症例詳細
Case detail
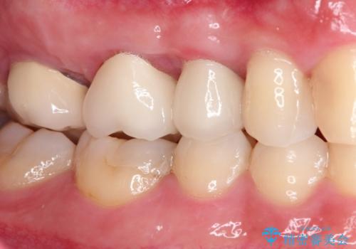
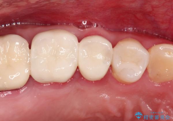
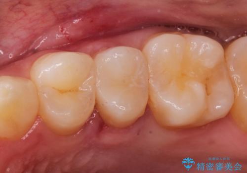
セラミッククラウン。虫歯の治療
治療症例の内容
- 診療科目
- 治療カテゴリ
- 担当医
- 河口智英(ドクタープロフィール)
- 患者様
- 40代男性
- 治療期間
- 6ヶ月
- 治療回数
- 2-5回
- 治療計画
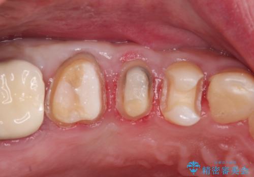
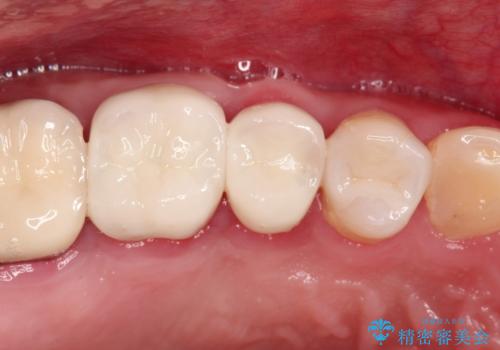
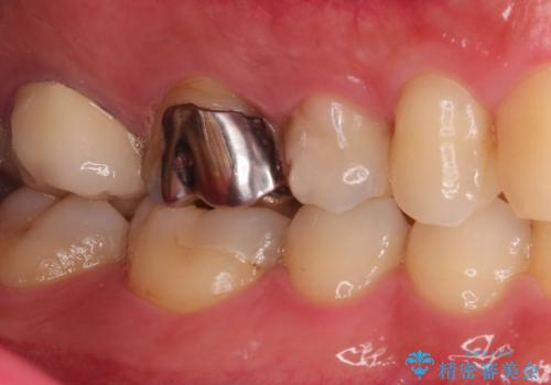
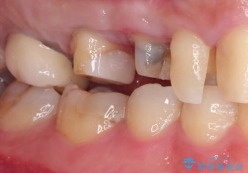
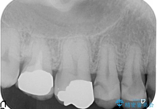
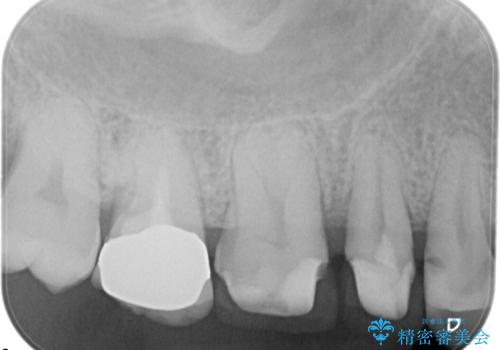
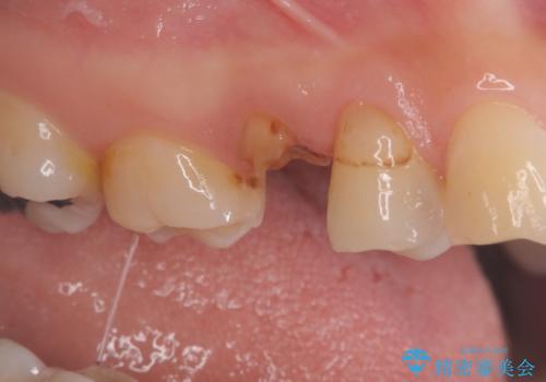
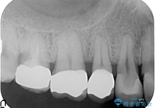
- 定期検診にて不良補綴物、及び虫歯を認めオールセラミッククラウンにて治療を行いました。
- 費用(概算)
- 29万円費用は治療当時の料金となります
治療について
右上第二小臼歯はカリエス除去中に露髄を認め、部分的断髄法にて歯髄を保存しております。
セラミック治療の注意事項(リスク・副作用など)
- 天然歯を削ります
- 硬い素材は天然歯を傷つけてしまう場合があります
- かみ合わせや歯ぎしりが強すぎる方はセラミックが割れてしまう可能性があります
- 自費診療(保険適用外治療)となります
当サイトの内容、テキスト、画像等の無断転載、複製、複写、盗用を固く禁じます。









