症例詳細
Case detail
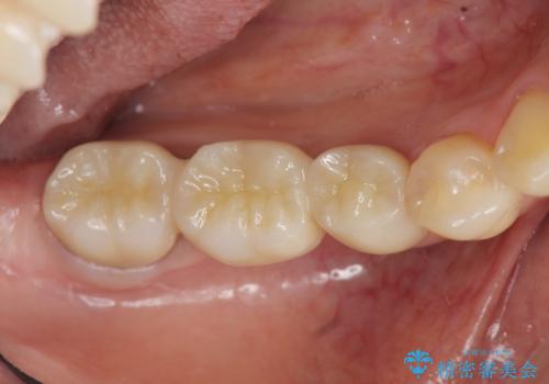
セラミックブリッジによる審美・咬合機能回復治療
治療症例の内容
- 診療科目
- 治療カテゴリ
- 担当医
- 大元洋佑(ドクタープロフィール)
- 患者様
- 40代女性
- 治療期間
- 6ヶ月
- 治療回数
- 2-5回
- 治療計画
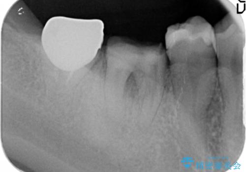
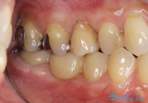
- 銀歯が取れてしまい、治療を希望され来院されました。
歯には大きな穴が開き、虫歯も大きくなってしまい残すことが難しいような状況であったため抜歯を余儀なくされました。
抜歯後はセラミックブリッジを用いた咬合機能回復を計画します。
- 費用(概算)
- 24万円(仮歯・フルジルコニアクラウン×3)費用は治療当時の料金となります
ブリッジ治療について
インプラント治療に比べブリッジ治療は比較的短期に手術の必要なく終えることができます。
セラミック治療の注意事項(リスク・副作用など)
- 天然歯を削ります
- 硬い素材は天然歯を傷つけてしまう場合があります
- かみ合わせや歯ぎしりが強すぎる方はセラミックが割れてしまう可能性があります
- 自費診療(保険適用外治療)となります
当サイトの内容、テキスト、画像等の無断転載、複製、複写、盗用を固く禁じます。









