症例詳細
Case detail
【ヘミセクション】なんとか残したい、割れた奥歯。
治療症例の内容
- 診療科目
- 治療カテゴリ
- 担当医
- 河口智英(ドクタープロフィール)
- 患者様
- 20代男性
- 治療期間
- 1年
- 治療回数
- 5-10回
- 治療計画
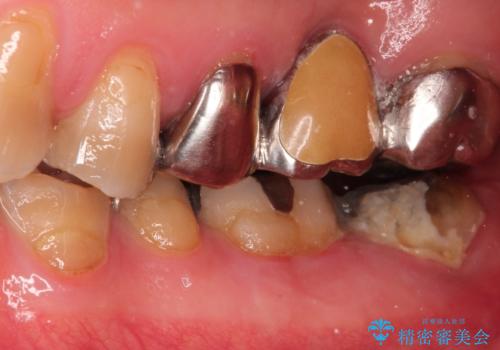
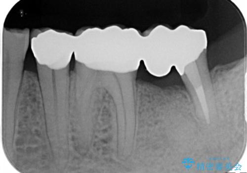
- 他院で、抜歯してインプラントだと診断され、セカンドオピニオンで来院されました。
近心根が垂直破折しており保存不可能で抜歯適応だと判断しましたが、できることなら少しでも保存したいとの希望があり、今後のリスクを説明した上で遠心根を保存する意思決定を行いました。
- 費用(概算)
- 40万円費用は治療当時の料金となります
治療について
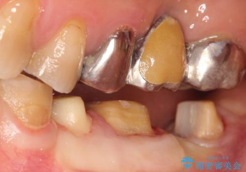
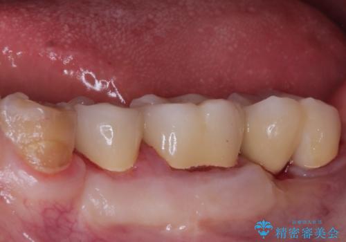
今回の症例は遠心根を保存するメリット・デメリットを患者さんと話し合い、治療を進めております。
条件が少しでもよくなる様に、再生治療および確定外科を行い良好な歯周状態でオールセラミッククラウンを装着しております。
セラミック治療の注意事項(リスク・副作用など)
- 天然歯を削ります
- 硬い素材は天然歯を傷つけてしまう場合があります
- かみ合わせや歯ぎしりが強すぎる方はセラミックが割れてしまう可能性があります
- 自費診療(保険適用外治療)となります
歯周病治療の注意事項(リスク・副作用など)
- 外科手術のため、術後に痛みや腫れ、違和感を伴います
- 歯周組織再生治療は患者様の状態によって術後の経過が異なります(見た目が改善しない場合もあります)
- 歯周組織再生治療は自費診療(保険適用外)となります
当サイトの内容、テキスト、画像等の無断転載、複製、複写、盗用を固く禁じます。















