症例詳細
Case detail
前歯のブリッジが気に入らない 歯肉移植術を併用した前歯のブリッジ
治療症例の内容
- 診療科目
- 治療カテゴリ
- 担当医
- 藤巻太一朗(ドクタープロフィール)
- 患者様
- 30代女性
- 治療期間
- 4ヶ月
- 治療回数
- 2-5回
- 治療計画
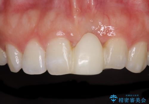
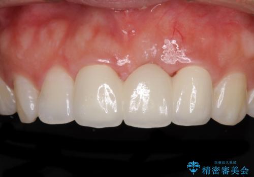
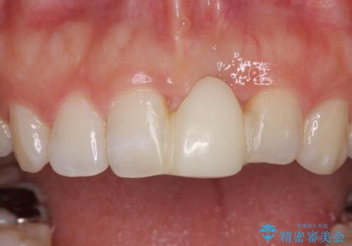
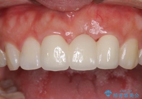
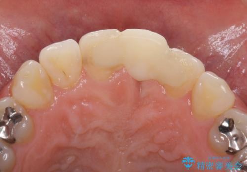
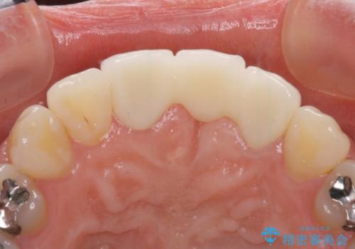
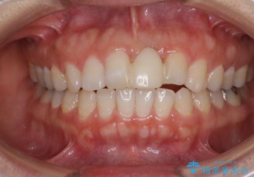
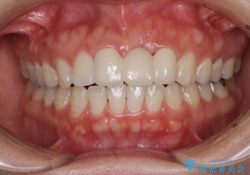
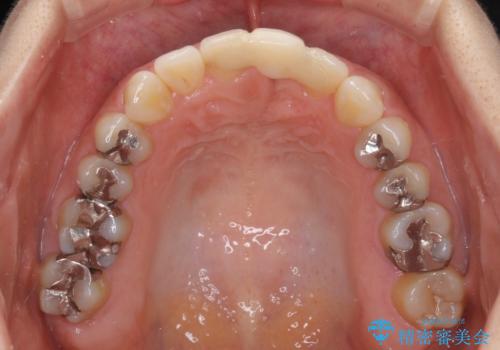
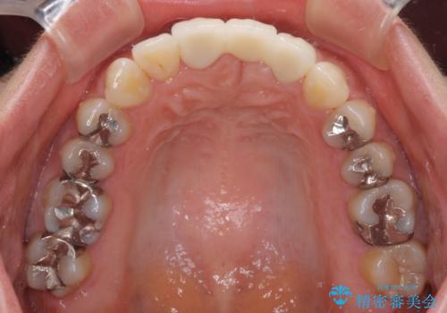
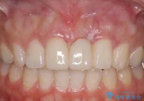
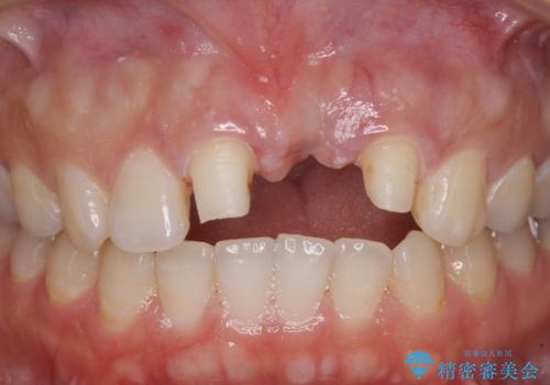
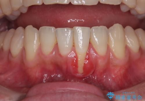
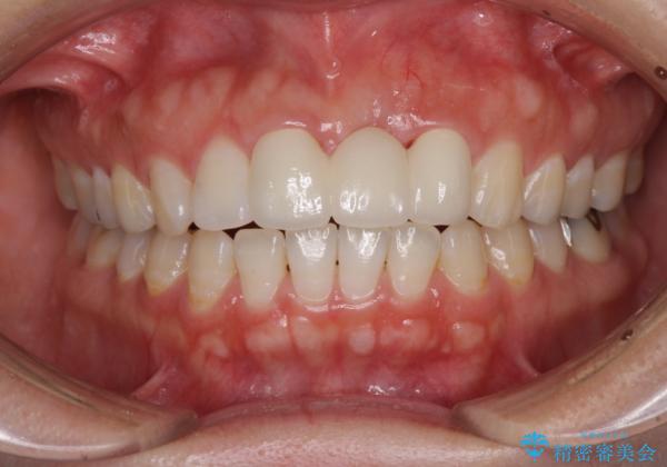
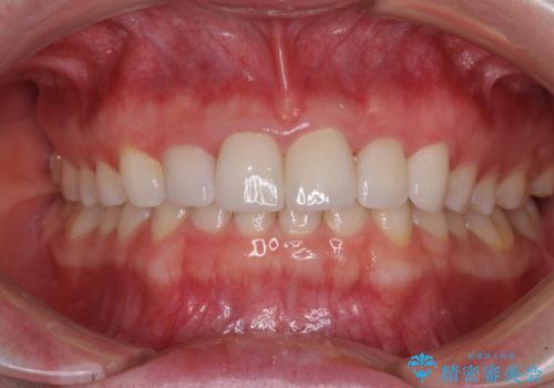
- 接着タイプの前歯のブリッジが不自然であるとのことで来院された患者様です。
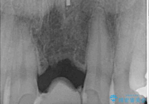
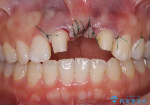
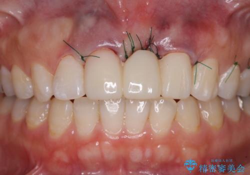
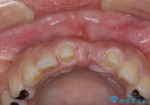
欠損部の歯肉が窪んでいるため、歯肉移植により形態を改善し、オールセラミックブリッジにて補綴することとしました。
- 費用(概算)
- 治療費の目安: 38万費用は治療当時の料金となります
治療について
事前に装着されていた接着タイプのブリッジは、歯の切削量が少ない反面、接着界面から虫歯が進行しやすく、脱落リスクが高くなるというデメリットがあります。
セラミック治療の注意事項(リスク・副作用など)
- 天然歯を削ります
- 硬い素材は天然歯を傷つけてしまう場合があります
- かみ合わせや歯ぎしりが強すぎる方はセラミックが割れてしまう可能性があります
- 自費診療(保険適用外治療)となります
歯周病治療の注意事項(リスク・副作用など)
- 外科手術のため、術後に痛みや腫れ、違和感を伴います
- 歯周組織再生治療は患者様の状態によって術後の経過が異なります(見た目が改善しない場合もあります)
- 歯周組織再生治療は自費診療(保険適用外)となります
当サイトの内容、テキスト、画像等の無断転載、複製、複写、盗用を固く禁じます。




















