症例詳細
Case detail
変色した前歯 オーダーメイドタイプのオールセラミッククラウン
治療症例の内容
- 診療科目
- 治療カテゴリ
- 担当医
- 藤巻太一朗(ドクタープロフィール)
- 患者様
- 20代女性
- 治療期間
- 2ヶ月
- 治療回数
- 2-5回
- 治療計画
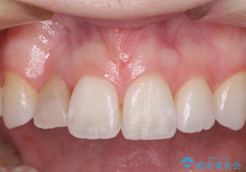
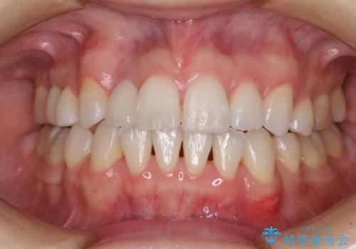
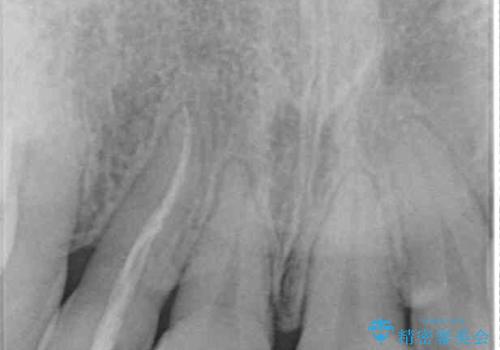
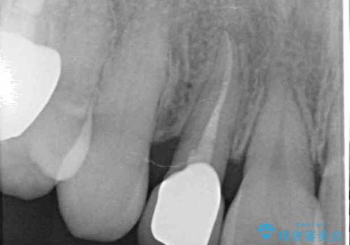
- 虫歯により神経を取り除いた前歯の変色が気になるとのことで来院された患者様です。
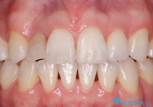
レントゲン写真より、歯根の炎症が認められなかったため、ファイバーコアによる土台築製後、オーダーメイドタイプのオールセラミッククラウンにて補綴することとしました。
- 費用(概算)
- 治療費の目安: 30万円費用は治療当時の料金となります
治療について
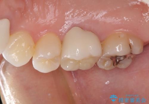
他院で矯正治療をされていたそうですが、矯正治療前から変色は気になっており、歯並びが整ってからは、より気になるようになっていたそうです。
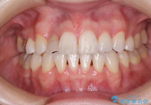
自然に仕上がり、患者様には大変満足していただきました。
セラミック治療の注意事項(リスク・副作用など)
- 天然歯を削ります
- 硬い素材は天然歯を傷つけてしまう場合があります
- かみ合わせや歯ぎしりが強すぎる方はセラミックが割れてしまう可能性があります
- 自費診療(保険適用外治療)となります
当サイトの内容、テキスト、画像等の無断転載、複製、複写、盗用を固く禁じます。
























