症例詳細
Case detail
下顎前歯と上顎の部分矯正
治療症例の内容
- 診療科目
- 治療カテゴリ
- 担当医
- 藤巻太一朗(ドクタープロフィール)
- 患者様
- 30代男性
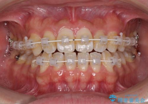
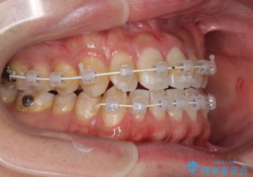
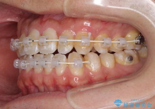
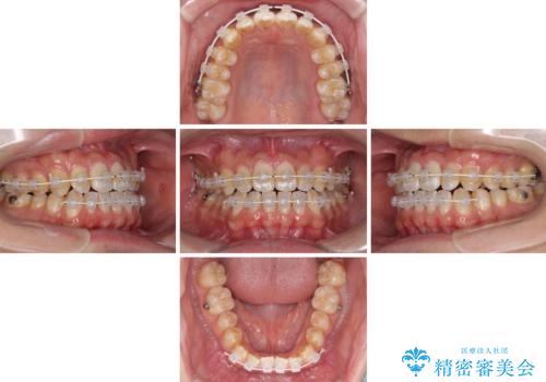
- 矯正装置
- 審美装置
- 治療期間
- 1年
- 治療回数
- 10-30回
- 治療計画
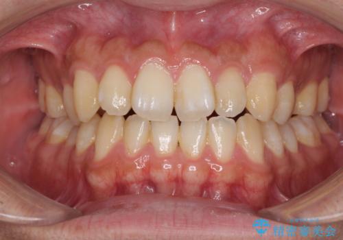
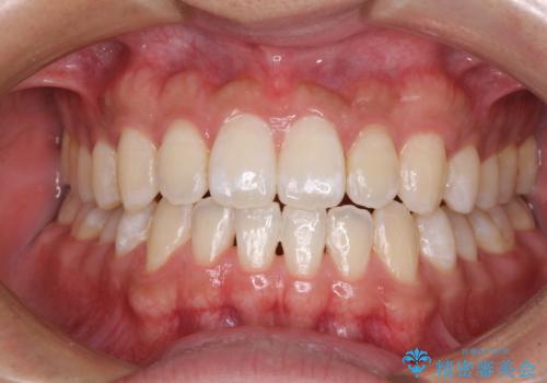
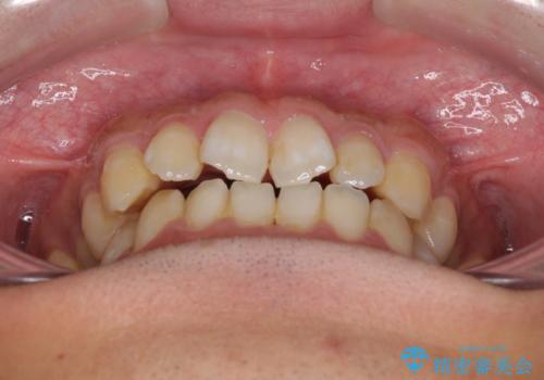
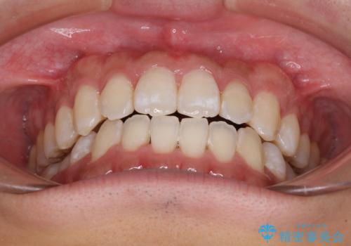
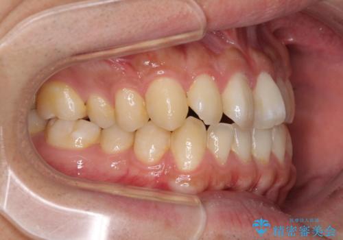
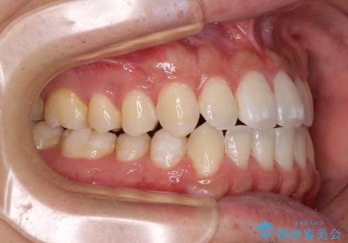
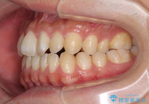
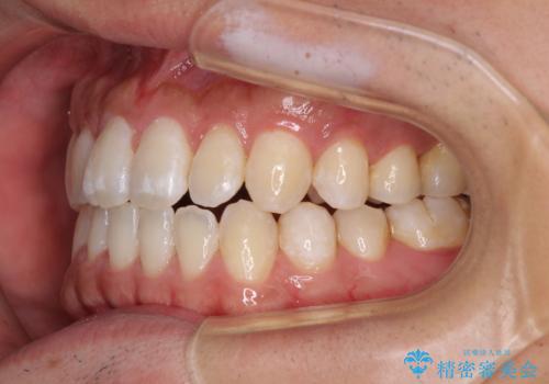
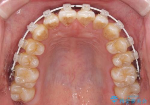
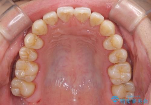
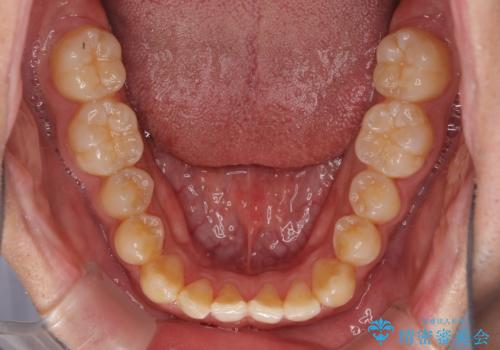
