症例詳細
Case detail
精度の高いセラミッククラウン
治療症例の内容
- 診療科目
- 治療カテゴリ
- 担当医
- 大元洋佑(ドクタープロフィール)
- 患者様
- 40代女性
- 治療期間
- 2ヶ月
- 治療回数
- 2-5回
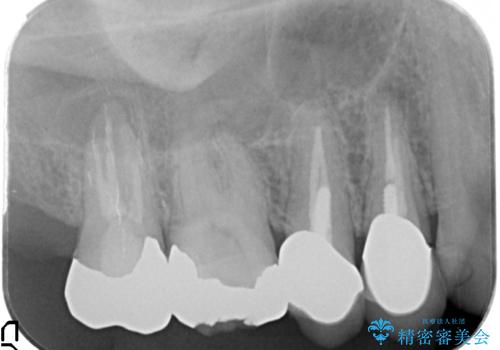
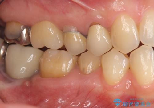
- 治療計画
- 歯にものがつまり、以前治療したクラウンの見栄えの悪さの改善を求めて来院されました。
歯ぐきとの境目が、クラウンでしっかりと覆われていないため精密なセラミッククラウンで機能性を回復していきます。
- 費用(概算)
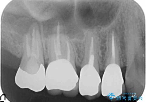
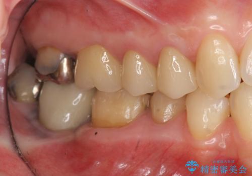
- 40万円(仮歯・ファイバーコア・ジルコニアクラウン×3)費用は治療当時の料金となります
精密なクラウン治療について
精密なセラミッククラウン製作には、シリコン印象などを用いた精密な型取り、クラウンの製作が大切です。
セラミック治療の注意事項(リスク・副作用など)
- 天然歯を削ります
- 硬い素材は天然歯を傷つけてしまう場合があります
- かみ合わせや歯ぎしりが強すぎる方はセラミックが割れてしまう可能性があります
- 自費診療(保険適用外治療)となります
当サイトの内容、テキスト、画像等の無断転載、複製、複写、盗用を固く禁じます。






