症例詳細
Case detail
インプラントを用いた臼歯部欠損補綴
治療症例の内容
- 患者様
- 20代女性
- 治療期間
- 10ヶ月
- 治療回数
- 5-10回
- 治療計画
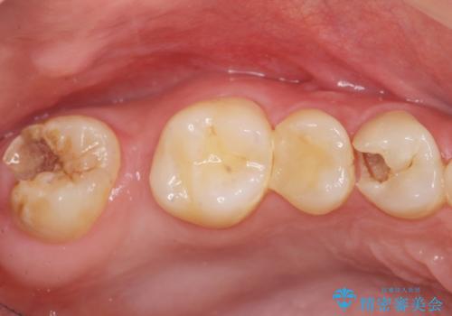
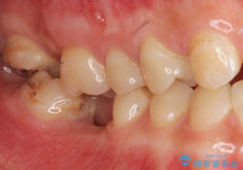
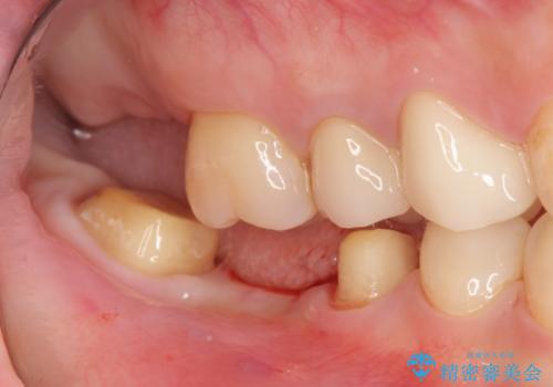
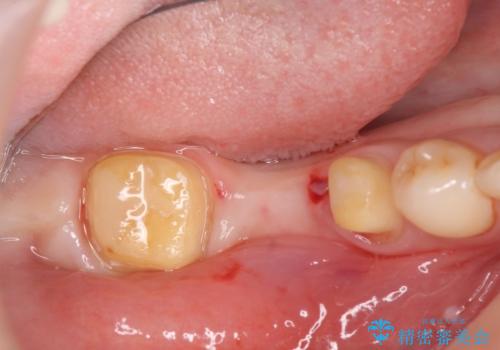
- 上下1本づつの歯を失い、噛めないことの改善を求めて来院されました。
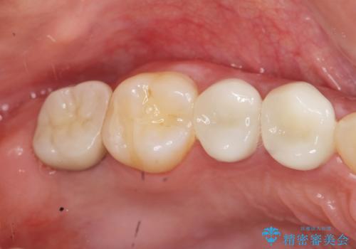
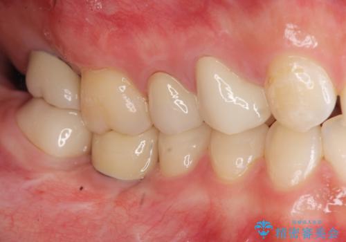
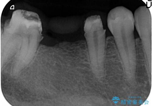
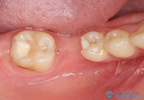
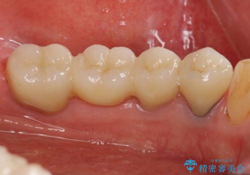
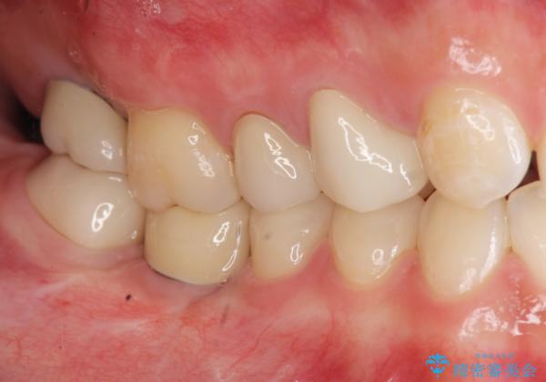
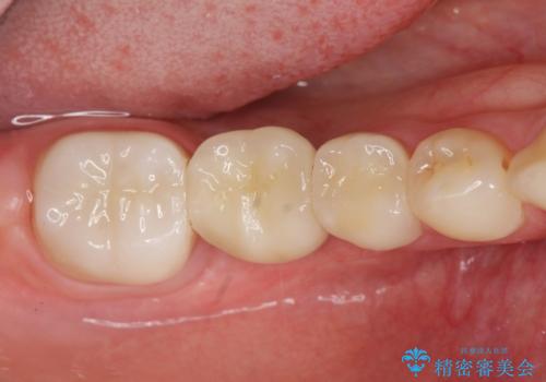
保存可能な歯の虫歯・根管治療を行い、喪失した部分はインプラントを埋入、オールセラミックジルコニアクラウンを製作し審美的に仕上げていきます。
- 費用(概算)
- 120万円(仮歯×6・ファイバーコア×2・ジルコニアクラウン×6・インプラント×2・チタンカスタムアバットメント×2)費用は治療当時の料金となります
歯の喪失治療について
今回下顎の欠損部位はブリッジも検討されましたが、並行性の観点から最後方臼歯の神経を取るリスクを抑えるためインプラント治療を選択しました。
外科処置の注意事項(リスク・副作用など)
- 外科手術のため、術後に出血、痛みや腫れ、違和感を伴います
- 口腔内の状態によっては適応できないことがあります
セラミック治療の注意事項(リスク・副作用など)
- 天然歯を削ります
- 硬い素材は天然歯を傷つけてしまう場合があります
- かみ合わせや歯ぎしりが強すぎる方はセラミックが割れてしまう可能性があります
- 自費診療(保険適用外治療)となります
インプラント治療の注意事項(リスク・副作用など)
- 外科手術のため、術後に痛みや腫れ、違和感を伴います
- メンテナンスを怠ったり喫煙により、お口の中に大きな悪影響を及ぼすインプラント周囲炎等にかかる可能性があります
- 糖尿病、肝硬変、心臓病等の場合、インプラント治療ができない可能性があります
- 高血圧、貧血・不整脈等の場合、インプラント治療後に治癒不全を招く可能性があります
- 自費診療(保険適用外治療)となります
当サイトの内容、テキスト、画像等の無断転載、複製、複写、盗用を固く禁じます。















