症例詳細
Case detail
奥歯が痛い。乳歯を抜歯し、ブリッジによる咬合回復。
治療症例の内容
- 診療科目
- 治療カテゴリ
- 担当医
- 河口智英(ドクタープロフィール)
- 患者様
- 30代女性
- 治療期間
- 4ヶ月
- 治療回数
- 2-5回
- 治療計画
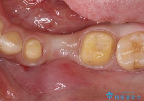
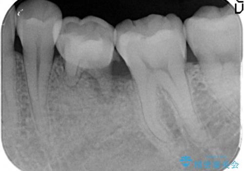
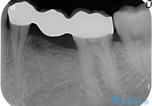
- 晩期残存した乳歯が痛くなったことを主訴に来院されました。
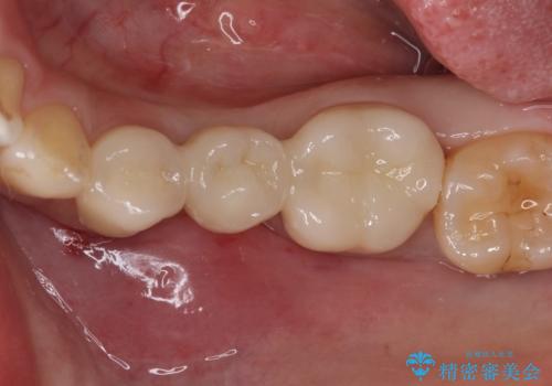
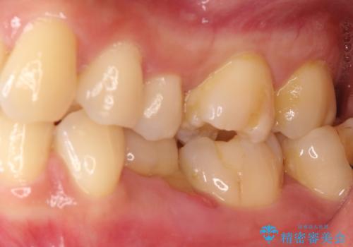
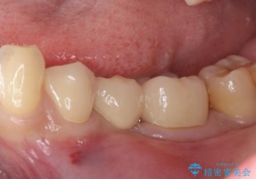
歯周病が進行していたため、抜歯を行い咬合回復を行いました。
インプラントは希望されなかったため、ブリッジにて治療を行っております。
- 費用(概算)
- 33万円費用は治療当時の料金となります
治療について
欠損補綴に対し、インプラントは有効な手段ですが比較的高額で、手術を伴います。
患者様によってはブリッジを選択される方もいらっしゃいます。
セラミック治療の注意事項(リスク・副作用など)
- 天然歯を削ります
- 硬い素材は天然歯を傷つけてしまう場合があります
- かみ合わせや歯ぎしりが強すぎる方はセラミックが割れてしまう可能性があります
- 自費診療(保険適用外治療)となります
当サイトの内容、テキスト、画像等の無断転載、複製、複写、盗用を固く禁じます。









