症例詳細
Case detail
汚れてしまった保険のクラウン 前歯のオールセラミック
治療症例の内容
- 診療科目
- 治療カテゴリ
- 担当医
- 藤巻太一朗(ドクタープロフィール)
- 患者様
- 50代女性
- 治療期間
- 5ヶ月
- 治療回数
- 2-5回
- 治療計画
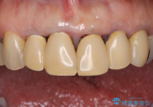
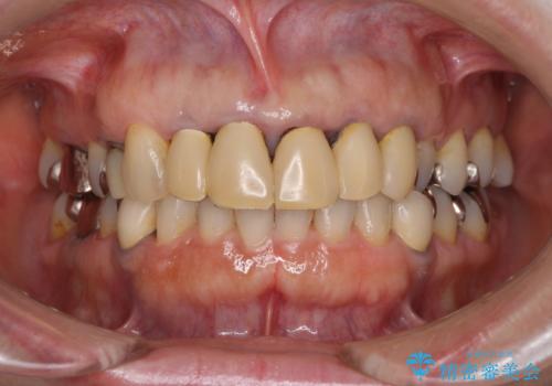
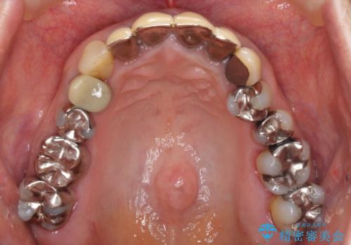
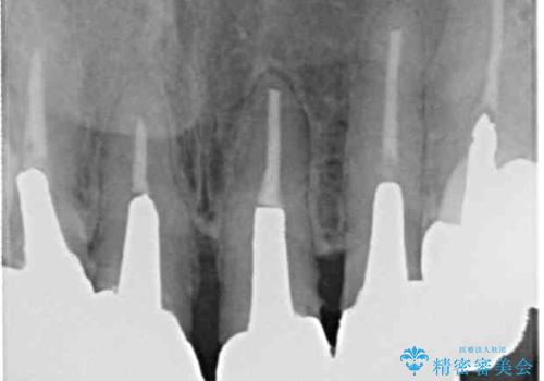
- 保険診療で装着した前歯のクラウンの変色を気にして来院された患者様です。
保険診療では樹脂を用いた素材で製作するため、水分が吸収されやすく、一緒に色素が取り込まれるために変色をしてしまいます。
また、裏打ちに主に銀を用いた金属材料を使用するため、金属自体が黒くなったり、イオンとなり溶け出したりして、歯肉ラインが黒くなってしまうことがあります。
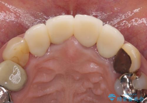
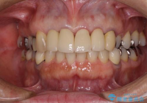
金属の土台を歯の色に近いものへと変更した上で、オールセラミッククラウンにて補綴することとしました。
- 費用(概算)
- 治療費の目安: 52万円費用は治療当時の料金となります
治療について
自然で透明感のある前歯になると同時に、歯茎付近の黒ずみや隙間も改善でき、患者様には大変満足していただきました。
セラミック治療の注意事項(リスク・副作用など)
- 天然歯を削ります
- 硬い素材は天然歯を傷つけてしまう場合があります
- かみ合わせや歯ぎしりが強すぎる方はセラミックが割れてしまう可能性があります
- 自費診療(保険適用外治療)となります
当サイトの内容、テキスト、画像等の無断転載、複製、複写、盗用を固く禁じます。














