症例詳細
Case detail
目立つ銀歯を治したい 奥歯のむし歯治療
治療症例の内容
- 担当医
- 藤巻太一朗(ドクタープロフィール)
- 患者様
- 20代女性
- 治療期間
- 2ヶ月
- 治療回数
- 2-5回
- 治療計画
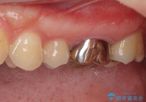
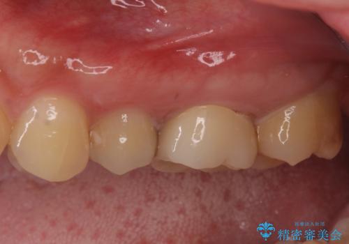
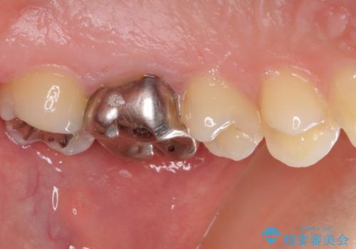
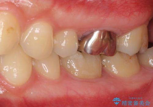
- 奥歯の虫歯と銀歯を気にして来院された患者様です。
セラミックインレーおよびセラミッククラウンによる治療を希望されましたが、虫歯となっている歯は神経近くにまで蝕まれていたため、長期的な予後を鑑みて、PGAインレー(プラチナゴールドインレー)にて修復することとしました。
- 費用(概算)
- 治療費の目安: 21万円費用は治療当時の料金となります
治療について
ゴールドインレーを装着するまでは、金属色が目立ってしまうのではないかと心配されていましたが、表からは見えない位置にあること、銀歯と異なり目立つ色ではないことから、審美的な問題はありませんでした。
セラミック治療の注意事項(リスク・副作用など)
- 天然歯を削ります
- 硬い素材は天然歯を傷つけてしまう場合があります
- かみ合わせや歯ぎしりが強すぎる方はセラミックが割れてしまう可能性があります
- 自費診療(保険適用外治療)となります
PGA(ゴールド)クラウン、インレーの注意事項(リスク・副作用など)
- インレーおよびクラウンは脱離するリスクがあります
- 形成量はセラミックより少ないですが、歯の形成、修復後に歯に症状が出ることがあります
- 自費診療(保険適用外治療)となります
当サイトの内容、テキスト、画像等の無断転載、複製、複写、盗用を固く禁じます。










