症例詳細
Case detail
口元をスッキリと ワイヤーでの抜歯矯正
治療症例の内容
- 診療科目
- 担当医
- 藤巻太一朗(ドクタープロフィール)
- 患者様
- 20代女性
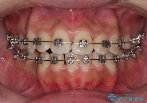
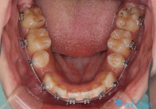
- 矯正装置
- メタルブラケット
- 治療期間
- 2年1ヶ月
- 治療回数
- 10-30回
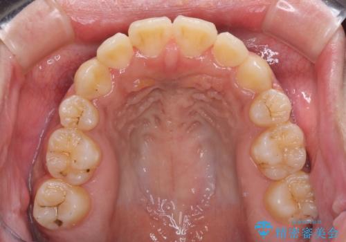
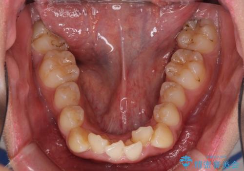
- 治療計画
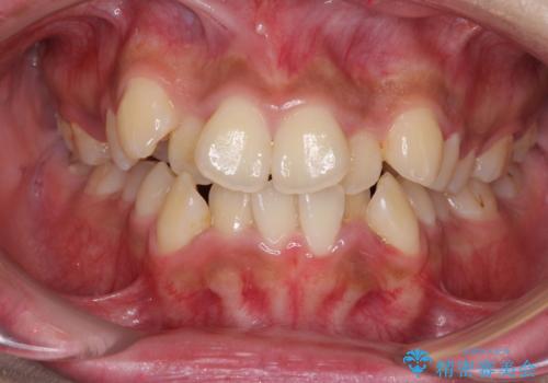
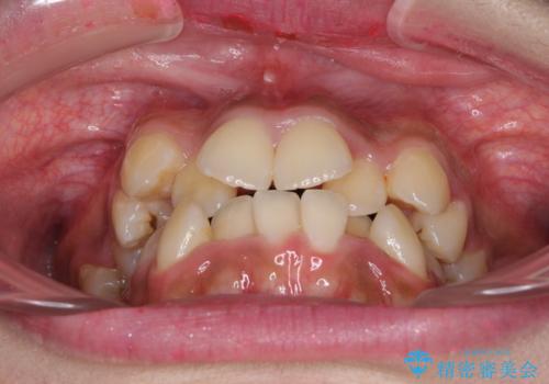
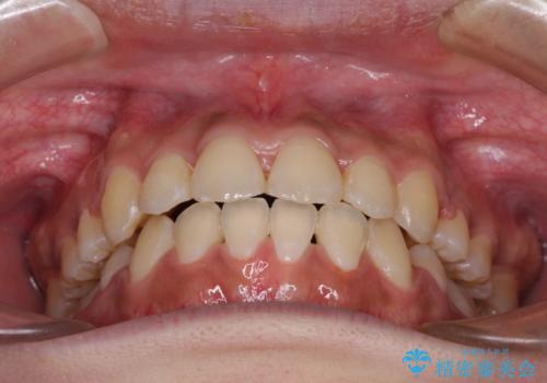
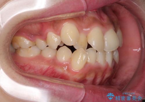
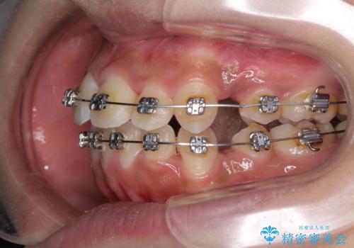
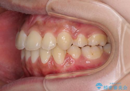
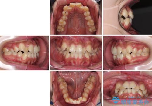
- 八重歯と上下前歯のでこぼこを気にして来院された患者様です。
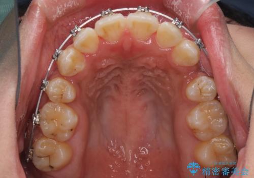
上下前歯部叢生のスペース獲得のため、上下顎左右小臼歯各1歯(計4本)と全ての親知らずを抜歯して、矯正治療を行うこととしました。
- 費用(概算)
- 治療費の目安: 70万円費用は治療当時の料金となります
治療について
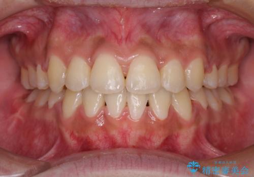
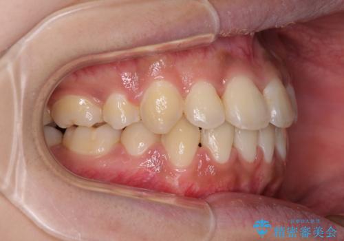
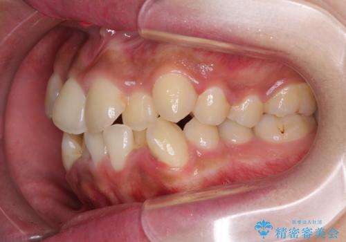
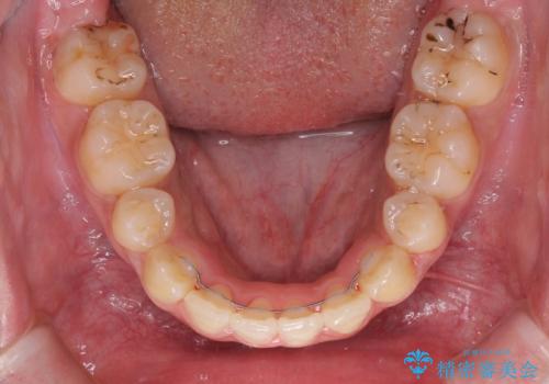
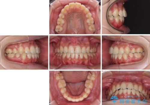
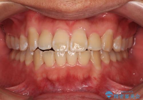
上下の正中位置が大きくずれていたため、治療期間の長期化や正中が合わないまま終了することが予想されましたが、思っていた以上にスムーズに歯が移動し、満足いただける仕上がりとなりました。
ワイヤー矯正の注意事項(リスク・副作用など)
- 治療中は違和感や痛みが起こることがあります
- 症状により、抜歯が必要な場合があります
- 治療中は歯磨きがしにくくなるため、虫歯や歯周病になりやすくなります
- 矯正治療後の保定が不十分だと後戻り(元の位置に戻ろうとする動き)をします
- 自費診療(保険適用外)となります
当サイトの内容、テキスト、画像等の無断転載、複製、複写、盗用を固く禁じます。




























