症例詳細
Case detail
前歯をきれいに整えたい ワイヤー装置での非抜歯矯正
治療症例の内容
- 診療科目
- 治療カテゴリ
- 担当医
- 藤巻太一朗(ドクタープロフィール)
- 患者様
- 10代女性
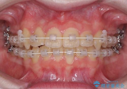
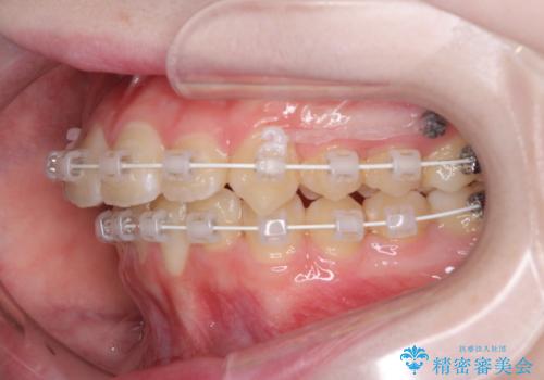
- 矯正装置
- 審美装置
- 治療期間
- 1年10ヶ月
- 治療回数
- 10-30回
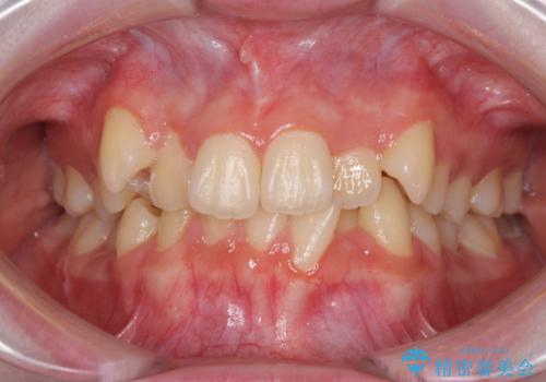
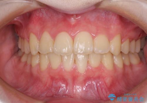
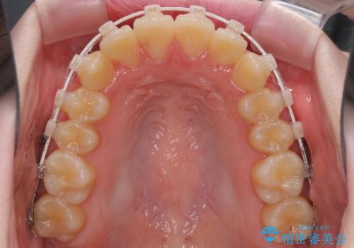
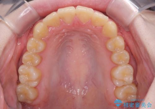
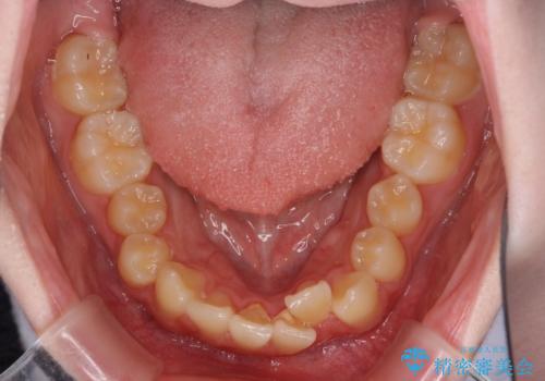
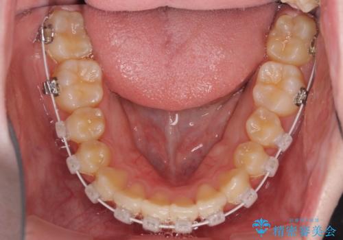
- 治療計画
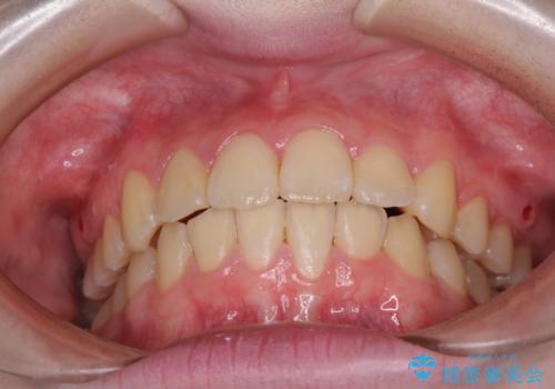
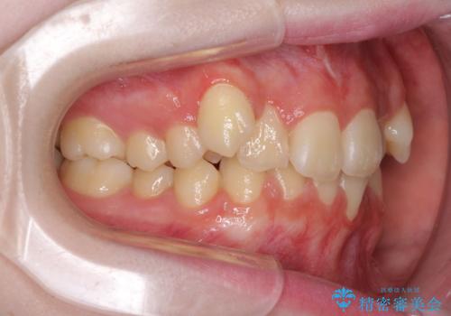
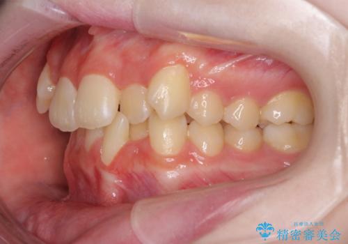
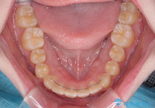
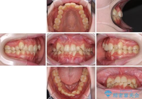
