症例詳細
Case detail
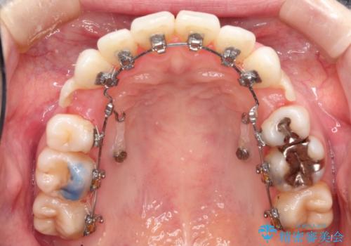
裏側のワイヤー矯正 抜歯して前歯をしっかり後ろに下げる
治療症例の内容
- 診療科目
- 担当医
- 患者様
- 20代女性
- 矯正装置
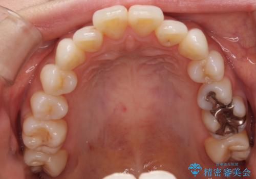
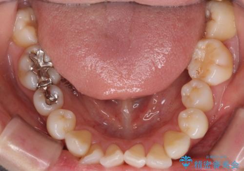
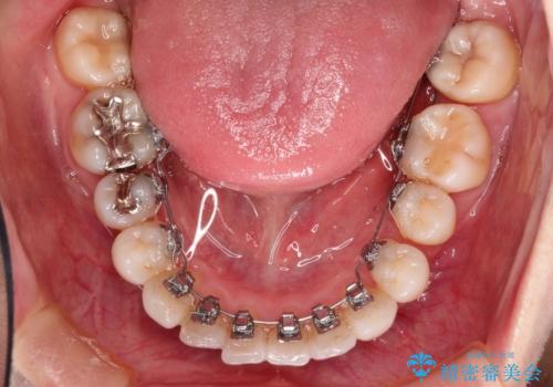
- リンガル
- 治療期間
- 3年3ヶ月
- 治療回数
- 10-30回
- 治療計画
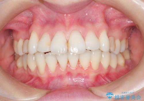
- 出っ歯が気になるとのことで来院されました。
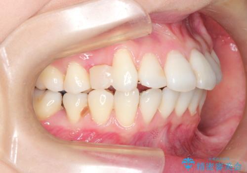
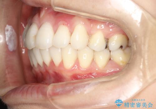
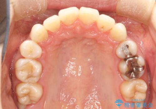
上顎の、前から4番目の歯を左右1本ずつ抜歯して前歯を後方に下げる計画としました。
目立たずに矯正をご希望でしたので、裏側矯正で治療を行いました。
- 費用(概算)
- 約140万円費用は治療当時の料金となります
治療について
上下裏側矯正であったため、舌に傷や口内炎ができるなどつらい経験もされましたが、目立たずに治療できたことに喜んでいただけました。
ワイヤー矯正の注意事項(リスク・副作用など)
- 治療中は違和感や痛みが起こることがあります
- 症状により、抜歯が必要な場合があります
- 治療中は歯磨きがしにくくなるため、虫歯や歯周病になりやすくなります
- 矯正治療後の保定が不十分だと後戻り(元の位置に戻ろうとする動き)をします
- 自費診療(保険適用外)となります
当サイトの内容、テキスト、画像等の無断転載、複製、複写、盗用を固く禁じます。
















