症例詳細
Case detail
前歯が黒くなってきた。オールセラミッククラウン
治療症例の内容
- 診療科目
- 治療カテゴリ
- 担当医
- 河口智英(ドクタープロフィール)
- 患者様
- 20代男性
- 治療期間
- 2ヶ月
- 治療回数
- 2-5回
- 治療計画
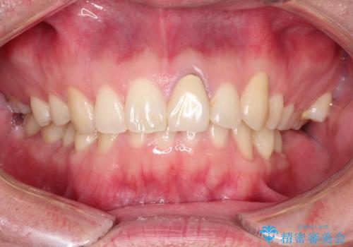
- 前歯の変色を主訴に来院されました。
根管治療は希望されなかったので、リスクを説明した上でオールセラミッククラウンの治療を行っています。
- 費用(概算)
- 16万円費用は治療当時の料金となります
治療について
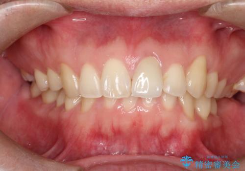
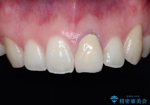
金属の被せ物は歯肉の変色を起こしやすくなります。オールセラミッククラウンは金属を使わないため審美的な治療を行うことができます。
セラミック治療の注意事項(リスク・副作用など)
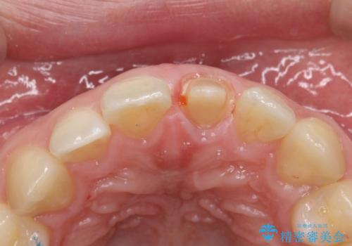
- 天然歯を削ります
- 硬い素材は天然歯を傷つけてしまう場合があります
- かみ合わせや歯ぎしりが強すぎる方はセラミックが割れてしまう可能性があります
- 自費診療(保険適用外治療)となります
当サイトの内容、テキスト、画像等の無断転載、複製、複写、盗用を固く禁じます。









