症例詳細
Case detail
侵襲性歯周炎。前歯の歯周補綴
治療症例の内容
- 担当医
- 河口智英(ドクタープロフィール)
- 患者様
- 20代女性
- 治療期間
- 1年
- 治療回数
- 5-10回
- 治療計画
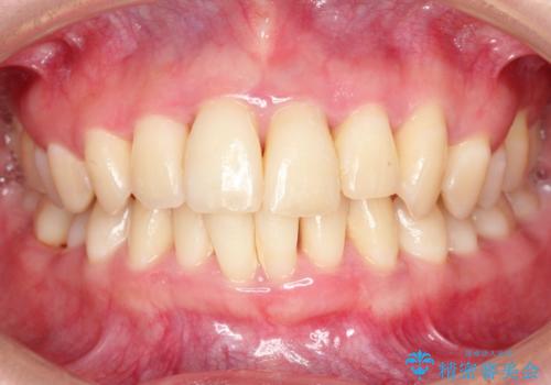
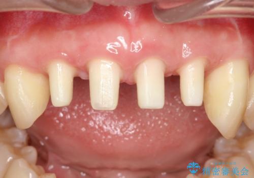
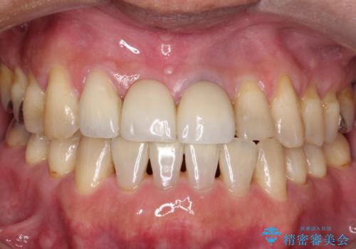
- 前歯がグラグラすることを主訴に来院されました。
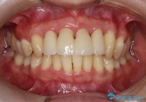
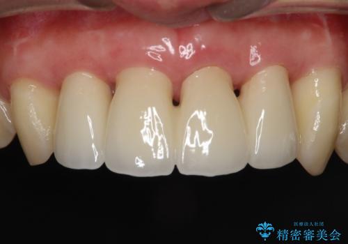
再生治療後、歯周補綴を行っております。
(根管治療はDr河野にて施術)
- 費用(概算)
- 86万円費用は治療当時の料金となります
治療について
歯周病が進行してしまった歯に対し、再生治療および歯周補綴を行うことで歯周組織の安定を得ることができました。
セラミック治療の注意事項(リスク・副作用など)
- 天然歯を削ります
- 硬い素材は天然歯を傷つけてしまう場合があります
- かみ合わせや歯ぎしりが強すぎる方はセラミックが割れてしまう可能性があります
- 自費診療(保険適用外治療)となります
歯周病治療の注意事項(リスク・副作用など)
- 外科手術のため、術後に痛みや腫れ、違和感を伴います
- 歯周組織再生治療は患者様の状態によって術後の経過が異なります(見た目が改善しない場合もあります)
- 歯周組織再生治療は自費診療(保険適用外)となります
当サイトの内容、テキスト、画像等の無断転載、複製、複写、盗用を固く禁じます。







