症例詳細
Case detail
前歯のデコボコを治したい 費用を抑えた抜歯矯正
治療症例の内容
- 診療科目
- 担当医
- 藤巻太一朗(ドクタープロフィール)
- 患者様
- 30代女性
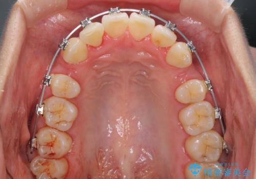
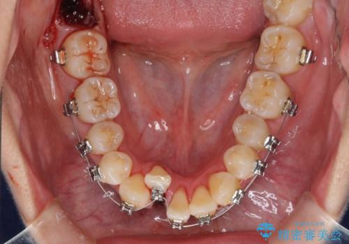
- 矯正装置
- メタルブラケット
- 治療期間
- 2年8ヶ月
- 治療回数
- 10-30回
- 治療計画
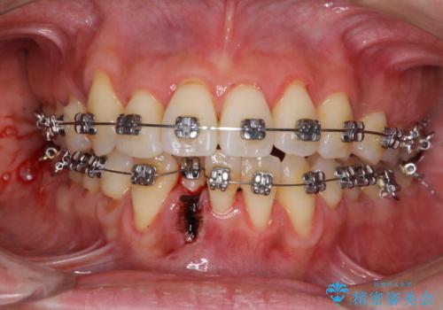
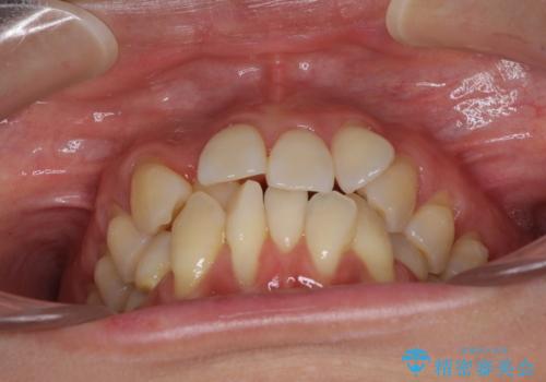
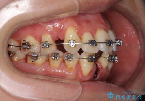
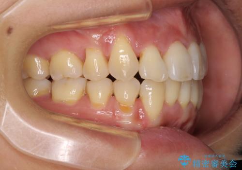
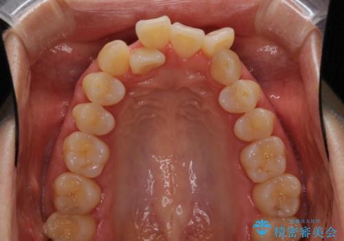
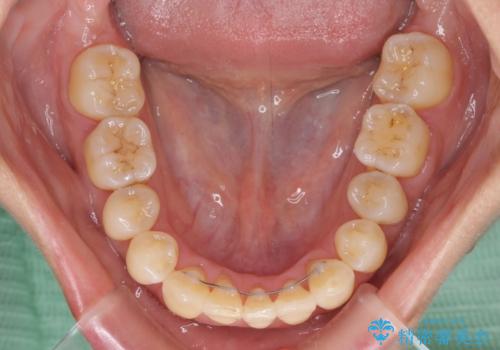
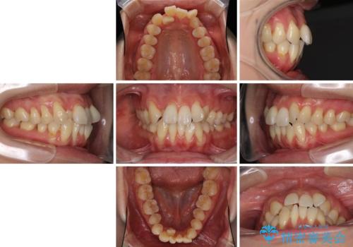
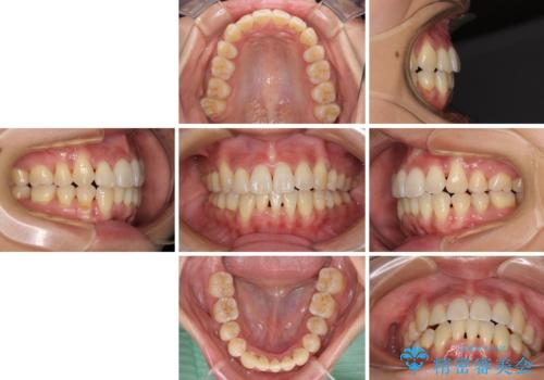
- 上下前歯のでこぼこを気にされ、矯正治療を希望された患者様です。
費用を抑えるため、メタルブラケットを採用し、抜歯矯正を行うこととしました。
- 費用(概算)
- 治療費の目安: 80万円費用は治療当時の料金となります
