症例詳細
Case detail
折れてしまった前歯 オールセラミックブリッジで自然な口元に
治療症例の内容
- 診療科目
- 治療カテゴリ
- 担当医
- 藤巻太一朗(ドクタープロフィール)
- 患者様
- 50代女性
- 治療期間
- 4ヶ月
- 治療回数
- 2-5回
- 治療計画
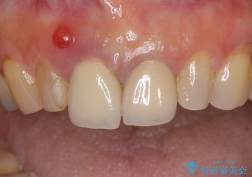
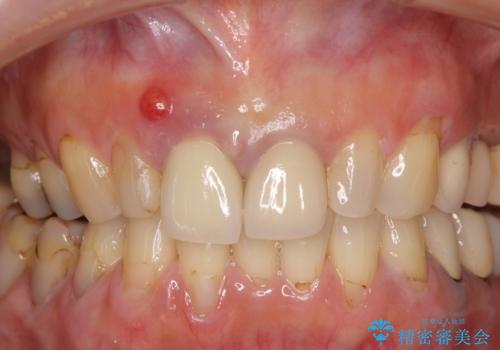
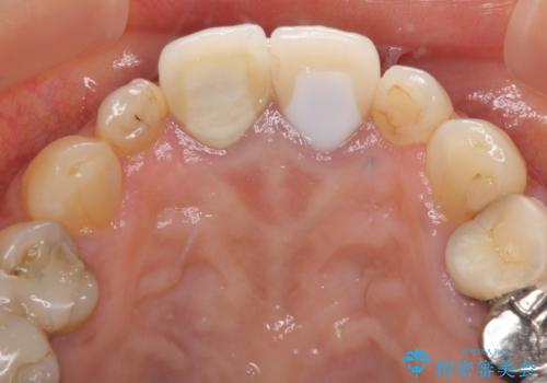
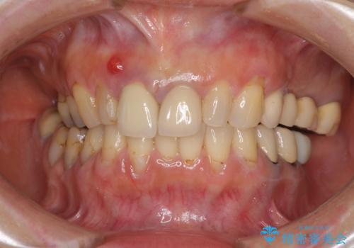
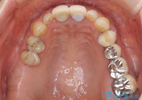
- 神経の抜いた歯が折れてしまい、痛みを感じて来院された患者様です。
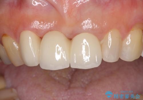
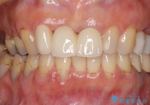
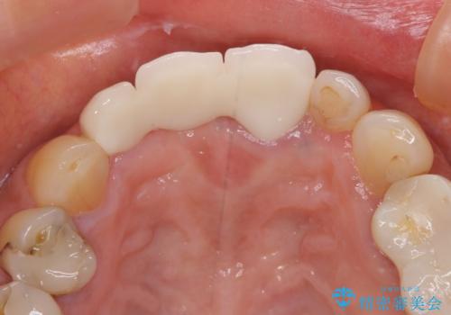
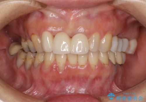
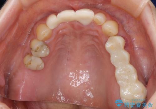
折れてしまった歯は抜歯せざるを得ないため、抜歯と同時に仮歯を装着し、その後オールセラミックブリッジにて補綴することとしました。
- 費用(概算)
- 治療費の目安: 35万円費用は治療当時の料金となります
治療について
折れた前歯を抜歯すると、歯肉が痩せてしまい、ブリッジの形態の審美性が失われることがあります。仮歯を調整することで審美回復が必要であるか判断しますが、今回は歯肉移植を行うことなく補綴治療を行いました。
セラミック治療の注意事項(リスク・副作用など)
- 天然歯を削ります
- 硬い素材は天然歯を傷つけてしまう場合があります
- かみ合わせや歯ぎしりが強すぎる方はセラミックが割れてしまう可能性があります
- 自費診療(保険適用外治療)となります
当サイトの内容、テキスト、画像等の無断転載、複製、複写、盗用を固く禁じます。














