症例詳細
Case detail
奥歯が痛い。精密根管治療〜オールセラミッククラウン
治療症例の内容
- 患者様
- 30代男性
- 治療期間
- 2ヶ月
- 治療回数
- 2-5回
- 治療計画
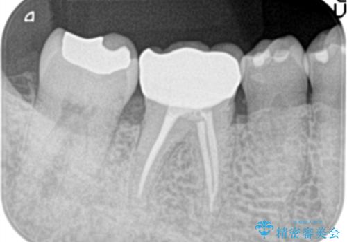
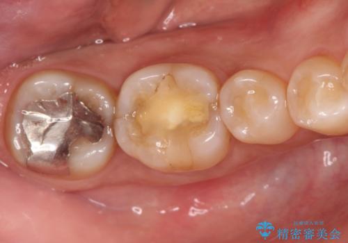
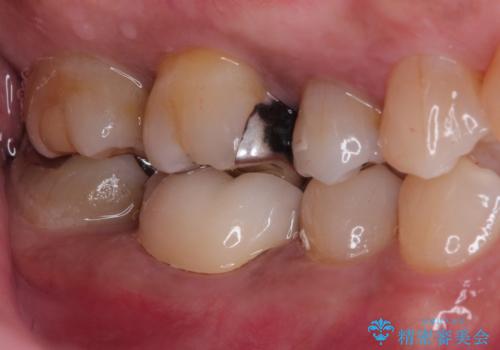
- 1週間前から冷たいもので強い持続痛を感じることを主訴に来院されました。
歯髄診断と痛みの再現により原因歯を特定し、症候性不可逆性歯髄炎の診断となりました。
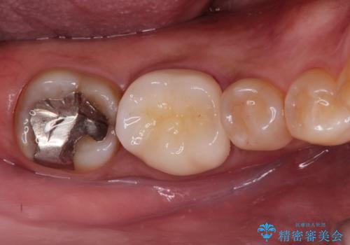
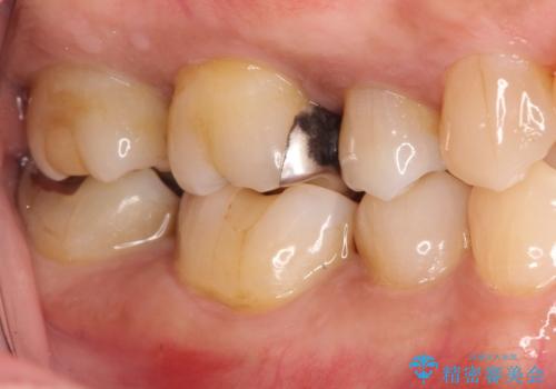
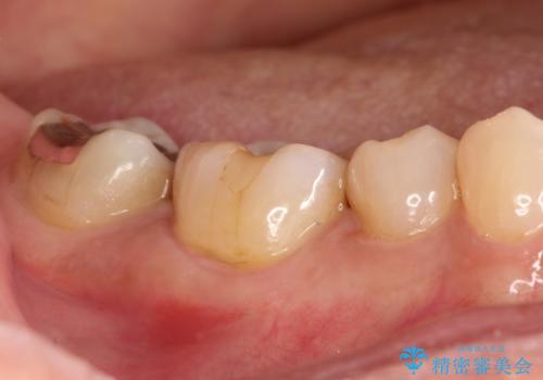
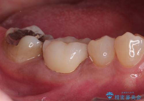
根管治療〜オールセラミッククラウン(エクセレント)の治療を行なっております。
- 費用(概算)
- 精密根管治療(イニシャルケース,大臼歯):122,000円、ファイバーコア:22,000円、仮歯:11,000円、オールセラミッククラウン(エクセレント):200,000円費用は治療当時の料金となります
治療について
根管治療後の最終補綴物は予後に大きく関わります。
根管治療の注意事項(リスク・副作用など)
- 根管治療により類似の全ての症例の問題が解決するわけではなく、症例はあくまでも一例です
- 根管治療により痛みや腫れがひかない事や、術後に痛みや腫れが生じる事、治療によるファイル破折やパーフォレーションなどの偶発症、術後の歯根破折を生じる可能性もあります
- 自費診療(保険適用外)となります
セラミック治療の注意事項(リスク・副作用など)
- 天然歯を削ります
- 硬い素材は天然歯を傷つけてしまう場合があります
- かみ合わせや歯ぎしりが強すぎる方はセラミックが割れてしまう可能性があります
- 自費診療(保険適用外治療)となります
当サイトの内容、テキスト、画像等の無断転載、複製、複写、盗用を固く禁じます。















