症例詳細
Case detail
治療途中で放置していた歯 オールセラミッククラウンによる補綴治療
治療症例の内容
- 診療科目
- 治療カテゴリ
- 担当医
- 藤巻太一朗(ドクタープロフィール)
- 患者様
- 40代女性
- 治療期間
- 2ヶ月
- 治療回数
- 2-5回
- 治療計画
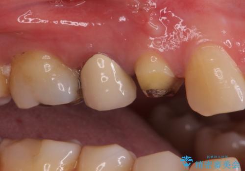
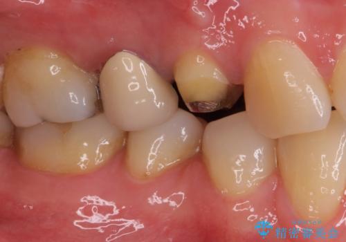
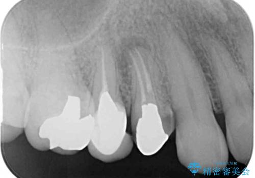
- クラウンが割れて治療を行っていたものの、途中で放置してしまったとのことで来院された患者様です。
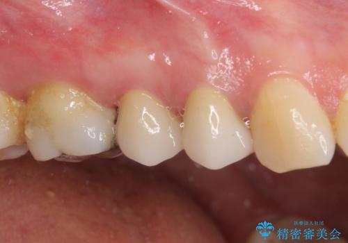
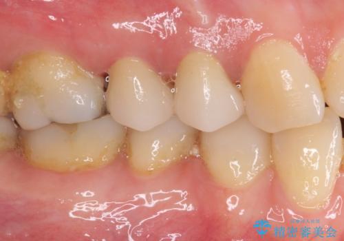
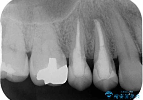
根管治療を行った後に、ガラス系セラミッククラウンにて補綴することとしました。
- 費用(概算)
- 治療費の目安: 42万円費用は治療当時の料金となります
治療について
透明感のある自然な仕上がりとなり、患者様には大変満足していただきました。
セラミック治療の注意事項(リスク・副作用など)
- 天然歯を削ります
- 硬い素材は天然歯を傷つけてしまう場合があります
- かみ合わせや歯ぎしりが強すぎる方はセラミックが割れてしまう可能性があります
- 自費診療(保険適用外治療)となります
当サイトの内容、テキスト、画像等の無断転載、複製、複写、盗用を固く禁じます。










