症例詳細
Case detail
オールセラミッククラウン 前歯の被せ物を綺麗に
治療症例の内容
- 診療科目
- 治療カテゴリ
- 担当医
- 患者様
- 30代女性
- 治療期間
- 3ヶ月
- 治療回数
- 2-5回
- 治療計画
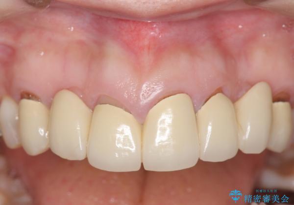
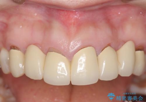
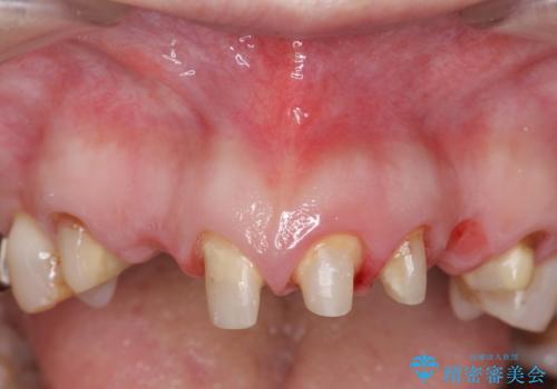
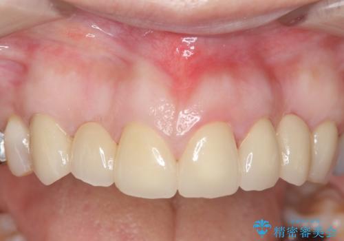
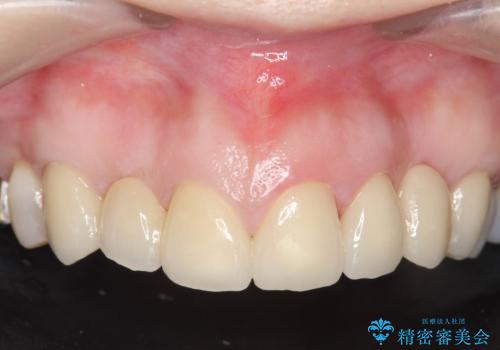
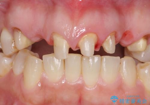
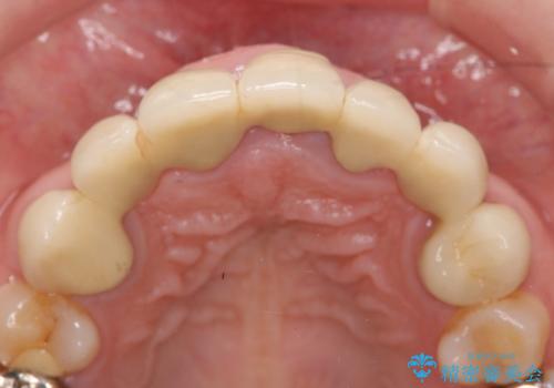
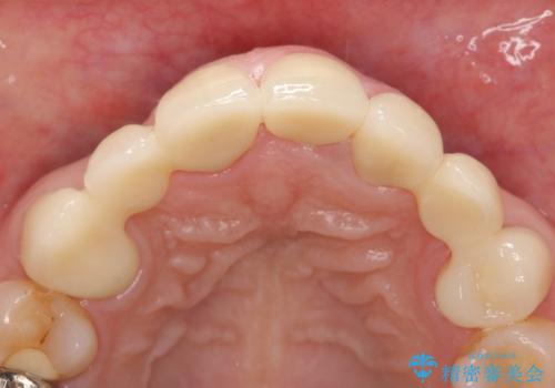
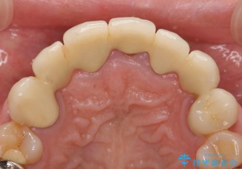
- 昔治療した前歯の被せ物の見た目を改善したいといらっしゃった方の症例です。
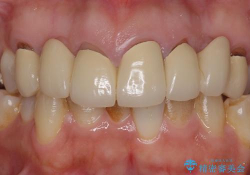
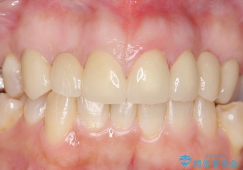
 左上4番目の歯から右上3番目の歯まで計7歯のクラウンを除去し、オールセラミッククラウンによる補綴を行いました。
- 費用(概算)
- オールセラミッククラウン…¥100,000×7、仮歯…¥10,000×7、ファイバーコア…¥20,000×5費用は治療当時の料金となります
オールセラミッククラウンについて
今回用いたオールセラミッククラウンはジルコニアフレームという白い素材の上にセラミックを盛っているため、審美性が非常に高いのが特徴です。
また、ジルコニアは人工ダイヤモンドの材料にも使われているほど高い強度を持っており、そのためオールセラミッククラウンは審美性だけでなく、奥歯やブリッジの補綴も可能とするクラウンです。
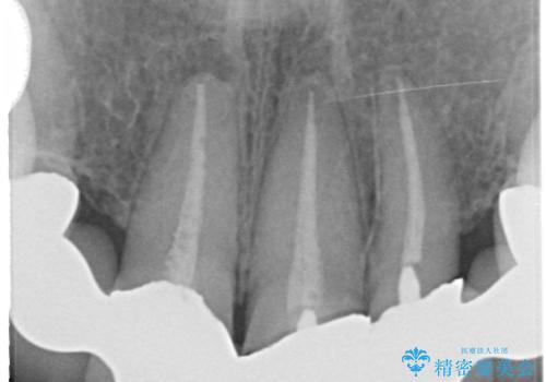
根管治療の注意事項(リスク・副作用など)
- 根管治療により類似の全ての症例の問題が解決するわけではなく、症例はあくまでも一例です
- 根管治療により痛みや腫れがひかない事や、術後に痛みや腫れが生じる事、治療によるファイル破折やパーフォレーションなどの偶発症、術後の歯根破折を生じる可能性もあります
- 自費診療(保険適用外)となります
セラミック治療の注意事項(リスク・副作用など)
- 天然歯を削ります
- 硬い素材は天然歯を傷つけてしまう場合があります
- かみ合わせや歯ぎしりが強すぎる方はセラミックが割れてしまう可能性があります
- 自費診療(保険適用外治療)となります
当サイトの内容、テキスト、画像等の無断転載、複製、複写、盗用を固く禁じます。








 
                       
                                                          















 
                   
                   
                  