症例詳細
Case detail
歯ぐきからの出血 歯周外科による改善
治療症例の内容
- 診療科目
- 治療カテゴリ
- 担当医
- 大元洋佑(ドクタープロフィール)
- 患者様
- 20代女性
- 治療期間
- 8ヶ月
- 治療回数
- 5-10回
- 治療計画
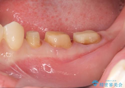
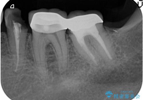
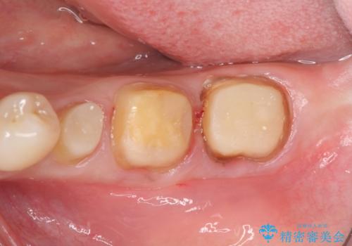
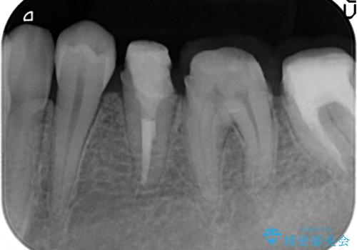
- 左下の歯が虫歯により崩壊し、歯ぐきからの出血も毎回歯ブラシを行う際に出ることから治療を求めて来院されました。
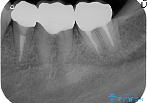
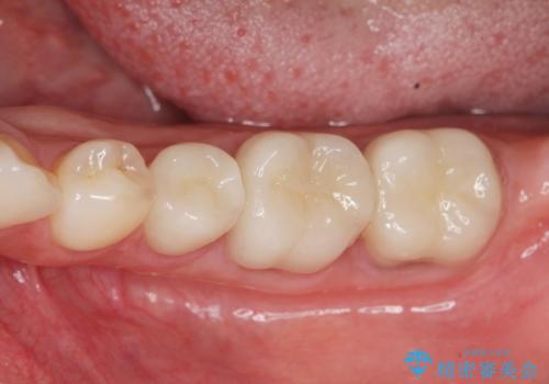
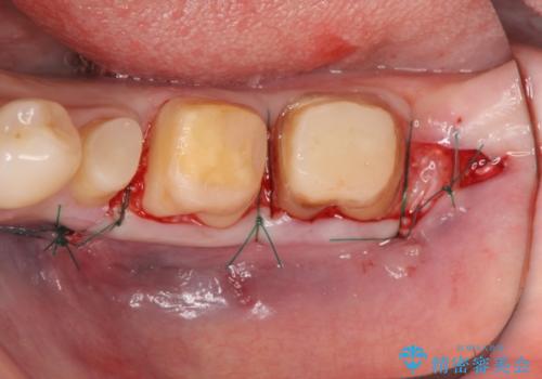
現在装着されているクラウンを除去したところ、クラウンマージンが歯肉縁下となり歯ぐきの炎症が認められたため再度オールセラミッククラウンを製作する前に歯周外科手術を行い歯ぐきの状態を改善しました。
- 費用(概算)
- 45万円(仮歯×3・ファイバーコア×2・ジルコニアクラウン×3 歯周外科手術)費用は治療当時の料金となります
歯ぐきの炎症について
歯ぐきに起きる炎症は、歯ブラシの不足によるプラークによる炎症の他、歯周病、深い虫歯などの原因により惹起されます。
外科処置の注意事項(リスク・副作用など)
- 外科手術のため、術後に出血、痛みや腫れ、違和感を伴います
- 口腔内の状態によっては適応できないことがあります
セラミック治療の注意事項(リスク・副作用など)
- 天然歯を削ります
- 硬い素材は天然歯を傷つけてしまう場合があります
- かみ合わせや歯ぎしりが強すぎる方はセラミックが割れてしまう可能性があります
- 自費診療(保険適用外治療)となります
当サイトの内容、テキスト、画像等の無断転載、複製、複写、盗用を固く禁じます。













