症例詳細
Case detail
変色した前歯のオールセラミック治療
治療症例の内容
- 診療科目
- 治療カテゴリ
- 担当医
- 藤巻太一朗(ドクタープロフィール)
- 患者様
- 20代女性
- 治療期間
- 2ヶ月
- 治療回数
- 2-5回
- 治療計画
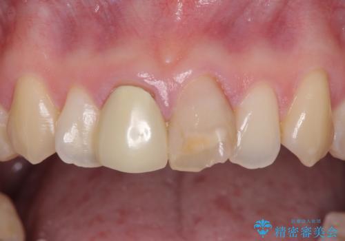
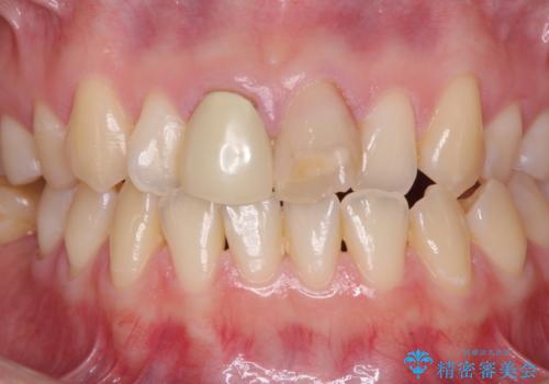
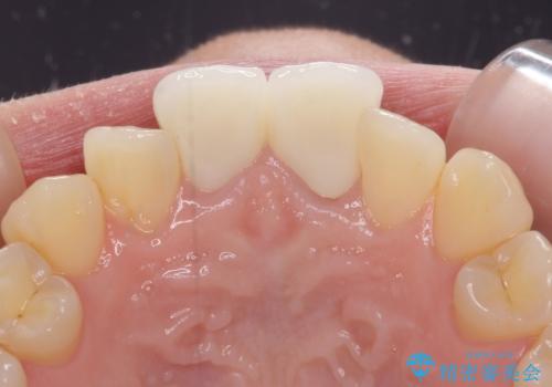
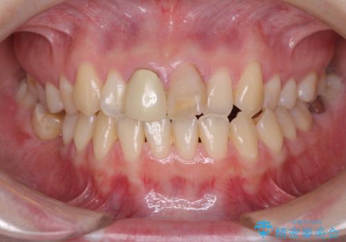
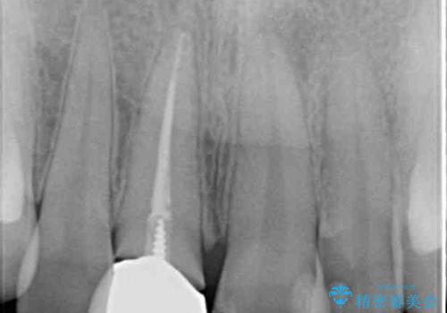
- 前歯の変色が気になるとのことで来院された患者様です。
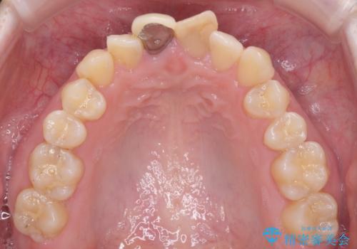
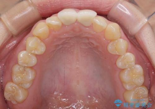
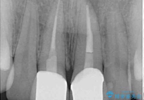
レントゲン写真より、変色してしまった歯は根管治療がされていなかったため、根管治療後にファイバーコアによる土台築製を行い、前歯2本をオールセラミッククラウンにて補綴することとしました。
- 費用(概算)
- 治療費の目安: 32万円費用は治療当時の料金となります
治療について
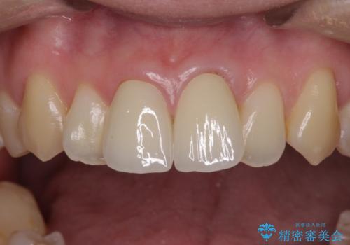
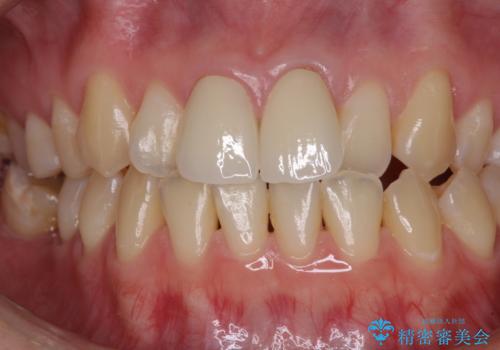
変色とともに、捻れていたことも気になっていたので、その両方を解決させることとしました。
2本同時に処置したことで、形や色調をそろえることができ、自然な口元になりました。
セラミック治療の注意事項(リスク・副作用など)
- 天然歯を削ります
- 硬い素材は天然歯を傷つけてしまう場合があります
- かみ合わせや歯ぎしりが強すぎる方はセラミックが割れてしまう可能性があります
- 自費診療(保険適用外治療)となります
当サイトの内容、テキスト、画像等の無断転載、複製、複写、盗用を固く禁じます。














