症例詳細
Case detail
黒いところが気になる、前歯をきれいにしたい
治療症例の内容
- 患者様
- 30代男性
- 治療期間
- 6ヶ月
- 治療回数
- 2-5回
- 治療計画
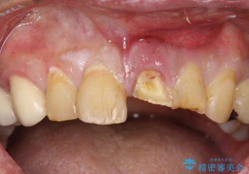
- 前歯のかぶせものの付け根が黒いところを気にされて来院されました。
 以前メタルボンド(金属の裏打ちがあるセラミック)を入れたところが、歯肉退縮もあり、金属が見えてきている状態でした。
 右上2は根管治療が途中のままになっていたようで、前歯3本の根管治療をしてかぶせものを新しくしていく治療計画を立てました。
 根管治療は保険で、それ以外は自費治療で行いました。
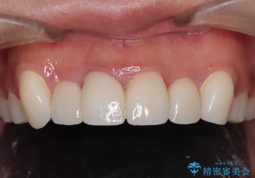
 最終的なかぶせものを入れる前に、ホワイトニングもして歯の色を明るくしてからその色に合わせて新しいかぶせものを用意しました。
- 費用(概算)
- 40万+tax と 保険分費用は治療当時の料金となります
治療について
最終的なかぶせものを入れる前に、PMTCやホワイトニングをしてきれいに、かつ白くなってからかぶせものを作成すると、より仕上がりに対しての満足感がアップすると思います。
セラミック治療の注意事項(リスク・副作用など)
- 天然歯を削ります
- 硬い素材は天然歯を傷つけてしまう場合があります
- かみ合わせや歯ぎしりが強すぎる方はセラミックが割れてしまう可能性があります
- 自費診療(保険適用外治療)となります
保険治療の注意事項(リスク・副作用など)
- 保険医が保険医療機関において健康保険法、医師法、医療法等の各種関係法令の規定を遵守し、『療養担当規則』の規定を遵守し、医学的に妥当適切な診療を行い、診療報酬点数表に定められたとおりに請求を行っています
- 使用する材料・素材や治療方法に制約があります
- 健康保険適用となります
当サイトの内容、テキスト、画像等の無断転載、複製、複写、盗用を固く禁じます。








 
                       
                                                          










 
                   
                   
                  