症例詳細
Case detail
折れてしまった奥歯 インプラントによる補綴治療
治療症例の内容
- 担当医
- 藤巻太一朗(ドクタープロフィール)
- 患者様
- 50代男性
- 治療期間
- 1年6ヶ月
- 治療回数
- 5-10回
- 治療計画
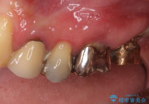
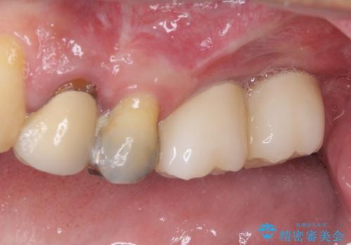
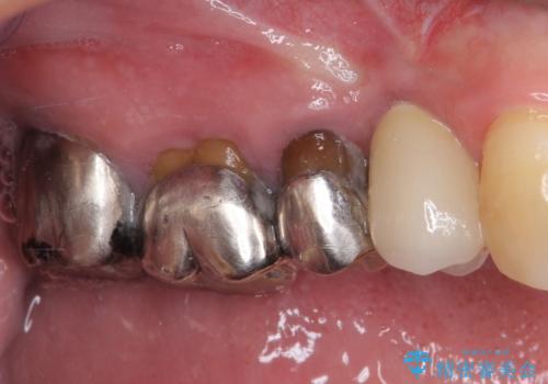
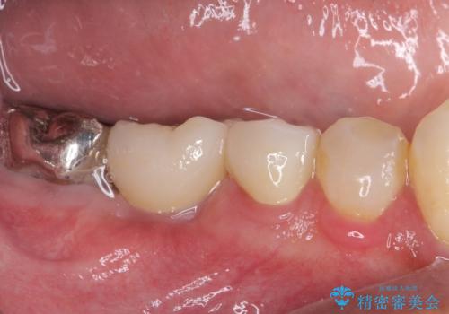
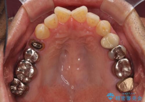
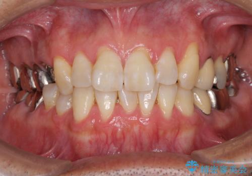
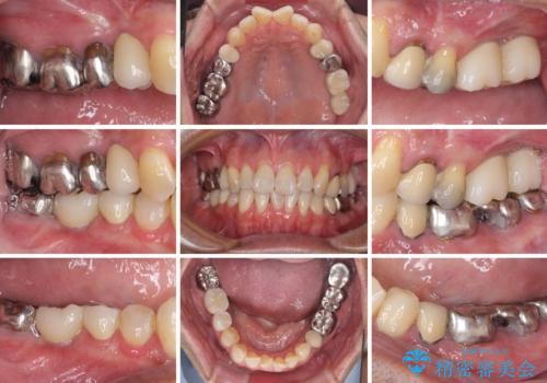
- 奥歯に違和感を感じており、抜歯の必要性を感じて来院された患者様です。
診査の結果、5本の奥歯を抜歯してインプラントによる補綴治療が必要と診断されました。
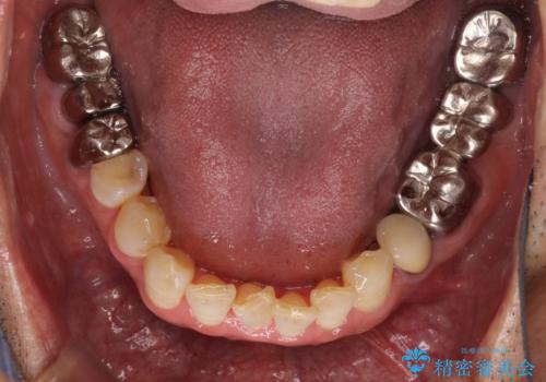
患者様が違和感を感じていない左下の奥歯の治療は今回は見送り、それ以外の治療が必要な奥歯を治療することとしました。
- 費用(概算)
- 治療費の目安: 150万円費用は治療当時の料金となります
治療について
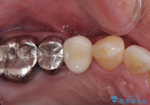
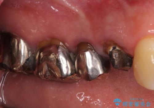
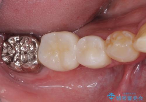
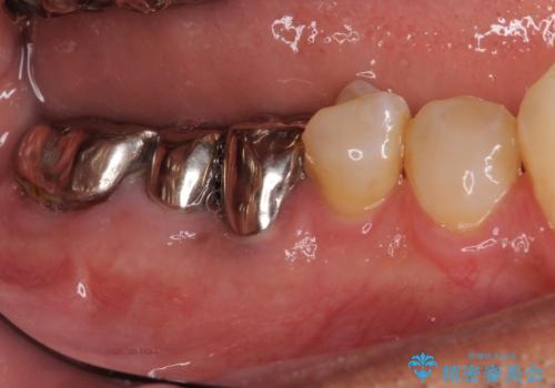
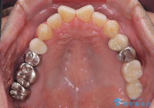
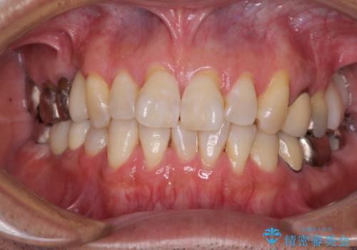
左上の奥歯は2本抜歯が必要であったため、治療期間中は右側に負担がかかり、頻繁に仮歯が壊れてしまいました。
左上に仮歯が装着されたからは咬み合わせが安定し、スムーズに治療を進めることができました。
インプラント治療の注意事項(リスク・副作用など)
- 外科手術のため、術後に痛みや腫れ、違和感を伴います
- メンテナンスを怠ったり喫煙により、お口の中に大きな悪影響を及ぼすインプラント周囲炎等にかかる可能性があります
- 糖尿病、肝硬変、心臓病等の場合、インプラント治療ができない可能性があります
- 高血圧、貧血・不整脈等の場合、インプラント治療後に治癒不全を招く可能性があります
- 自費診療(保険適用外治療)となります
セラミック治療の注意事項(リスク・副作用など)
- 天然歯を削ります
- 硬い素材は天然歯を傷つけてしまう場合があります
- かみ合わせや歯ぎしりが強すぎる方はセラミックが割れてしまう可能性があります
- 自費診療(保険適用外治療)となります
当サイトの内容、テキスト、画像等の無断転載、複製、複写、盗用を固く禁じます。
























