症例詳細
Case detail
埋まっている奥歯を引っ張り出す インビザライン矯正
治療症例の内容
- 患者様
- 30代女性
- 矯正装置
- インビザライン および ワイヤーによる部分矯正
- 治療期間
- 1年8ヶ月
- 治療回数
- 10-30回
- 治療計画
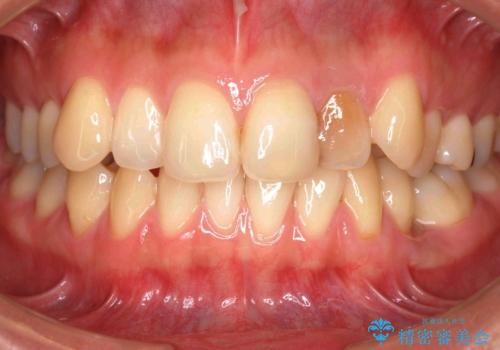
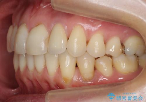
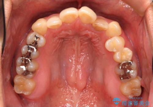
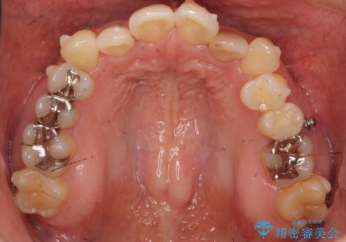
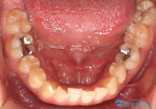
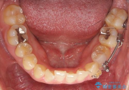
- 前歯のがたつきと左下の歯がうまっているとのことで、矯正治療を希望されました。
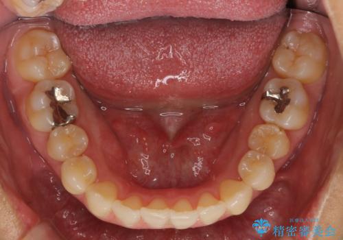
埋まっている奥歯を並べることで、その後ろの倒れ込んだ歯を整直させることができました。
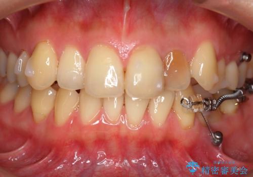
引っ張り出すことはマウスピース矯正では難しい為、埋まっている歯を並べるスペース確保と、引っ張り出すのに、ワイヤーを用いた部分矯正を行なっています。
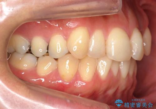
上の歯はマウスピース矯正で、奥歯を後ろに下げて、左のかみ合わせのズレを直しています。
上下とも非抜歯で並べています。
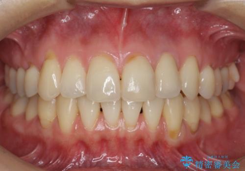
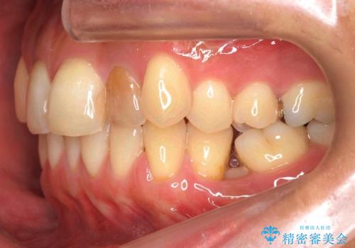
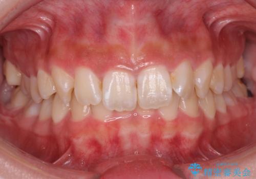
また、左上の変色した前歯はセラミックでやりかえを行なっています。
- 費用(概算)
- 120万円(矯正治療)費用は治療当時の料金となります
治療について
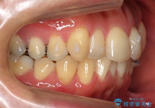
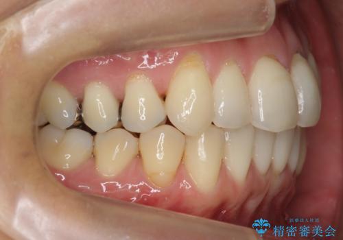
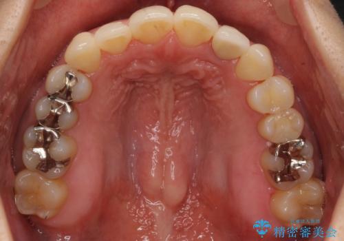
埋まっていた歯をしっかり引っ張り出すことができ、また、前歯の見た目も非常に良くなりました。
ワイヤー矯正を奥歯の部分的に行なっただけで、治療の大半をマウスピース矯正で行うことができ、非常に喜んでいただきました。
セラミック治療の注意事項(リスク・副作用など)
- 天然歯を削ります
- 硬い素材は天然歯を傷つけてしまう場合があります
- かみ合わせや歯ぎしりが強すぎる方はセラミックが割れてしまう可能性があります
- 自費診療(保険適用外治療)となります
マウスピース矯正の注意事項(リスク・副作用など)
- 口腔内・歯並びの状態によっては対応できない場合があります
- マウスピース型矯正装置の長時間装着(1日20時間以上)が必須です
- 治療計画通りに進めるためには、患者様の意志が重要になります
- 矯正治療後の保定が不十分だと後戻り(元の位置に戻ろうとする動き)をします
- 薬機法対象外の矯正歯科装置のため医薬品副作用被害救済制度の対象外となる場合があります
- 自費診療(保険適用外)となります
ワイヤー矯正の注意事項(リスク・副作用など)
- 治療中は違和感や痛みが起こることがあります
- 症状により、抜歯が必要な場合があります
- 治療中は歯磨きがしにくくなるため、虫歯や歯周病になりやすくなります
- 矯正治療後の保定が不十分だと後戻り(元の位置に戻ろうとする動き)をします
- 自費診療(保険適用外)となります
当サイトの内容、テキスト、画像等の無断転載、複製、複写、盗用を固く禁じます。





















