症例詳細
Case detail
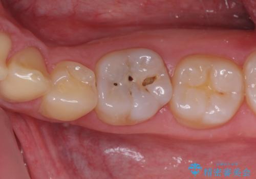
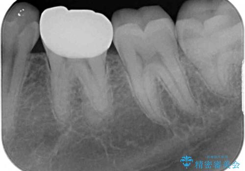
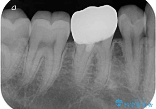
神経近くにまで及んだ大きなむし歯のセラミッククラウン
治療症例の内容
- 診療科目
- 治療カテゴリ
- 担当医
- 藤巻太一朗(ドクタープロフィール)
- 患者様
- 30代男性
- 治療期間
- 3ヶ月
- 治療回数
- 2-5回
- 治療計画
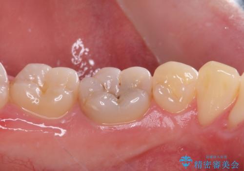
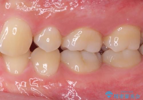
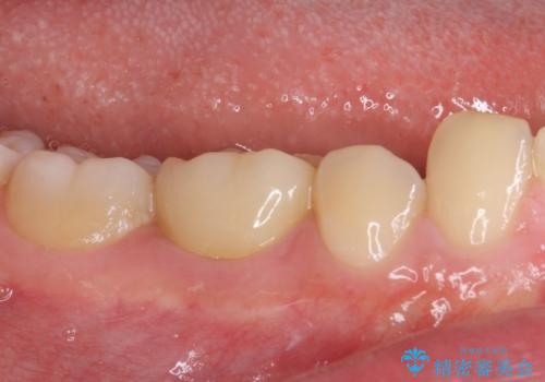
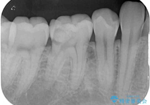
- 下顎左右奥歯に虫歯で痛みを感じるとのことで来院された患者様です。
むし歯が大きく、神経を取り除く可能性があることを理解いただいた上で虫歯を取り除き、その後はオールセラミッククラウンにて補綴することとしました。
- 費用(概算)
- 治療費の目安: 20万円費用は治療当時の料金となります
治療について
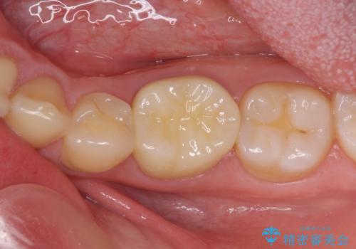
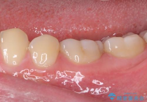
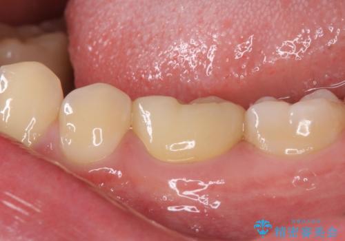
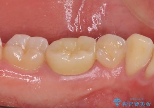
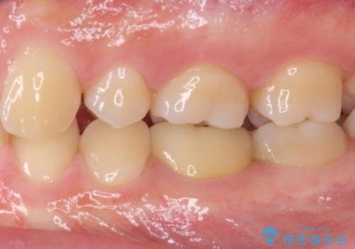
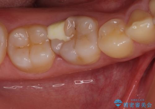
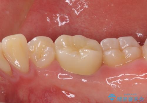
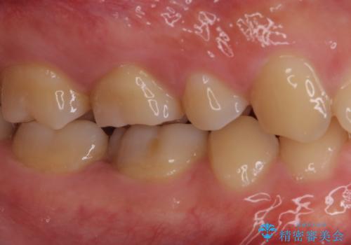
虫歯除去後に痛みは収まり、神経も保存することができました。
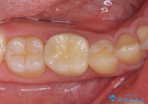
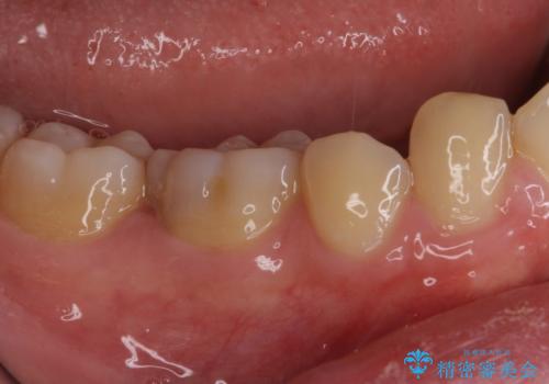
変色していた歯もセラミッククラウンで自然な色合いとなり、患者様には大変満足していただきました。
セラミック治療の注意事項(リスク・副作用など)
- 天然歯を削ります
- 硬い素材は天然歯を傷つけてしまう場合があります
- かみ合わせや歯ぎしりが強すぎる方はセラミックが割れてしまう可能性があります
- 自費診療(保険適用外治療)となります
当サイトの内容、テキスト、画像等の無断転載、複製、複写、盗用を固く禁じます。




















