症例詳細
Case detail
前歯のクロスバイト メタル装置での矯正治療
治療症例の内容
- 診療科目
- 担当医
- 藤巻太一朗(ドクタープロフィール)
- 患者様
- 20代女性
- 矯正装置
- メタルブラケット
- 治療期間
- 2年3ヶ月
- 治療回数
- 10-30回
- 治療計画
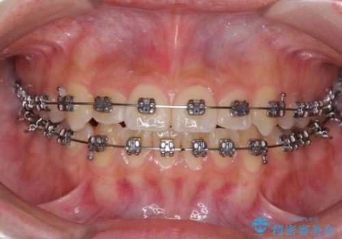
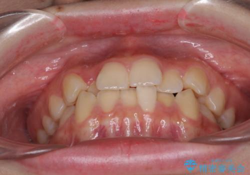
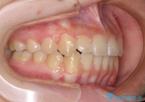
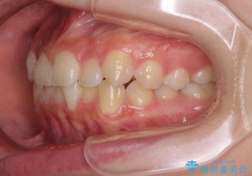
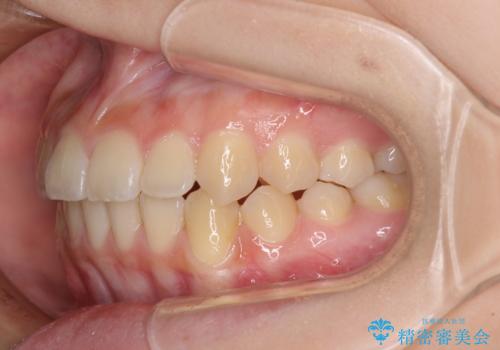
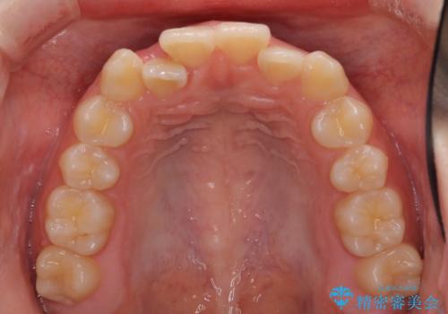
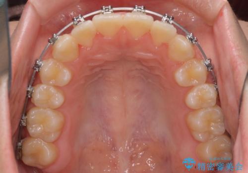
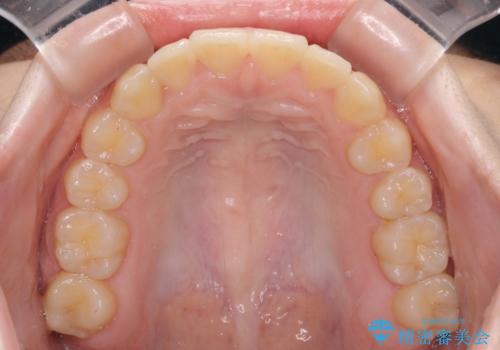
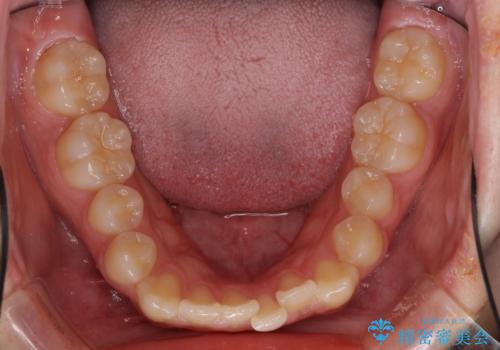
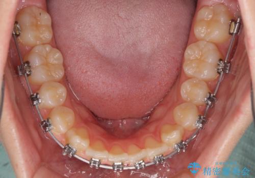
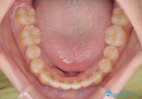
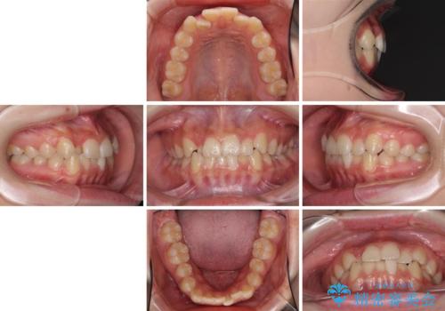
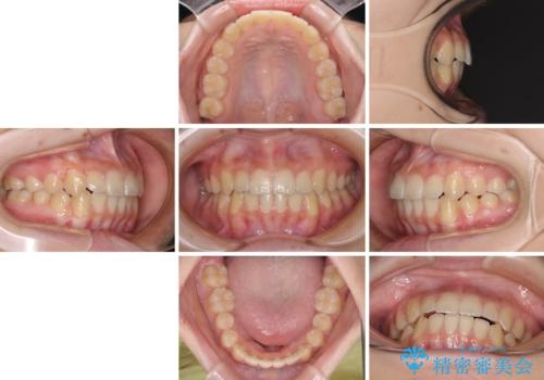
- 前歯のクロスバイトを気にして来院された患者様です。
前歯の叢生を解消するスペースを獲得するために上顎左右の親知らずを抜歯し、メタルブラケットにて矯正治療を行うこととしました。
- 費用(概算)
- 治療費の目安: 70万円費用は治療当時の料金となります
治療について
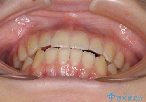
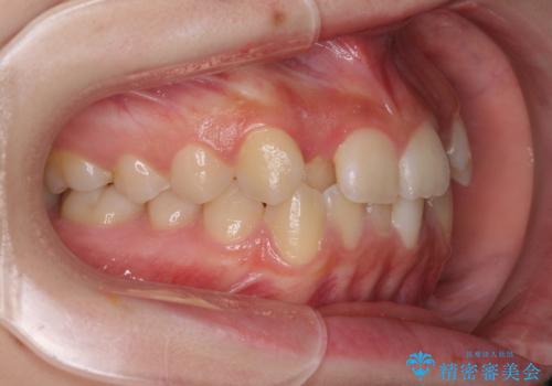
当初は1年半程度の治療期間を想定していましたが、上下の正中を合わせていく過程で奥歯の咬みにくさが続いてしまい、2年以上の治療期間を要することとなりました。
ワイヤー矯正の注意事項(リスク・副作用など)
- 治療中は違和感や痛みが起こることがあります
- 症状により、抜歯が必要な場合があります
- 治療中は歯磨きがしにくくなるため、虫歯や歯周病になりやすくなります
- 矯正治療後の保定が不十分だと後戻り(元の位置に戻ろうとする動き)をします
- 自費診療(保険適用外)となります
当サイトの内容、テキスト、画像等の無断転載、複製、複写、盗用を固く禁じます。


























