症例詳細
Case detail
歯並びのがたつきを直したい ワイヤーは嫌 抜きたくない
治療症例の内容
- 担当医
- 井上季実子(ドクタープロフィール)
- 患者様
- 30代女性
- 矯正装置
- インビザライン フル
- 治療期間
- 2年4ヶ月
- 治療回数
- 10-30回
- 治療計画
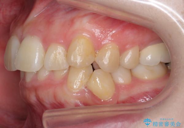
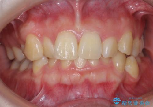
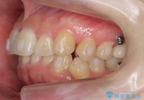
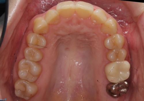
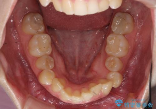
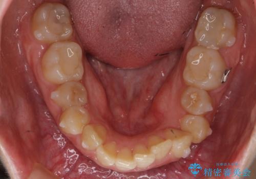
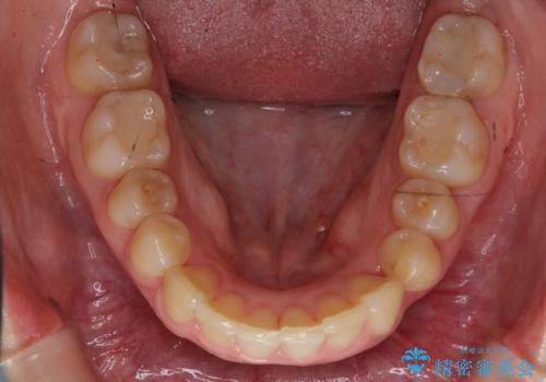
- 前歯の並びと下の歯のがたつきを主訴に来院。
 
 左下にがたつきが集中していました。
 
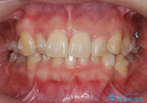
 歯を抜かずに、左上および左下の奥歯を後ろに送ることで隙間を確保しました。
 
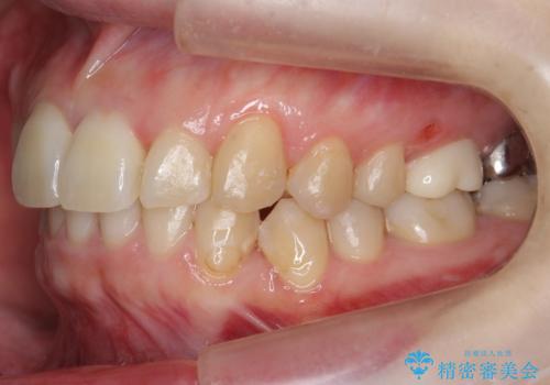
 左下の第一小臼歯が歯列からはみ出て、近心傾斜しており、抜歯の上ワイヤー矯正の選択肢もお話ししましたが、非抜歯で、インビザライン矯正を希望されました。左下の第一小臼歯は完全に並べることは難しいと初めから説明し、納得いただいた上で治療開始しました。
 
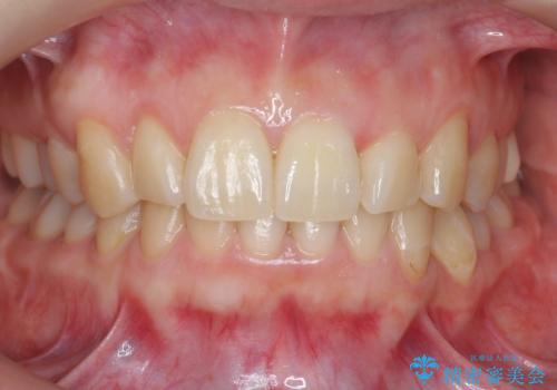
 結果それなりに並んで問題ない状況にはなったと思います。
- 費用(概算)
- 95万円(インビザラインフル85万円、矯正用スクリュー10万円)費用は治療当時の料金となります
治療について
奥歯を後ろに送るために、矯正用ミニスクリューを使用しました。
また、下顎の前歯から奥歯にかけて歯を少し削るIPRを行なっています。
矯正治療開始前におすすめした根管治療の場所がありましたが、患者様の強いご希望により、無視して矯正を開始しました。矯正開始後に、痛みが出て他院で根管治療を行なった影響で、矯正治療を一時中断しました。その影響で矯正治療の期間は長引きましたが、実質一年台で終わったと思います。
矯正前にはリスクが大きい場所についてはできればきちんと治療することをおすすめいたします。
マウスピース矯正の注意事項(リスク・副作用など)
- 口腔内・歯並びの状態によっては対応できない場合があります
- マウスピース型矯正装置の長時間装着(1日20時間以上)が必須です
- 治療計画通りに進めるためには、患者様の意志が重要になります
- 矯正治療後の保定が不十分だと後戻り(元の位置に戻ろうとする動き)をします
- 薬機法対象外の矯正歯科装置のため医薬品副作用被害救済制度の対象外となる場合があります
- 自費診療(保険適用外)となります
当サイトの内容、テキスト、画像等の無断転載、複製、複写、盗用を固く禁じます。








 
                       
                                                          















 
                   
                   
                  