症例詳細
Case detail
歯の変色 前歯の審美改善
治療症例の内容
- 担当医
- 大元洋佑(ドクタープロフィール)
- 患者様
- 13万円
- 治療期間
- 1ヶ月
- 治療回数
- 2-5回
- 治療計画
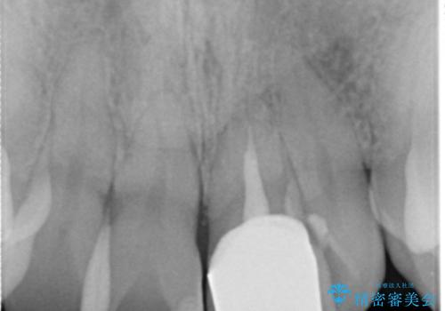
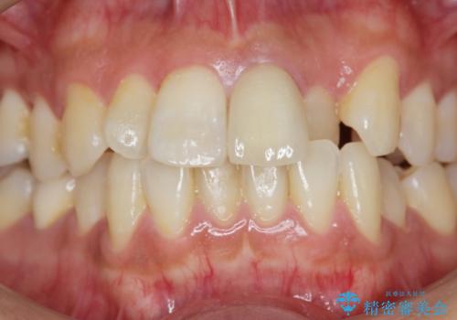
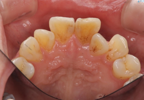
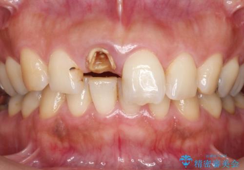
- 前歯の変色の改善を求めて来院されました。
X線写真より、以前に神経の治療が為され変色をきたしている状態であることがわかりました。
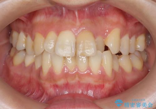
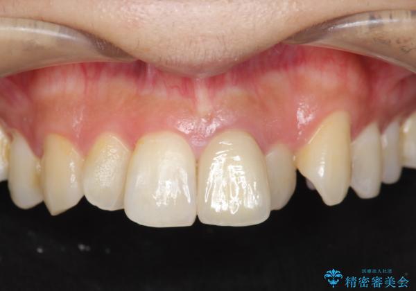
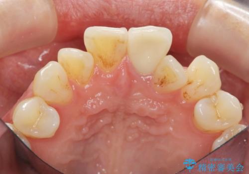
根管内の感染は認められないのでセワミッククラウンの製作・装着を行い審美性を改善します。
- 費用(概算)
- 13万円(仮歯・ファイバーコア・ジルコニアクラウンスタンダード)費用は治療当時の料金となります
前歯の審美治療について
前歯は虫歯などにより神経治療がよく行われますが、経年的に変色が進み審美性が損なわれていきます。
セラミック治療の注意事項(リスク・副作用など)
- 天然歯を削ります
- 硬い素材は天然歯を傷つけてしまう場合があります
- かみ合わせや歯ぎしりが強すぎる方はセラミックが割れてしまう可能性があります
- 自費診療(保険適用外治療)となります
当サイトの内容、テキスト、画像等の無断転載、複製、複写、盗用を固く禁じます。