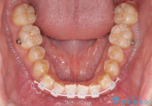
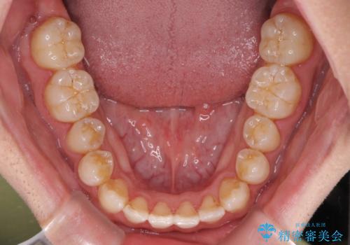
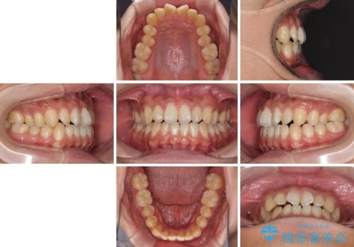
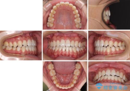
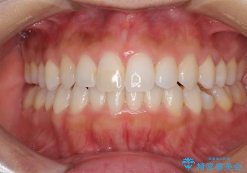
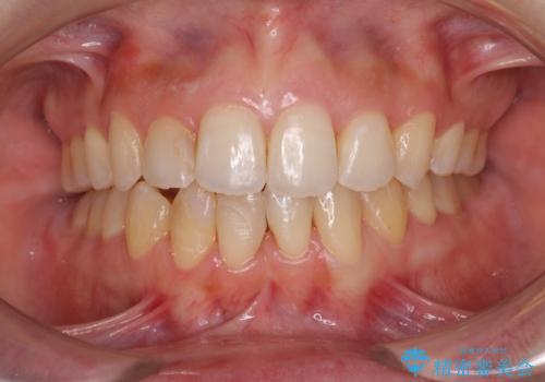
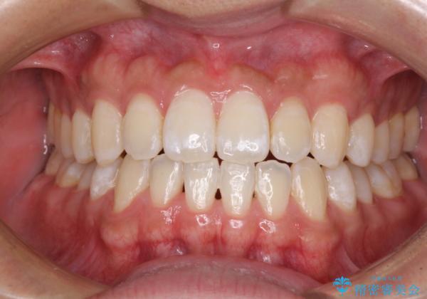
- 上下の前歯の叢生を気にして来院された患者様です。
前歯のみの矯正治療を希望でしたが、上顎臼歯が舌側転位していたため、上顎は全体を、下顎は前歯のみを矯正治療することとしました。
- 費用(概算)
- 治療費の目安: 60万円費用は治療当時の料金となります
治療について
矯正治療は上下全顎を行うことが大前提ですが、費用などの点から、今回は部分矯正を選択することとなりました。
患者様本人は咬みにくさを感じていないようですが、部分矯正は咬み合わせの改善が困難であることが多く、咬みにくさが残ることがあります。
ワイヤー矯正の注意事項(リスク・副作用など)
- 治療中は違和感や痛みが起こることがあります
- 症状により、抜歯が必要な場合があります
- 治療中は歯磨きがしにくくなるため、虫歯や歯周病になりやすくなります
- 矯正治療後の保定が不十分だと後戻り(元の位置に戻ろうとする動き)をします
- 自費診療(保険適用外)となります
当サイトの内容、テキスト、画像等の無断転載、複製、複写、盗用を固く禁じます。


























