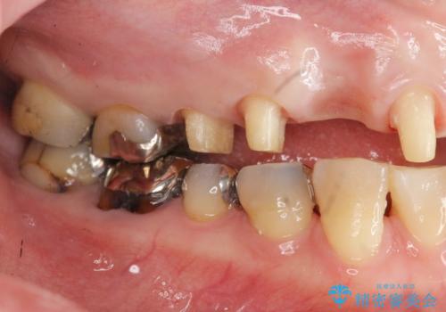
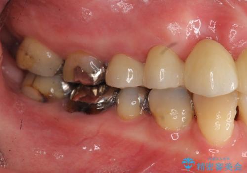
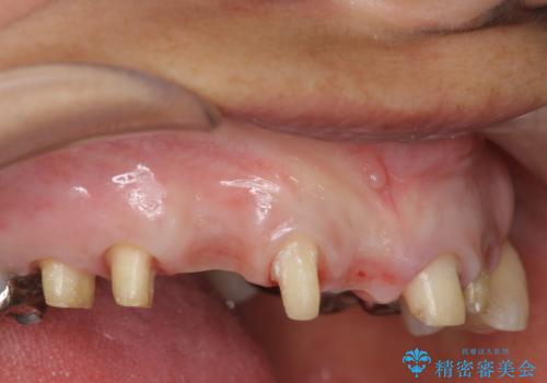
- 前歯を噛みしめにより失い、さらに犬歯もグラグラになり全く噛めなくなり改善を求めて来院されました。
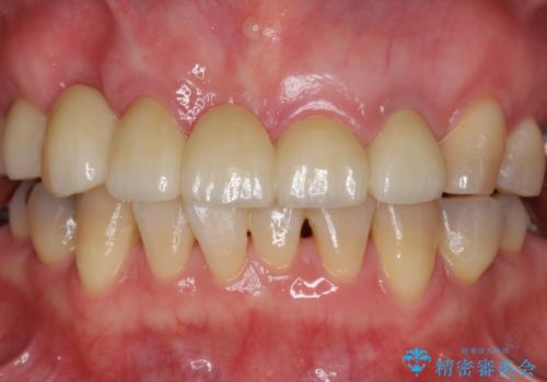
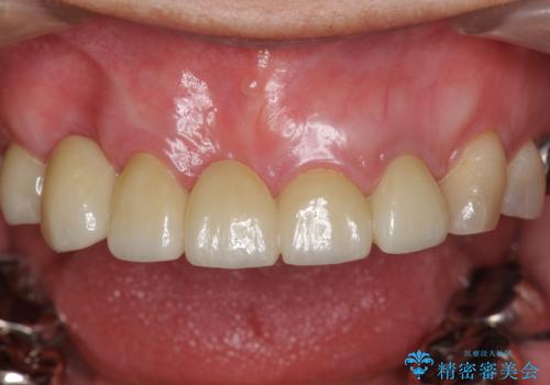
過度な力がかかり周囲の骨に高度な吸収が見られた犬歯は抜歯し、機能・審美性の回復をより咬合力に対して抵抗力のあるブリッジ補綴にて対応します。
- 費用(概算)
- 56円(仮歯・フルジルコニアクラウン×7)費用は治療当時の料金となります
過度な咬合力について
過度な咬合力は歯を失う元です。
ブリッジによる欠損補綴を行ったのち、ナイトガードを夜間装着していただき歯を守ります。
セラミック治療の注意事項(リスク・副作用など)
- 天然歯を削ります
- 硬い素材は天然歯を傷つけてしまう場合があります
- かみ合わせや歯ぎしりが強すぎる方はセラミックが割れてしまう可能性があります
- 自費診療(保険適用外治療)となります
当サイトの内容、テキスト、画像等の無断転載、複製、複写、盗用を固く禁じます。



















