症例詳細
Case detail
以前治療した歯が痛む 銀歯をセラミックに
治療症例の内容
- 担当医
- 大元洋佑(ドクタープロフィール)
- 患者様
- 30代女性
- 治療期間
- 2ヶ月
- 治療回数
- 2-5回
- 治療計画
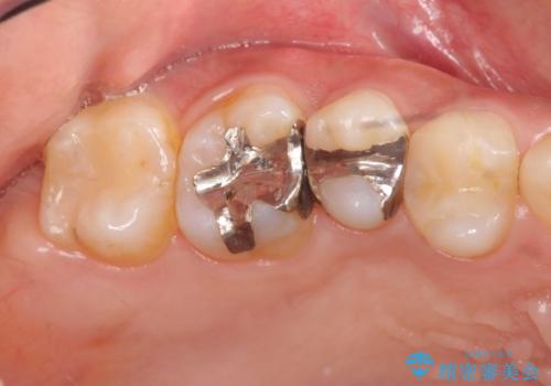
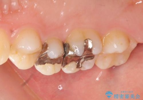
- 歯が痛み、改善を求めて来院されました。
歯の神経の治療(根管治療)が必要であることをご説明し、同時に隣在する銀歯の除去も希望されたので同時に治療を行っていきます.
- 費用(概算)
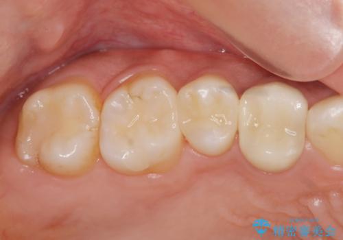
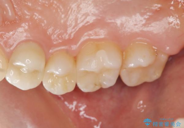
- 27万円(セラミックインレー×2 仮歯・ファイバーコア・ジルコニアクラウン)費用は治療当時の料金となります
虫歯治療について
虫歯治療は小さい場合にはセラミックインレー、大きな場合や痛みが生じている場合は根管治療ののちクラウンによる機能回復が必要となることが多いです。
セラミック治療の注意事項(リスク・副作用など)
- 天然歯を削ります
- 硬い素材は天然歯を傷つけてしまう場合があります
- かみ合わせや歯ぎしりが強すぎる方はセラミックが割れてしまう可能性があります
- 自費診療(保険適用外治療)となります
当サイトの内容、テキスト、画像等の無断転載、複製、複写、盗用を固く禁じます。