- 上下前歯のデコボコを気にして来院された患者様です。
前歯の叢生は強かったのですが、口元が引っ込んでいる印象であったため、非抜歯にて矯正治療を行うこととしました。
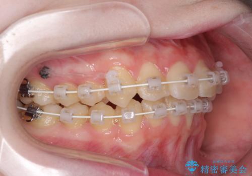
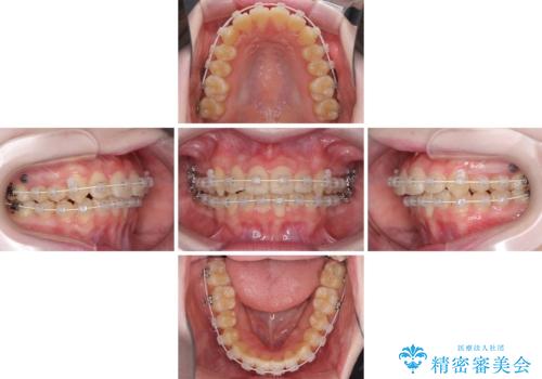
インビザラインでの自己管理は難しいとのことで、ワイヤー装置にて矯正を行うこととしました。
- 費用(概算)
- 治療費の目安: 85万円費用は治療当時の料金となります
治療について
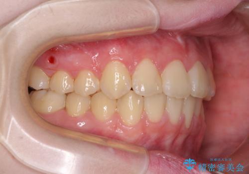
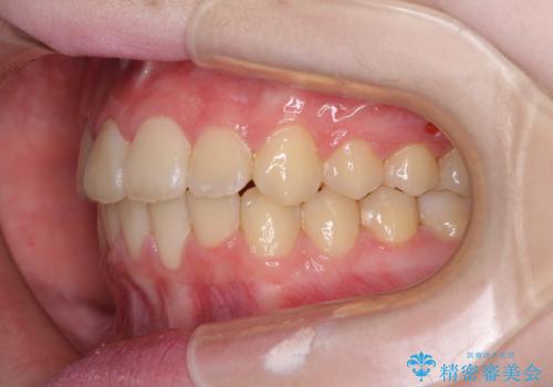
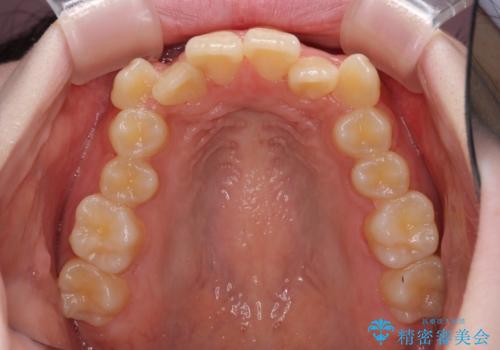
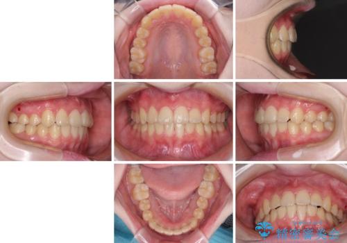
治療途中で大学受験があり、来院できない時期がありましたが、2年以内で満足のいく歯並びを達成することができました。
ワイヤー矯正の注意事項(リスク・副作用など)
- 治療中は違和感や痛みが起こることがあります
- 症状により、抜歯が必要な場合があります
- 治療中は歯磨きがしにくくなるため、虫歯や歯周病になりやすくなります
- 矯正治療後の保定が不十分だと後戻り(元の位置に戻ろうとする動き)をします
- 自費診療(保険適用外)となります
当サイトの内容、テキスト、画像等の無断転載、複製、複写、盗用を固く禁じます。


























