症例詳細
Case detail
度重なる治療で前歯がしみる オールセラミッククラウンによる補綴治療
治療症例の内容
- 診療科目
- 治療カテゴリ
- 担当医
- 藤巻太一朗(ドクタープロフィール)
- 患者様
- 40代女性
- 治療期間
- 1ヶ月
- 治療回数
- 2-5回
- 治療計画
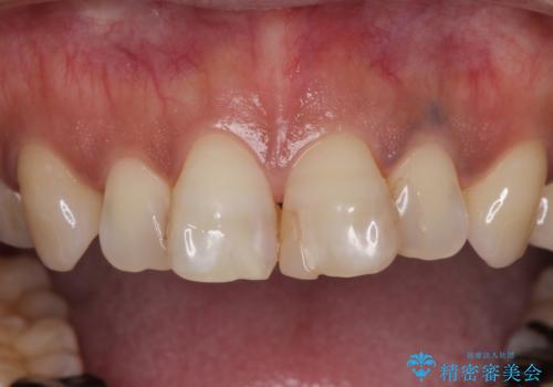
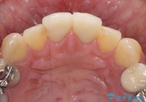
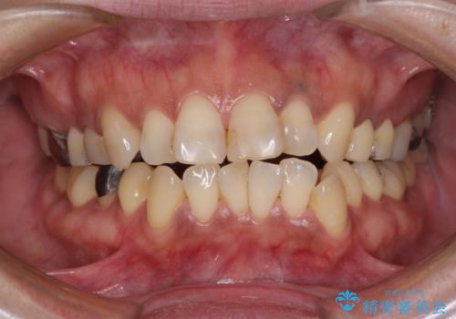
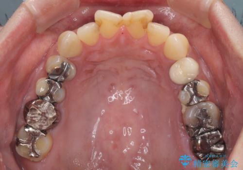
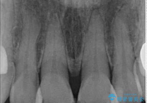
- 何度もコンポジットレジンによる修復を繰り返した結果、冷たいものがしみるようになってしまったとのことで来院された患者様です。
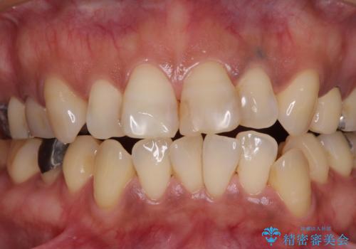
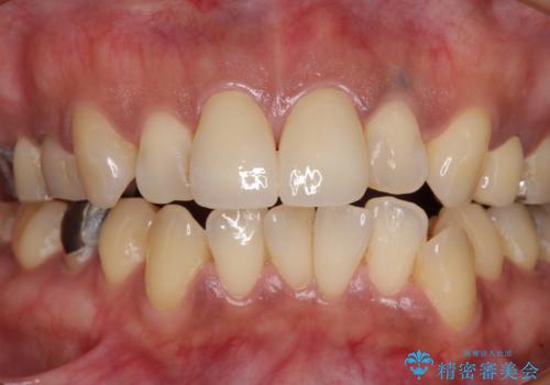
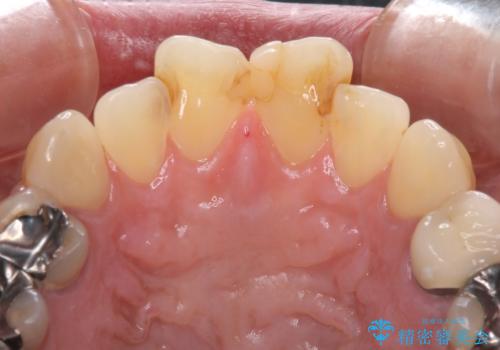
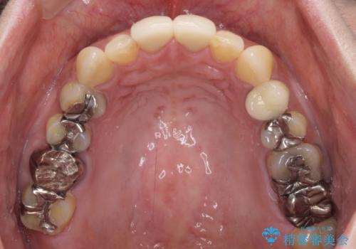
前歯2本が捻れている形態も気になるとのことであったので、虫歯の治療を兼ねて、オールセラミッククラウンにて補綴治療を行うこととしました。
2本とも治療前の歯髄の状態は正常でしたが、補綴治療により歯を大きく削ることになるため、歯髄が炎症を起こすリスクがあることを了解いただきました。
- 費用(概算)
- 治療費の目安: 22万円費用は治療当時の料金となります
治療について
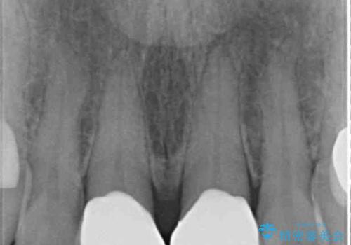
色彩や形態が大きく改善されたことはもちろん、虫歯によってしみていた症状もなくなり、患者様には大変満足していただきました。
セラミック治療の注意事項(リスク・副作用など)
- 天然歯を削ります
- 硬い素材は天然歯を傷つけてしまう場合があります
- かみ合わせや歯ぎしりが強すぎる方はセラミックが割れてしまう可能性があります
- 自費診療(保険適用外治療)となります
当サイトの内容、テキスト、画像等の無断転載、複製、複写、盗用を固く禁じます。