治療について
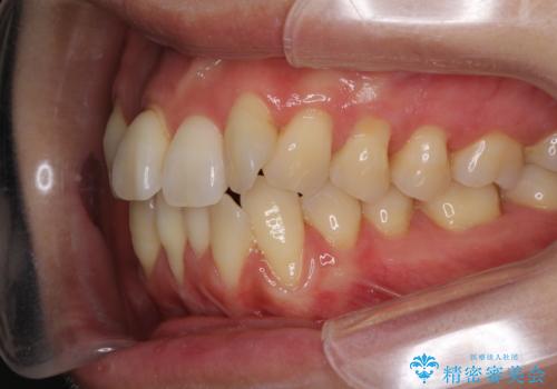
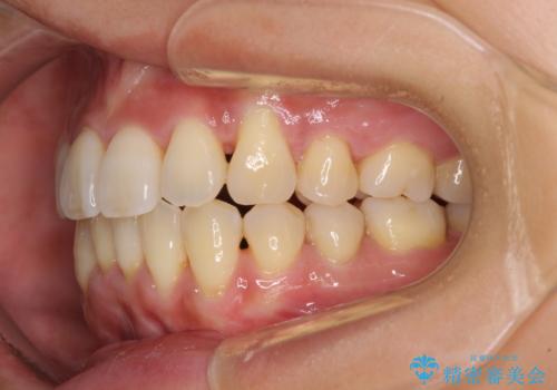
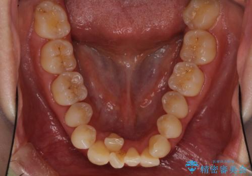
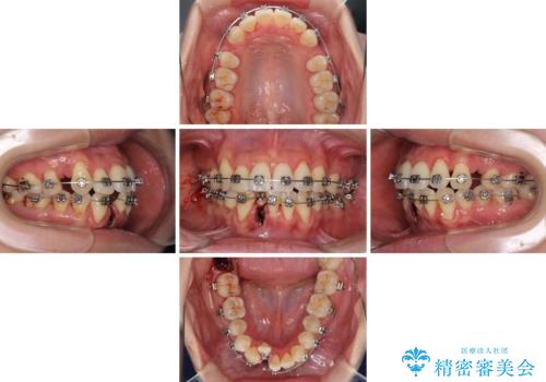
通常であれば、上下顎左右小臼歯各1歯の合計4本を抜歯しますが、歯肉退縮の著しい下顎前歯を抜歯して欲しいという患者様の強い希望により、上顎のみ左右小臼歯2歯を、下顎は前歯を1歯を抜歯することとしました。
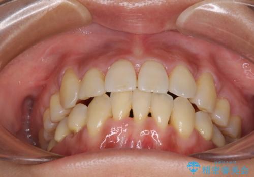
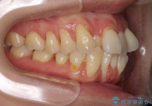
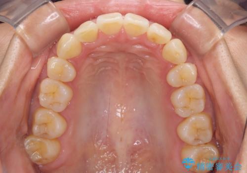
抜歯する歯を変更したため奥歯の咬合はアンバランスとなりましたが、前歯は綺麗に整い、歯肉退縮も回避できました。
ワイヤー矯正の注意事項(リスク・副作用など)
- 治療中は違和感や痛みが起こることがあります
- 症状により、抜歯が必要な場合があります
- 治療中は歯磨きがしにくくなるため、虫歯や歯周病になりやすくなります
- 矯正治療後の保定が不十分だと後戻り(元の位置に戻ろうとする動き)をします
- 自費診療(保険適用外)となります
当サイトの内容、テキスト、画像等の無断転載、複製、複写、盗用を固く禁じます。




























