症例詳細
Case detail
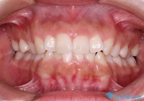
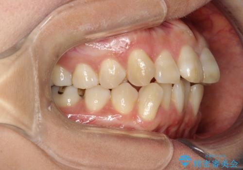
前歯の突出、深い噛み合わせ、ガタつきをマウスピース矯正(インビザライン)で治療した症例
治療症例の内容
- 患者様
- 20代女性
- 矯正装置
- インビザライン
- 治療期間
- 1年10ヶ月
- 治療回数
- 10-30回
- 治療計画
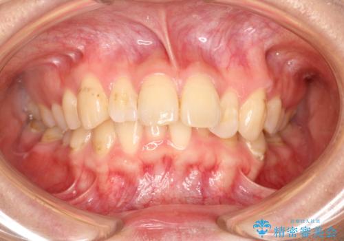
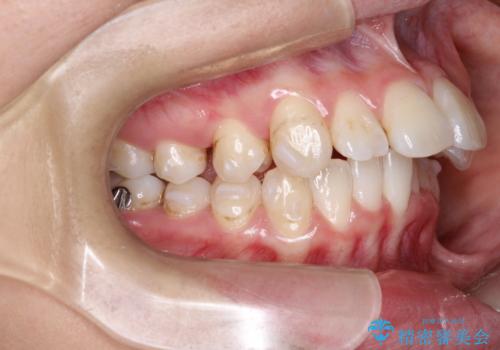
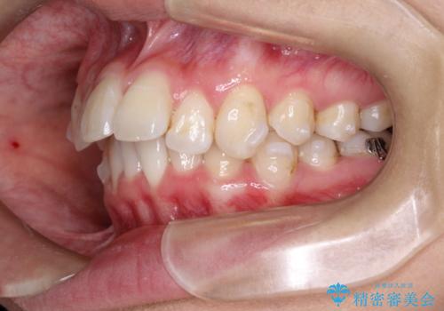
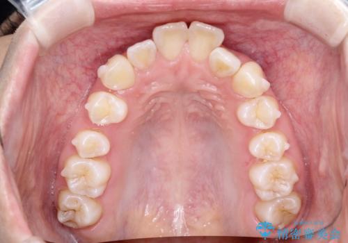
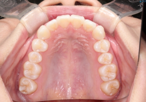
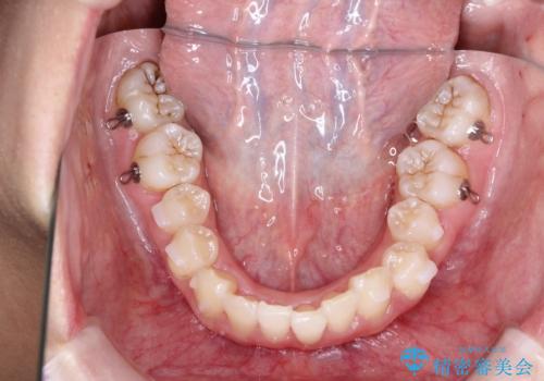
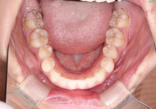
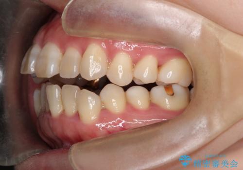
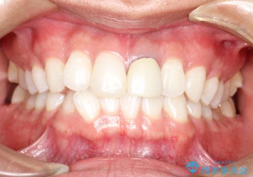
- 初診時には上顎前歯の突出、前歯部の深いかみ合わせ、叢生が見られる状態でした。
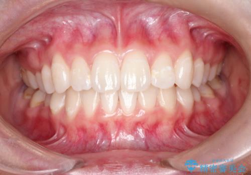
インビザラインにて不正咬合の原因除去を行うシミュレーションを念入りに制作の上、治療を行いました。
- 費用(概算)
- 80万円費用は治療当時の料金となります
治療について
使用したインビザラインのマウスピース枚数:42枚+25枚+22枚(初回マウスピース+リファインメントが2回、1週間に1枚ペースでの交換)
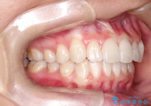
このケースでは非抜歯にて奥歯を後方に移動させる事で前歯の突出を改善するスペースを作り出していますが、これはマウスピースと顎間ゴムの併用によるもので、患者様のご協力の賜物と言えます。
深い噛み合わせについてはシミュレーション上の結果と、予期される実際の歯の移動量とを考慮し、特殊なセットアップを行う事で望ましい結果を得ることができました。
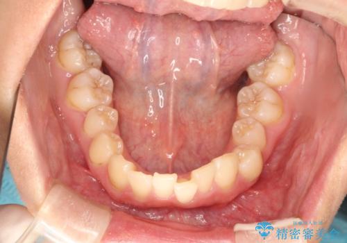
治療途中でリファインメントという追加のマウスピースを製作する手順を行っていますが、その際に上下の正中を合わせたいとの要望があったため、追加シミュレーションの際に追加でセットアップを施しましたが、無事、上下の正中もご要望通りに改善しています。
使用した装置はマウスピースと顎間ゴムのみです。ワイヤーやマイクロインプラントなど補助装置の使用はありません。
マウスピース矯正の注意事項(リスク・副作用など)
- 口腔内・歯並びの状態によっては対応できない場合があります
- マウスピース型矯正装置の長時間装着(1日20時間以上)が必須です
- 治療計画通りに進めるためには、患者様の意志が重要になります
- 矯正治療後の保定が不十分だと後戻り(元の位置に戻ろうとする動き)をします
- 薬機法対象外の矯正歯科装置のため医薬品副作用被害救済制度の対象外となる場合があります
- 自費診療(保険適用外)となります
当サイトの内容、テキスト、画像等の無断転載、複製、複写、盗用を固く禁じます。

















