症例詳細
Case detail
海外留学をしながら歯並びを整えたい インビザラインによる矯正治療
治療症例の内容
- 診療科目
- 担当医
- 藤巻太一朗(ドクタープロフィール)
- 患者様
- 20代女性
- 矯正装置
- インビザライン
- 治療期間
- 3年6ヶ月
- 治療回数
- 10-30回
- 治療計画
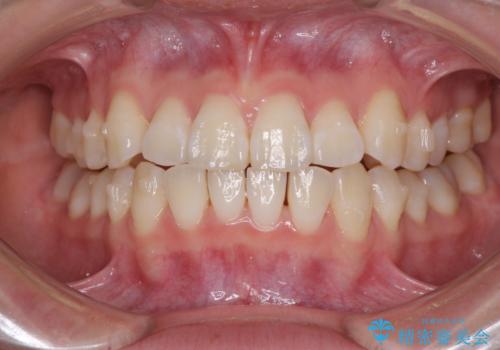
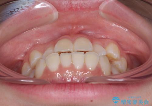
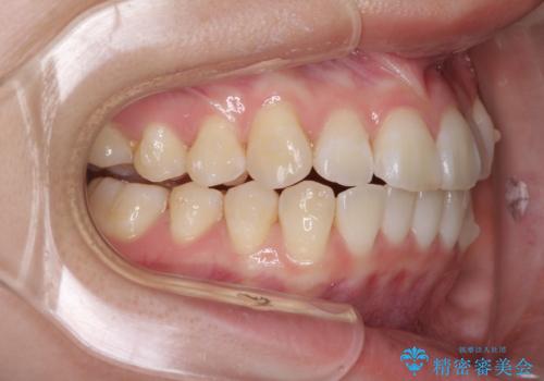
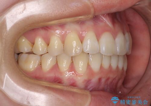
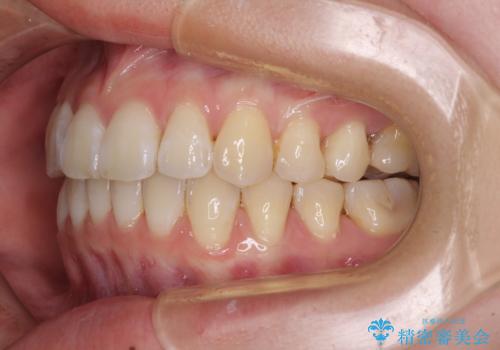
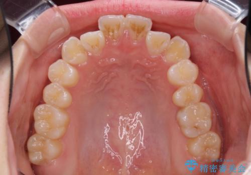
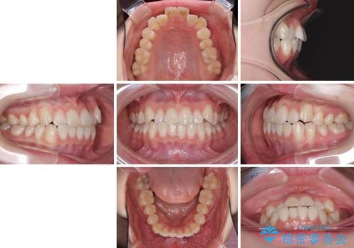
- 海外留学の予定があるが、学生のうちに歯列を整えたいとのことで来院された患者様です。
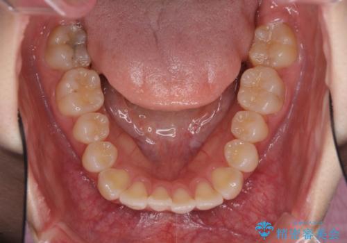
前歯にデコボコがあり、口元がやや突出した印象があったため、IPR(歯と歯の間を削る)と親知らずを抜歯した上での歯列全体の後方移動をメインに、インビザラインを用いて矯正治療を行うこととしました。
海外留学前にインビザラインをしっかりと使用できるようにし、現地での治療の進め方や帰国時の対応を決めた上で治療を開始しました。
- 費用(概算)
- 治療費の目安: 85万円費用は治療当時の料金となります
治療について
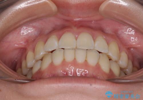
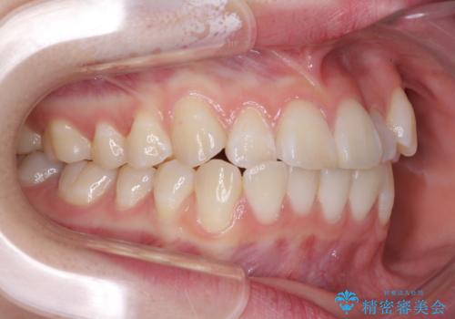
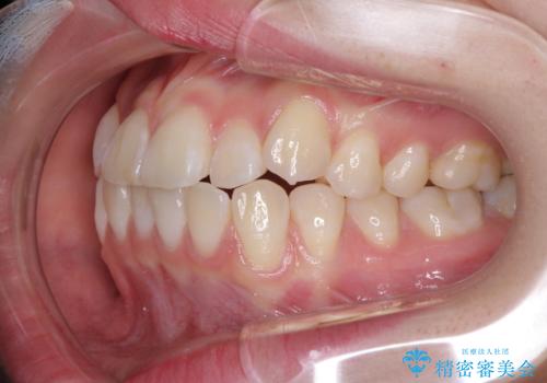
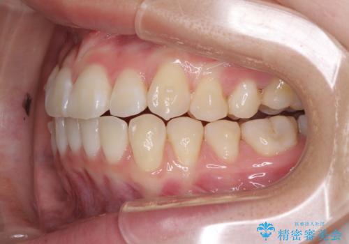
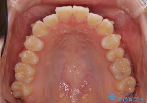
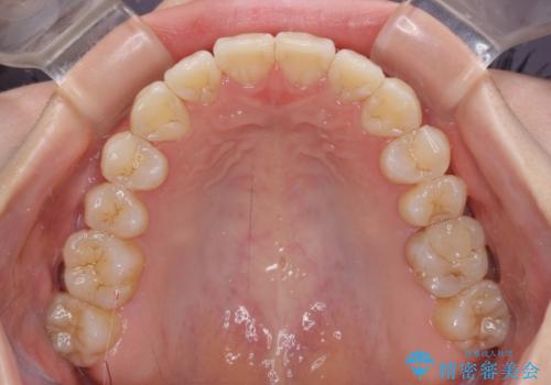
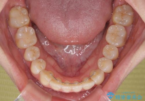
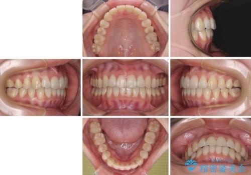
年に一度、夏休みの時期にしか帰国できないため、帰国のタイミングに合わせてマウスピース交換スケジュール治療計画としたため、3年半という期間を要しました。
留学先でもしっかりとマウスピースの装着を実践してくださったので、ご本人の満足のいく仕上がりとなりました。
マウスピース矯正の注意事項(リスク・副作用など)
- 口腔内・歯並びの状態によっては対応できない場合があります
- マウスピース型矯正装置の長時間装着(1日20時間以上)が必須です
- 治療計画通りに進めるためには、患者様の意志が重要になります
- 矯正治療後の保定が不十分だと後戻り(元の位置に戻ろうとする動き)をします
- 薬機法対象外の矯正歯科装置のため医薬品副作用被害救済制度の対象外となる場合があります
- 自費診療(保険適用外)となります
当サイトの内容、テキスト、画像等の無断転載、複製、複写、盗用を固く禁じます。




























