症例詳細
Case detail
痛む奥歯 セラミッククラウンによるむし歯治療
治療症例の内容
- 診療科目
- 治療カテゴリ
- 担当医
- 藤巻太一朗(ドクタープロフィール)
- 患者様
- 40代男性
- 治療期間
- 2ヶ月
- 治療回数
- 2-5回
- 治療計画
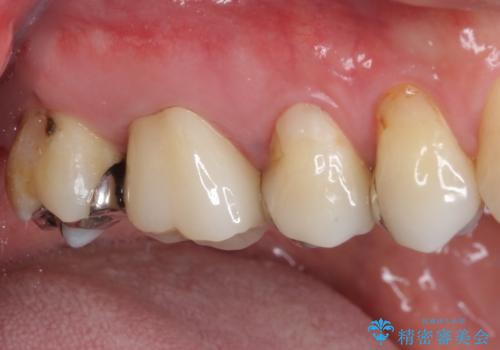
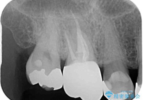
- 上の奥歯に咬んだときの痛みを感じて来院された患者様です。
まずは根管治療を行い、その後フルジルコニアクラウンにて補綴することとしました。
- 費用(概算)
- 治療費の目安: 23万円費用は治療当時の料金となります
治療について
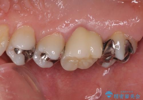
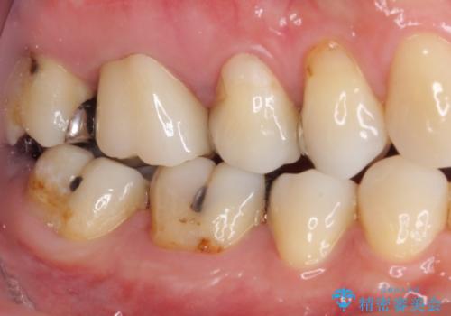
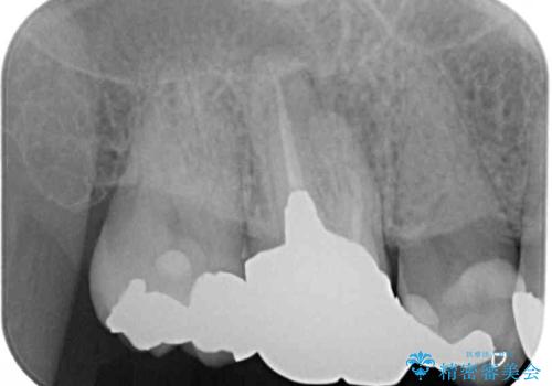
根管治療後には痛みが引き、半年後のレントゲンからは根尖部の病変が縮小している様子が分かりました。
咬んだときの感触も良好で、患者様には大変満足していただきました。
セラミック治療の注意事項(リスク・副作用など)
- 天然歯を削ります
- 硬い素材は天然歯を傷つけてしまう場合があります
- かみ合わせや歯ぎしりが強すぎる方はセラミックが割れてしまう可能性があります
- 自費診療(保険適用外治療)となります
当サイトの内容、テキスト、画像等の無断転載、複製、複写、盗用を固く禁じます。










