症例詳細
Case detail
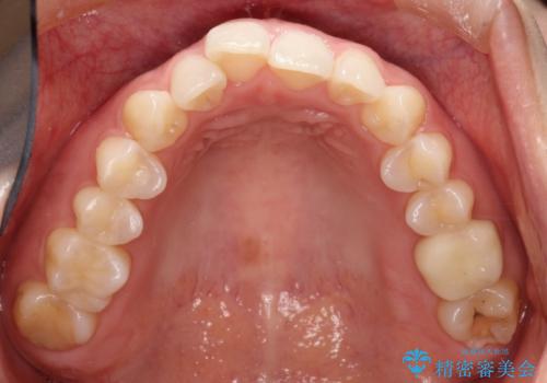
【メタルフリー】銀歯を白くしたい。オールセラミッククラウン。
治療症例の内容
- 診療科目
- 担当医
- 河口智英(ドクタープロフィール)
- 患者様
- 20代女性
- 治療期間
- 6ヶ月
- 治療回数
- 2-5回
- 治療計画
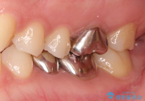
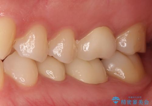
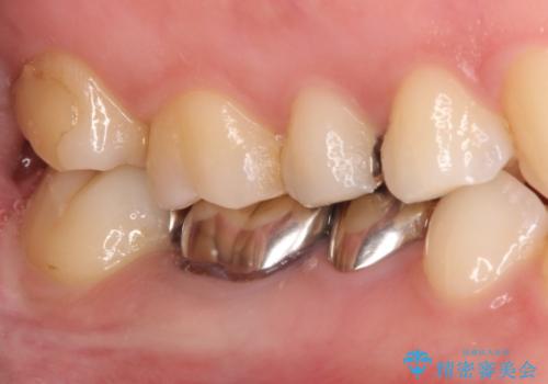
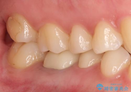
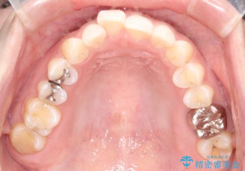
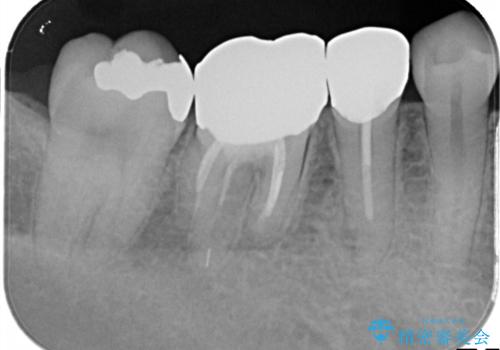
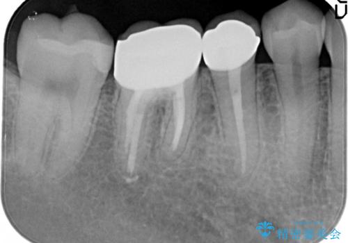
- 銀歯を白くしたいと希望され来院されました。
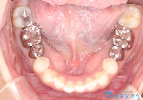
すぐにでも白くしたいとのことで、2回目の来院で銀歯を白い仮歯に変更し喜んでいただきました。
根管治療は林先生に依頼しております。
- 費用(概算)
- 70万円費用は治療当時の料金となります
治療について
ただ単純に白くするでけではなく拡大鏡を使用し、丁寧な処置を行なっております。
セラミック治療の注意事項(リスク・副作用など)
- 天然歯を削ります
- 硬い素材は天然歯を傷つけてしまう場合があります
- かみ合わせや歯ぎしりが強すぎる方はセラミックが割れてしまう可能性があります
- 自費診療(保険適用外治療)となります
当サイトの内容、テキスト、画像等の無断転載、複製、複写、盗用を固く禁じます。


















