症例詳細
Case detail
審美性の高いセラミックインレー
治療症例の内容
- 診療科目
- 治療カテゴリ
- 担当医
- 河口智英(ドクタープロフィール)
- 患者様
- 20代男性
- 治療期間
- 1ヶ月
- 治療回数
- 2-5回
- 治療計画
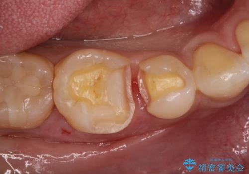
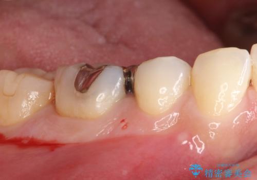
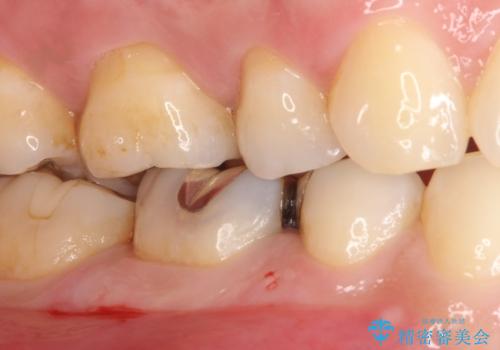
- メタルインレーによる審美障害を主訴に来院されました。
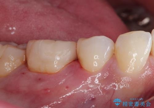
セラミックインレーに治療を行っております。
- 費用(概算)
- 14万円費用は治療当時の料金となります
治療について
e-max プレスインレーにて修復治療を行っているため適合性及び審美性の高い治療を行うことができます。
セラミック治療の注意事項(リスク・副作用など)
- 天然歯を削ります
- 硬い素材は天然歯を傷つけてしまう場合があります
- かみ合わせや歯ぎしりが強すぎる方はセラミックが割れてしまう可能性があります
- 自費診療(保険適用外治療)となります
当サイトの内容、テキスト、画像等の無断転載、複製、複写、盗用を固く禁じます。







